Comparison of prenatal functional markers of retardation of fetal growth and delayed fetal development with expression of vascular growth factors in the placenta
- Authors: Dyusembinova S.D.1, Pavlova N.G.2, Klikunova K.A.3
-
Affiliations:
- Maternity hospital No. 6 named after prof. V.F. Snegirev
- The First Saint Petersburg State Medical University named after I.P. Pavlov
- Saint Petersburg State Pediatric Medical University
- Issue: Vol 8, No 3 (2021)
- Pages: 139-147
- Section: Original study articles
- Submitted: 26.03.2021
- Published: 28.09.2021
- URL: https://archivog.com/2313-8726/article/view/64207
- DOI: https://doi.org/10.17816/2313-8726-2021-8-3-139-147
- ID: 64207
Cite item
Abstract
AIM: The study aimed to investigate and compare Doppler metric indicators in the main arteries of the functional system of the mother, placenta, and fetus as well as the parameters of the activity–rest cycle in fetuses with vascular endothelial growth factor (VEGF) expression and placenta growth factor (PlGF) in the presence of physiological pregnancy and placental insufficiency to analyze morphofunctional parallels between these indicators in the third trimester of pregnancy.
MATERIALS AND METHODS: Twenty-nine women on the 34–35 weeks of pregnancy (period of physiological maturity of the activity–rest cycle in the fetus) were screened. The main group consisted of 19 patients. The inclusion criteria were as follows: single-fetal pregnancy, fetometric indicators below the 10th percentile, and presence of blood flow disorders in the main vessels of the mother–placenta–fetus functional system. The comparison group included 10 relatively healthy women. The criteria for inclusion in the comparison group were as follows: single-fetal physiological pregnancy, fetometric indicators above the 10th percentile, and absence of Doppler disorders of placental blood flow. Fetometry and Doppler studies of the placental blood flow in the main arteries of the functional system of the mother, placenta, fetus were performed using the Voluson 730 Expert ultrasound device (GE, USA). The activity–rest cycle in the fetus was evaluated using Sonicaid Team Care fetal monitor (Oxford, UK). Placental tissue was taken from the central placental area for immunohistochemical analysis of VEGF and PlGF expression with primary monoclonal antibodies of the main women group and comparison group after childbirth (1:100, Abcam, UK).
RESULTS: A direct correlation between the expression of VEGF in the central zone of the placenta and index resistance (IR), ripple index (RI) in the uterine arteries, as well as the cerebroplacental relationship — CPR (r1=0.487; p1=0.035; r2=0.487; p2=0.035; r3=0.578; p3=0.030, respectively) in women of the main group was found. A direct correlation was established between the expression of VEGF in the central zone of the placenta and IR in the umbilical artery (r=0.49; p=0.033) in patients of the main group. The analysis of the rest–activity cycle in fetuses of women of the main group showed that at 34–35 weeks 73% of them do not form it: the behavior of fetuses is represented only by the activated state. An inverse relationship was found between VEGF expression and the motor-cardiac reflex amplitude (r=–0.866; p=0.05) as well as the heart rate oscillation amplitude (r=–0.866; p=0.05) in fetuses of women of the main group.
CONCLUSIONS: The identified morphofunctional parallels will allow to develop non-invasive pathogenetic prognostic models for prenatal diagnosis of fetal development delay with different degrees of growth restriