Mediastinal large B-cell lymphoma and pregnancy: challenges in diagnosis and choice of rational medical management
- Authors: Ignatko I.V.1, Bogomazova I.M.1, Belousova V.S.1, Timokhina E.V.1, Churganova A.A.1, Mirzakhamidova S.S.2, Ignatenko O.V.2,3, Muravina E.L.2, Samoylova Y.A.1,2, Seurko K.I.1,2, Askerova S.F.1, Kochnova A.A.1, Temirbieva P.E.1, Leonova L.G.1
-
Affiliations:
- I.M. Sechenov First Moscow State Medical University
- City Clinical Hospital named after S.S. Yudin
- Russian Medical Academy of Continuous Professional Education
- Issue: Vol 12, No 3 (2025)
- Pages: 360-369
- Section: Clinical case reports
- Submitted: 17.04.2025
- Accepted: 11.05.2025
- Published: 17.08.2025
- URL: https://archivog.com/2313-8726/article/view/678633
- DOI: https://doi.org/10.17816/aog678633
- EDN: https://elibrary.ru/ZNYRZV
- ID: 678633
Cite item
Abstract
A multigravida woman at term gestation was admitted to the obstetric hospital with complaints of dyspnea at rest and dry cough persisting for the past three months. On examination, signs of severe respiratory failure were evident. Chest computed tomography revealed a large mediastinal mass measuring 200 × 150 mm, compressing mediastinal structures and causing infiltrative changes in the lower lobe of the left lung. Taking into account the life-threatening condition of the pregnant woman and the high risk of a fatal outcome, an emergency delivery was performed simultaneously with a biopsy of the mass. Histological examination of the biopsy material confirmed the diagnosis of diffuse large B-cell lymphoma. In the postoperative period, immunochemotherapy according to the R-CHOP protocol was initiated, resulting in significant reduction in the size of the mass, perifocal edema, and compression of adjacent organs. Ultrasound and magnetic resonance imaging are considered the safest diagnostic modalities during pregnancy. However, it should be remembered that when maternal life is at risk, there are no absolute contraindications to any diagnostic procedures, including radiological imaging, at any gestational age. Modern scanning protocols and protective measures make it possible to minimize perinatal risks.
Full Text
ОБОСНОВАНИЕ
Медиастинальная крупноклеточная В-клеточная лимфома (МКВЛ) является разновидностью неходжкинских лимфом, относится к первичным быстро прогрессирующим экстранодальным опухолям, поражает преимущественно молодых женщин в возрасте от 20 до 40 лет и характеризуется экспрессией на поверхности В-лимфоцитов рецепторов CD19, CD20, CD22 и CD79a [1, 2]. Данный тип лимфом связан с наличием мутаций в генах, регулирующих созревание и дифференцировку В-лимфоцитов мозгового слоя тимуса, обусловливающих гуморальный иммунный ответ. К часто встречающимся подтипам В-клеточных лимфом относят диффузную крупноклеточную лимфому, обусловленную мутациями гена MYC, и фолликулярную лимфому, формирующуюся вследствие транслокации гена BCL2 [3].
МКВЛ, как правило, характеризуется локальным ростом и чаще всего располагается в передней части средостения с поражением перикарда, лёгких, плевры, сердечной мышцы, грудной стенки. Симптоматика зависит от размеров опухоли. Реализация репродуктивной функции у пациенток с МКВЛ представляет значимую медико-социальную проблему вследствие необходимости адаптации методов диагностики и лечения в рамках минимизации рисков для жизни и здоровья матери и плода [4, 5].
Особенности течения МКВЛ во время беременности разнятся от практически бессимптомного до довольно агрессивного1. Клиническая картина МКВЛ неспецифична и характерна для большого количества респираторных заболеваний, поскольку к основным её симптомам относят кашель и одышку. Кроме того, пациентов с МКВЛ беспокоят боли в грудной клетке, увеличение лимфатических узлов и так называемые В-симптомы — повышение температуры тела выше 38 °С длительностью более трёх дней без лабораторных признаков инфекционно-воспалительного процесса, ночные профузные поты и похудение на 10% от исходной массы тела за последние 6 мес. [6, 7].
Стандартным методом лечения диффузной крупноклеточной В-клеточной лимфомы является химиотерапия. В литературе описано успешное проведение иммунохимиотерапии, в том числе и во время беременности, начиная со второго триместра. В настоящее время иммунохимиотерапия наиболее часто проводится по схеме RCHOP, которая включает следующие препараты: циклофосфамид, обладающий алкилирующим, иммунодепрессивным, противоопухолевым и цитостатическим действием, доксорубицина гидрохлорид — противоопухолевый антибиотик антрациклинового ряда, винкристина сульфат — противоопухолевое средство растительного происхождения и преднизолон — кортикостероидный препарат для системного применения, а также гуманизированное моноклональное антитело анти-CD20 — ритуксимаб. Данная схема лечения приводит к значительному увеличению продолжительности жизни пациентов и выраженному снижению количества рецидивов [8–10].
Так, M. Inquilla Coyla и соавт. [11] описали клинический случай обнаружения первичной медиастинальной В-клеточной лимфомы на 29-й неделе гестации у 26-летней пациентки, которая сообщила, что в течение двух месяцев её беспокоили кашель, одышка, ортопноэ и тахикардия. По результатам томографии органов грудной клетки выявлено объёмное образование размерами 10×12 см, по данным эхокардиографии — компрессия правых отделов сердца. Гистологический диагноз установлен при помощи чрескожной биопсии. У пациентки наблюдалось нарушение сердечного ритма в рамках синусовой брадикардии и эктопической предсердной брадикардии. Из-за стремительного ухудшения состояния беременной выполнили досрочное родоразрешение путём операции кесарева сечения с последующей химиотерапией, на фоне которой регрессировали сердечно-сосудистые осложнения. M.L. Buchholtz и соавт. [12] также представили клиническое наблюдение, в котором у 28-летней пациентки в третьем триместре гестации в течение нескольких недель наблюдались симптомы медиастинальной обструкции — одышка, кашель, отёки лица и верхних конечностей, которые ошибочно связывали с наличием простудного заболевания и отёков беременных. Вследствие прогрессирования признаков сердечной недостаточности на 34-й неделе произвели досрочное родоразрешение посредством операции кесарева сечения. Диагноз первичной В-клеточной лимфомы средостения был установлен после родоразрешения на основании результатов биопсии. Авторы подчеркнули важность своевременного обследования беременных женщин с симптомами обструкции средостения при помощи трансторакальной эхографии. A.E. Hersey и соавт. [5] описали клинический случай диффузной крупноклеточной В-клеточной лимфомы, диагностированной у пациентки в третьем триместре. В данном наблюдении на 34-й неделе беременности выполнили индукцию родовой деятельности с последующей химиотерапией после родов по стандартному протоколу. Пациентка кормила ребенка грудью в соответствии с протоколом временной лактации.
A. Alizadehasl и соавт. [7] представили 25-летнюю пациентку, которая на 25-й неделе беременности жаловалась на хронический кашель с прогрессирующей одышкой, а также гипотонию и тахикардию. При эхокардиографии был выявлен значительный выпот в перикарде с компрессией правых отделов сердца и развитием признаков тампонады сердца за счёт объёмного образования в передних отделах средостения. В экстренном порядке выполнили перикардиоцентез. Патолого-анатомический и иммуногистохимический анализ биоптата объёмного образования выявил наличие лимфомы с положительной экспрессией CD3, CD20, CD30, CD45, PAX5 и отрицательной экспрессией CD15. В условиях пролонгирования беременности с кратностью один раз в три недели провели три курса химиотерапии по схеме CHOP с удовлетворительным ответом и последующим родоразрешением посредством операции кесарева сечения на 37-й неделе гестации. Материнских и перинатальных осложнений не выявлено. D. Hattori и соавт. [9] также описали случай обнаружения первичной В-клеточной лимфомы передней части средостения с компрессией трахеи у 31-летней пациентки на 11-й неделе гестации в связи с появлением жалоб на одышку. Пациентке провели стероидную пульс-терапию с последующим лечением винкристином, циклофосфамидом и преднизолоном (VCP), на фоне которого жалобы регрессировали. Затем на 13-й неделе беременности провели 8 курсов терапии ритуксимабом–циклофосфамидом–доксорубицином–винкристином–преднизолоном (R-CHOP). На сроке беременности 35 недель и 6 дней состоялось родоразрешение. Состояние новорождённого расценили как удовлетворительное. Позитронно-эмиссионная компьютерная томография, выполненная после родов, показала, что со стороны лимфомы достигнут полный метаболический ответ. Данное клиническое наблюдение показывает, что стероидная пульс-терапия с последующими курсами VCP и R-CHOP является безопасным и эффективным методом лечения для беременных пациенток со злокачественной лимфомой. Y. Hashimoto и соавт. [10] описали клиническое наблюдение, в котором на 15-й неделе беременности в связи с развитием синдрома верхней полой вены у пациентки диагностировали первичную медиастинальную В-клеточную лимфому с последующим назначением химиотерапии. Материнские и перинатальные исходы описаны как благоприятные, на основании чего авторы также сделали вывод, что применение схем лечения, подобных CHOP, во втором и третьем триместрах беременности является относительно безопасным. J. Hagège и соавт. [13] сообщили о результатах лечения лимфомы во время беременности с использованием выжидательной тактики и монотерапии винбластином, что, с точки зрения акушерских осложнений, частоты ответа на лечение и общей выживаемости (100%), подтверждает идею о том, что стратегии, не предполагающие комбинированной терапии, в том числе полихимиотерапии ABVD-типа (адриамицин, блеомицин, винбластин и дакарбазин), ассоциированной с наличием как акушерских осложнений, так и токсичностью для плода, возможны и дают хорошие результаты. S. On и A. Chang [14] проанализировали истории болезни 37 пациенток с неходжкинской лимфомой высокой степени злокачественности, получавших лечение ритуксимабом и сопутствующую химиотерапию во время беременности. У большинства пациенток лечение проводилось во втором и третьем триместрах в объёме четырёх (в среднем) циклов комбинированной иммунохимиотерапии. У 14 (82%) из 17 наступила стойкая ремиссия. Из трёх пациенток, получавших лечение в первом и втором триместрах, у двух беременность завершилась самопроизвольным прерыванием, у одной — внутриутробной гибелью плода. Из 34 (91,9%) детей, родившихся живыми, в 6 (16,2%) наблюдениях были диагностированы осложнения со стороны дыхательной и сердечно-сосудистой систем, а в 5 (13,5%) — гематологические осложнения. В данном обзоре подчёркивается эффективность и безопасность иммунохимиотерапии во втором и третьем триместрах беременности.
В представленном ниже наблюдении приведены особенности клинического течения МКВЛ во время беременности, а также обозначены сложности, связанные с обследованием и ведением пациенток с данным заболеванием.
ОПИСАНИЕ СЛУЧАЯ
Повторнобеременная 35 лет поступила в акушерский стационар на сроке беременности 37–38 недель с жалобами на одышку в покое и сухой кашель, усиливающийся в положении лежа.
Непродуктивный кашель без повышения температуры тела беспокоил пациентку в течение последних трёх месяцев, по поводу чего она обращалась к участковому терапевту, однако рекомендованная симптоматическая терапия клинического эффекта не имела.
При поступлении в стационар общее состояние расценено как тяжёлое, пациентка находилась в вынужденном положении — сидя или лёжа на левом боку. Отмечалось тахипноэ с частотой дыхательных движений 22 в минуту, снижение сатурации кислорода крови (SpO2) до 92% (при норме 95–100%), тахикардия с частотой сердечных сокращений 118 уд./мин, артериальная гипертензия с цифрами артериального давления 145/87 мм рт. ст. Температура тела находилась в пределах физиологических значений (36,6 °С). При аускультации лёгких дыхание было жёстким, слева в нижних отделах — ослабленным. При ультразвуковом исследовании матки и плода, а также допплерометрическом исследовании гемодинамики в системе «мать–плацента–плод» патологических изменений не выявлено.
При лабораторном обследовании пациентки по данным клинического анализа крови выявлена гипохромная микроцитарная анемия (гемоглобин 93 г/л при норме 105–115 г/л в третьем триместре беременности, MCH 24,2 пг при норме 26–33,5 пг, MCV 70 фл при норме 80–100 фл) на фоне снижения гематокрита (26,9% при норме 34,7–47,0%), а также абсолютная (0,26×109/л при норме 1,26–3,20×109/л) и относительная (4,2% при норме 19–45%) лимфопения. По результатам биохимического анализа крови обнаружена гипоальбуминемия (32,7 ЕД/л при норме 34–50 ЕД/л). По данным эхографии плевральных полостей слева отмечалась сепарация листков плевры за счёт наличия однородного анэхогенного содержимого. Учитывая нарастание одышки, провели дренирование левой плевральной полости — эвакуировано 500 мл серозной жидкости, цитологический анализ которой показал наличие крупных бластных клеток лимфоидного ряда. По данным эхокардиографии обнаружили расширение полостей левого и правого предсердий, правого желудочка, гипертрофию миокарда левого желудочка, утолщение стенок аорты, разделение листков перикарда. По результатам компьютерной томографии органов грудной клетки выявили наличие объёмного образования средостения размерами 200×150 мм с неровными бугристыми контурами и признаками компрессии трахеи и левого главного бронха, инфильтративными изменениями нижней доли левого лёгкого, явлениями левостороннего плеврального и перикардиального выпота, а также наличие образования плевры справа (рис. 1).
Рис. 1. Компьютерная томограмма органов грудной клетки с визуализацией объёмного образования средостения с компрессией сердца, аорты, трахеи и главных бронхов: а — коронарный срез в 3D-режиме; б — аксиальный срез в лёгочном режиме.
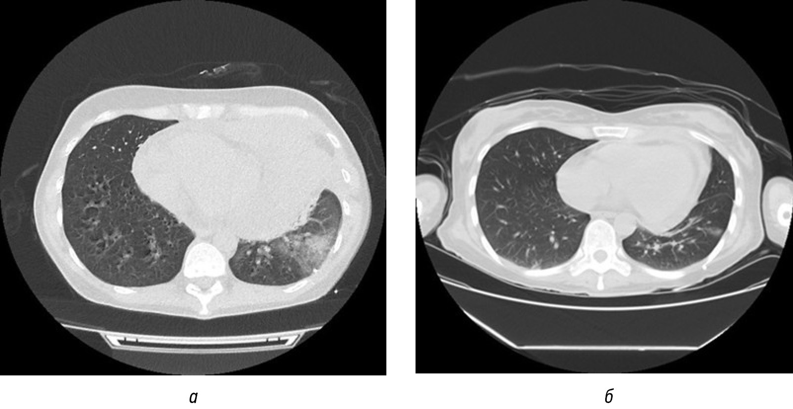
В связи с признаками дыхательной недостаточности пациентку госпитализировали в отделение реанимации и интенсивной терапии. Провели междисциплинарный консилиум, согласно заключению которого с учётом жизнеугрожающего состояния пациентки, обусловленного развитием тяжёлой дыхательной недостаточности с высоким риском летального исхода, было решено родоразрешить повторнобеременную в неотложном порядке с одномоментным проведением биопсии объёмного образования средостения посредством трансторакальной пункции для постановки гистологического диагноза и определения дальнейшей тактики ведения. Принимая во внимание тяжесть состояния пациентки, в качестве способа родоразрешения выбрали кесарево сечение. В связи с тяжёлой дыхательной недостаточностью чревосечение по Джоэлу–Кохену и кесарево сечение в нижнем маточном сегменте произвели в вынужденном положении пациентки на левом боку в условиях комбинированного эндотрахеального наркоза и эпидуральной анальгезии. В головном предлежании извлечён живой доношенный ребенок, росто-весовые показатели которого соответствовали физиологическим значениям для доношенного срока беременности. Оценка состояния новорождённого по шкале Апгар составила 7 и 8 баллов на 1-й и 5-й минутах жизни соответственно. Через 10 мин после извлечения ребёнка и последа у пациентки развилась брадикардия, однако в результате своевременно выполненных лечебных мероприятий нарушения сердечного ритма были устранены. Выполнены трахеобронхоскопия с выявлением компрессии объёмным образованием бифуркационной части трахеи и устьев обоих главных бронхов, а также эхокардиография с обнаружением признаков лёгочной гипертензии и гидроперикарда — произведена пункция перикарда и эвакуировано 240 мл серозно-геморрагического отделяемого. По результатам гистологического исследования материала, полученного посредством интраоперационной трансторакальной пункции объёмного образования средостения, морфологическая картина соответствовала лимфопролиферативному заболеванию — диффузной крупноклеточной В-клеточной лимфоме. В послеоперационном периоде состояние пациентки расценено как крайне тяжёлое, обусловленное прогрессированием признаков дыхательной недостаточности с развитием и нарастанием сердечной недостаточности, требовавшей комплексной многокомпонентной терапии, включавшей в том числе и заместительную почечную терапию для коррекции тканевой гипоперфузии. В условиях продолжавшейся искусственной вентиляции лёгких начали патогенетическую терапию преднизолоном с применением механической поддержки кровообращения в виде веноартериальной экстракорпоральной мембранной оксигенации. После стабилизации состояния родильница была переведена в стационар, профильный по оказанию специализированной медицинской помощи в рамках лечения лимфопролиферативного заболевания, где в условиях отделения реанимации и интенсивной терапии был начат курс комбинированной иммунохимиотерапии (ХТ+R) по схеме RCHOP. Через неделю наметилась стойкая положительная динамика в аспекте выраженного уменьшения размеров объёмного образования (рис. 2), активизации пациентки, возобновления самостоятельного питания и самообслуживания. Позже родильница была переведена в отделение гематологии с последующей выпиской из стационара и рекомендациями по дальнейшему наблюдению и лечению основного заболевания.
Рис. 2. Компьютерная томограмма органов грудной клетки с визуализацией объёмного образования средостения в лёгочном режиме, аксиальный срез: а — до иммунохимиотерапии; б — после первого курса иммунохимиотерапии.
В течение трёх месяцев пациентка получила четыре курса иммунохимиотерапии, в настоящий момент находится в удовлетворительном состоянии на межкурсовом перерыве.
ОБСУЖДЕНИЕ
Анализируя данное клиническое наблюдение, необходимо указать на наличие следующих сложностей диагностики и ведения диффузной крупноклеточной В-клеточной лимфомы во время беременности.
Первая сложность заключается в проведении адекватной диагностики заболеваний органов грудной клетки у беременных с использованием таких инструментальных методов исследования, которые, с одной стороны, обладают достаточной информативностью, а с другой — абсолютной безопасностью для плода, поскольку анализ жалоб и физикальные методы обследования (перкуссия, аускультация) не всегда могут помочь правильно оценить ситуацию. В данном случае клинические симптомы были неспецифичными, а эффект от эмпирически назначенного лечения отсутствовал. Безусловно, применение лучевых методов исследования, таких как обзорная рентгенография и компьютерная томография (КТ), при беременности крайне не приветствуется, учитывая опасность их тератогенного воздействия на плод [15]. Однако принимая во внимание отсутствие регресса клинических симптомов и настороженность в отношении наличия заболеваний органов дыхания, в том числе и специфической этиологии, таких как туберкулёз лёгких, коронавирусная пневмония и т.д., всё же следует по жизненным показаниям выполнять инструментальное обследование органов грудной клетки. Как известно, наиболее безопасными методами визуализации во время беременности считаются ультразвуковое исследование и магнитно-резонансная томография, но они, к сожалению, не всегда предоставляют достаточный объём информации для постановки диагноза. Необходимо также помнить, что при наличии угрозы для жизни матери не существует абсолютных противопоказаний к применению необходимых методов исследования на любом сроке гестации с учётом того принципа, что потенциальная польза для матери будет превышать возможный риск для плода. Кроме того, есть данные, что внутриутробная радиочувствительность напрямую зависит от гестационного возраста: наибольшую опасность ионизирующее излучение представляет в сроки имплантации плодного яйца — первые 2–3 недели с момента зачатия, а также в период с 5-й по 8-ю недели беременности, когда происходят закладка и развитие основных органов и систем [16]. Следует учитывать, что современные протоколы сканирования и средства защиты позволяют минимизировать указанные риски. Так, доза облучения плода при рутинном лучевом обследовании беременной (например, КТ органов грудной клетки) составляет порядка 0,03 мГр, в то время как экспериментальные данные свидетельствуют о том, что воздействие доз облучения менее 50 мГр не сопровождается повышением риска аномалий развития плода или потери беременности [17].
В акушерском стационаре выбрали верную тактику ведения беременной — неотложное родоразрешение, поскольку пациентка находилась в состоянии тяжёлой дыхательной недостаточности, в условиях которой дальнейшее пролонгирование беременности представляло непосредственную угрозу для жизни матери и плода. Однако второй сложностью, с которой столкнулись доктора, явилась неизбежная декомпенсация состояния пациентки на фоне родоразрешения. Её причинами выступили увеличение притока крови (венозного возврата) к правым отделам сердца в результате прекращения компрессии нижней полой вены, а также увеличение объёма циркулирующей крови из-за перераспределения жидкости в кровеносное русло из внесосудистого пространства вследствие уменьшения размеров матки и снижения внутрибрюшного давления после извлечения ребёнка и последа [18, 19]. Подобные изменения гемодинамики наблюдаются у всех женщин после родоразрешения, но в условиях выраженной компрессии и смещения органов средостения объёмным образованием они носили жизнеугрожающий характер.
ЗАКЛЮЧЕНИЕ
Предпочтительными методами диагностики во время беременности, в том числе заболеваний органов грудной клетки, являются ультразвуковое исследование и магнитно-резонансная томография, однако по абсолютным показаниям возможно применение лучевых методов диагностики с использованием необходимых средств защиты.
Следует иметь в виду, что в подавляющем большинстве наблюдений лимфопролиферативные заболевания характеризуются довольно агрессивным течением, поэтому при подозрении на их наличие следует установить гистологический диагноз и приступить к специфическому лечению. До настоящего времени дискуссии относительно безопасности применения препаратов, входящих в состав химиотерапии в условиях пролонгирования беременности, продолжаются. Тем не менее по данным литературы можно сделать вывод о том, что если в первом триместре химиотерапия не рекомендуется, то её использование во втором и третьем триместрах, даже в условиях пролонгирования беременности до доношенного срока (37 недель и более), признаётся относительно безопасным для плода и приводит к аналогичным результатам лечения лимфомы у небеременных пациенток.
Безусловно, рациональный выбор тактики ведения подобных пациенток становится невозможным без тесного сотрудничества специалистов различного профиля — акушеров-гинекологов, реаниматологов, гематологов, онкологов, и химиотерапевтов, имеющих опыт лечения лимфопролиферативных заболеваний.
Анализируя особенности течения и исход беременности, можно с уверенностью утверждать, что сохранение жизни матери и рождение здорового ребенка в настоящем клиническом наблюдении являются неоспоримой победой и исключительной заслугой высокого профессионализма, чёткой преемственности и безупречной работы команды врачей.
ДОПОЛНИТЕЛЬНАЯ ИНФОРМАЦИЯ
Вклад авторов. И.В. Игнатко — определение концепции, руководство исследованием, пересмотр и редактирование рукописи; И.М. Богомазова — анализ данных, проведение исследования, написание черновика рукописи; В.С. Белоусова — анализ данных, пересмотр и редактирование рукописи; Е.В. Тимохина — анализ данных, пересмотр и редактирование рукописи; А.А. Чурганова — анализ данных, написание черновика рукописи; С.С. Мирзахамидова — руководство исследованием, пересмотр и редактирование рукописи; О.В. Игнатенко — руководство исследованием, пересмотр и редактирование рукописи; Е.Л. Муравина — руководство исследованием, пересмотр и редактирование рукописи; Ю.А. Самойлова — проведение исследования, написание черновика рукописи; К.И. Сеурко — проведение исследования, написание черновика рукописи; С.Ф. Аскерова — работа с данными, написание черновика рукописи; А.А. Кочнова — работа с данными, написание черновика рукописи; П.Э. Темирбиева — работа с данными, написание черновика рукописи; Л.Г. Леонова — работа с данными, написание черновика рукописи. Все авторы одобрили рукопись (версию для публикации), а также согласились нести ответственность за все аспекты работы, гарантируя надлежащее рассмотрение и решение вопросов, связанных с точностью и добросовестностью любой её части.
Согласие на публикацию. Авторы получили письменное информированное добровольное согласие пациента на публикацию персональных данных, в том числе фотографий, в научном журнале, включая его электронную версию (дата подписания 21.04.2025). Объём публикуемых данных с пациентом согласован.
Источники финансирования. Отсутствуют.
Раскрытие интересов. Авторы заявляют об отсутствии отношений, деятельности и интересов за последние три года, связанных с третьими лицами (коммерческими и некоммерческими), интересы которых могут быть затронуты содержанием статьи.
Оригинальность. При создании настоящей работы авторы не использовали ранее опубликованные сведения (текст, иллюстрации, данные).
Доступ к данным. Доступ к данным, полученным в настоящем исследовании, закрыт.
Генеративный искусственный интеллект. При создании настоящей статьи технологии генеративного искусственного интеллекта не использовали.
Рассмотрение и рецензирование. Настоящая работа подана в журнал в инициативном порядке и рассмотрена по обычной процедуре. В рецензировании участвовали два рецензента, член редакционной коллегии и главный редактор издания.
ADDITIONAL INFORMATION
Author contributions: I.V. Ignatko: conceptualization, supervision, writing—review & editing; I.M. Bogomazova: formal analysis, investigation, writing—original draft; V.S. Belousova: formal analysis, writing—review & editing; E.V. Timokhina: formal analysis, writing—review & editing; A.A. Churganova: formal analysis, writing—original draft; S.S. Mirzakhamidova: supervision, writing—review & editing; O.V. Ignatenko: supervision, writing—review & editing; E.L. Muravina: supervision, writing—review & editing; Yu.A. Samoylova: investigation, writing—original draft; K.I. Seurko: investigation, writing—original draft; S.F. Askerova: data curation, writing—original draft; A.A. Kochnova: data curation, writing—original draft; P.E. Temirbieva: data curation, writing—original draft; L.G. Leonova: data curation, writing—original draft. All the authors approved the version of the manuscript to be published and agreed to be accountable for all aspects of the work, ensuring that questions related to the accuracy or integrity of any part of the work are appropriately investigated and resolved.
Consent for publication: Written informed consent was obtained from the patient for the publication of personal data, including photographs, in a scientific journal and its online version (signed on April 21, 2025). The scope of published data was approved by the patient.
Funding sources: No funding.
Disclosure of interests: The authors have no relationships, activities, or interests for the last three years related to for-profit or not-for-profit third parties whose interests may be affected by the content of the article.
Statement of originality: No previously published material (text, images, or data) was used in this work.
Data availability statement: Access to the data obtained in this study is restricted.
Generative AI: No generative artificial intelligence technologies were used to prepare this article.
Provenance and peer-review: This paper was submitted unsolicited and reviewed following the standard procedure. The peer review process involved two reviewers, a member of the editorial board, and the in-house scientific editor.
1 Агрессивные нефолликулярные лимфомы — диффузная крупноклеточная В-клеточная лимфома, первичная медиастинальная В-клеточная лимфома, лимфома Беркитта: клинические рекомендации. 2021. Режим доступа: https://oncology-association.ru/wp-content/uploads/2021/03/v-kletochnaya-2021.pdf Дата обращения: 11.12.2024.
About the authors
Irina V. Ignatko
I.M. Sechenov First Moscow State Medical University
Email: ignatko_i_v@staff.sechenov.ru
ORCID iD: 0000-0002-9945-3848
SPIN-code: 8073-1817
MD, Dr. Sci. (Medicine), Professor, Corresponding Member of the Russian Academy of Sciences, Professor of the Russian Academy of Sciences
Russian Federation, 8 Trubetskaya st, bldg 2, Moscow, 119991Irina M. Bogomazova
I.M. Sechenov First Moscow State Medical University
Author for correspondence.
Email: bogomazova_i_m@staff.sechenov.ru
ORCID iD: 0000-0003-1156-7726
SPIN-code: 9414-1218
MD, Cand. Sci. (Medicine), Associate Professor
Russian Federation, 8 Trubetskaya st, bldg 2, Moscow, 119991Vera S. Belousova
I.M. Sechenov First Moscow State Medical University
Email: belousova_v_s@staff.sechenov.ru
ORCID iD: 0000-0001-8332-7073
SPIN-code: 6026-9008
MD, Dr. Sci. (Medicine), Associate Professor
Russian Federation, 8 Trubetskaya st, bldg 2, Moscow, 119991Elena V. Timokhina
I.M. Sechenov First Moscow State Medical University
Email: timokhina_i_m@staff.sechenov.ru
ORCID iD: 0000-0001-6628-0023
SPIN-code: 4946-8849
MD, Dr. Sci. (Medicine), Professor
Russian Federation, 8 Trubetskaya st, bldg 2, Moscow, 119991Anastasia A. Churganova
I.M. Sechenov First Moscow State Medical University
Email: churganova_a_a@staff.sechenov.ru
ORCID iD: 0000-0001-9398-9900
SPIN-code: 3872-7167
MD, Cand. Sci. (Medicine)
Russian Federation, 8 Trubetskaya st, bldg 2, Moscow, 119991Svetlana S. Mirzakhamidova
City Clinical Hospital named after S.S. Yudin
Email: rimatevs@mail.ru
ORCID iD: 0000-0002-5807-5027
SPIN-code: 3815-5981
MD, Cand. Sci. (Medicine)
Russian Federation, MoscowOlga V. Ignatenko
City Clinical Hospital named after S.S. Yudin; Russian Medical Academy of Continuous Professional Education
Email: ovignatenko@gmail.ru
ORCID iD: 0000-0002-6353-2552
SPIN-code: 5725-6979
MD, Cand. Sci. (Medicine)
Russian Federation, Moscow; MoscowElena L. Muravina
City Clinical Hospital named after S.S. Yudin
Email: elena.muravina@mail.ru
ORCID iD: 0009-0004-3900-3898
SPIN-code: 6927-4055
MD, Cand. Sci. (Medicine)
Russian Federation, MoscowYulia A. Samoylova
I.M. Sechenov First Moscow State Medical University; City Clinical Hospital named after S.S. Yudin
Email: samoylova2005@yandex.ru
ORCID iD: 0000-0001-7448-515X
SPIN-code: 3304-8805
MD, Cand. Sci. (Medicine)
Russian Federation, 8 Trubetskaya st, bldg 2, Moscow, 119991; MoscowKseniya I. Seurko
I.M. Sechenov First Moscow State Medical University; City Clinical Hospital named after S.S. Yudin
Email: kseurko@yandex.ru
ORCID iD: 0009-0001-3287-9254
SPIN-code: 2419-3037
Russian Federation, 8 Trubetskaya st, bldg 2, Moscow, 119991; Moscow
Sevda F. Askerova
I.M. Sechenov First Moscow State Medical University
Email: askerova_sevda12@mail.ru
ORCID iD: 0000-0002-4925-594X
Russian Federation, 8 Trubetskaya st, bldg 2, Moscow, 119991
Anastasia A. Kochnova
I.M. Sechenov First Moscow State Medical University
Email: nastakochetova11@mail.ru
ORCID iD: 0000-0002-1208-1480
Russian Federation, 8 Trubetskaya st, bldg 2, Moscow, 119991
Polina E. Temirbieva
I.M. Sechenov First Moscow State Medical University
Email: p.temirbieva@yandex.ru
ORCID iD: 0009-0009-8719-0479
Russian Federation, 8 Trubetskaya st, bldg 2, Moscow, 119991
Ludmila G. Leonova
I.M. Sechenov First Moscow State Medical University
Email: 9251404718@mail.ru
ORCID iD: 0000-0002-1196-0977
Russian Federation, 8 Trubetskaya st, bldg 2, Moscow, 119991
References
- Tumyan GS, Zavodnova IZ, Kichigina MYu, Medvedovskaya EG. Primary mediastinal (thymic) large B-Cell lymphoma. Clinical Oncohematology. 2017;10(1):13–24. doi: 10.21320/2500-2139-2017-10-1-13-24 EDN: YIXTHD
- Yu Y, Dong X, Tu M, Wang H. Primary mediastinal large B Cell lymphoma. Thorac Cancer. 2021;12(21):2831–2837. doi: 10.1111/1759-7714.14155
- Misyurina AE, Misyurin VA, Baryakh EA, et al. The role of c-MYC, BCL2 and BCL6 gene expression in the pathogenesis of diffuse large B-Cell lymphoma. Clinical Oncohematology. 2014;7(4):511–520. EDN: TIINZL
- Strizhakov AN, Ignatko IV, Kosachenko AG, et al. Primary mediastinal B-large cell lymphoma and pregnancy. Gynecology, Obstetrics and Perinatology. 2016;15(4):63–69. doi: 10.20953/1726-1678-2016-4-63-69 EDN: XAACCH
- Hersey AE, Giglio P, Kurt H, et al. Diffuse large B-Cell lymphoma during third-trimester pregnancy and lactation. Obstet Gynecol. 2020;135(2):383–386. doi: 10.1097/AOG.0000000000003654
- Phan AT, Randhawa JS, Johnston B, et al. Primary mediastinal B-Cell lymphoma presenting as cardiac tamponade. J Med Cases. 2023;14(8):277–281. doi: 10.14740/jmc4106
- Alizadehasl A, Roudini K, Hesami M, et al. Mediastinal gray zone lymphoma in a pregnant woman presenting with cardiac tamponade. Cardiooncology. 2023;9(1):27. doi: 10.1186/s40959-023-00173-2
- Ahmed Z, Afridi SS, Shahid Z, et al. Primary MEDiastinal B-Cell lymphoma: a 2021 update on genetics, diagnosis, and novel therapeutics. Clin Lymphoma Myeloma Leuk. 2021;21(11):e865–e875. doi: 10.1016/j.clml.2021.06.012
- Hattori D, Yahagi Y, Uryu H, et al. Successful treatment with preceding low-intensity chemotherapy in a primary mediastinal large B cell lymphoma patient diagnosed at 11 weeks of pregnancy. Rinsho Ketsueki. 2019;60(2):112–117. Japanese. doi: 10.11406/rinketsu.60.112
- Hashimoto Y, Omura H, Tokuyasu Y, et al. Successful management of primary mediastinal large B-Cell lymphoma during pregnancy. Intern Med. 2019;58(23):3455–3459. doi: 10.2169/internalmedicine.3129-19
- Inquilla Coyla M, Anchante Hernández H, Medina Palomino F. Cardiovascular complications in pregnant woman with Primary Mediastinal B-Cell Lymphoma. Arch Peru Cardiol Cir Cardiovasc. 2022;3(2):112–116. Spanish. doi: 10.47487/apcyccv.v3i2.202
- Buchholtz ML, Bücklein V, Brendel M, Paal M. Superior vena cava syndrome related to mediastinal lymphoma in late pregnancy: a case report. Case Rep Womens Health. 2018;19:e00065. doi: 10.1016/j.crwh.2018.e00065
- Hagège J, Aguinaga L, Moatti H, et al. Management of Hodgkin Lymphoma during pregnancy, review of the literature and description of an homogenous expectative attitude associated with excellent outcome. Crit Rev Oncol Hematol. 2024;203:104482. doi: 10.1016/j.critrevonc.2024.104482
- On S, Chang A. Treatment of lymphoma with rituximab and chemotherapy during pregnancy. Leuk Lymphoma. 2022;63(12):2897–2904. doi: 10.1080/10428194.2022.2100368
- Doroshenko DA, Rumyantcev YuI, Shapsigova OA, et al. radiology diagnostics of a new coronavirus infection in pregnant women. experience of O.M. Filatov municipal clinical hospital No. 15, Moscow. Annals of the Russian Academy of Medical Sciences. 2020;75(S5):465–472. doi: 10.15690/vramn1450 EDN: EDJSOB
- Vozgoment AO, Doroshenko DA, Zubareva EA, Chigvintsev VM. Methods of radiation diagnostics in examination of pregnant women at different gestational age. Acta medica Eurasica. 2023;(4):107–119. doi: 10.47026/2413-4864-2023-4-107-119.
- Jain C. ACOG committee opinion no. 723: guidelines for diagnostic imaging during pregnancy and lactation. Obstet Gynecol. 2019;133(1):186. doi: 10.1097/AOG.0000000000003049
- Shah MR, Brandt JS, David KA, Evens AM. Lymphoma occurring during pregnancy: current diagnostic and therapeutic approaches. Curr Oncol Rep. 2020;22(11):113. doi: 10.1007/s11912-020-00972-1
- Ronenson AM, Shifman EM, Kulikov AV. Blood volume and hemodynamic changes in pregnants, parturients and puerperae. V.F. Snegirev Archives of Obstetrics and Gynecology. 2018;1(5):4–8. doi: 10.18821/2313-8726-2018-5-1-4-8 EDN: YUFHCM
Supplementary files





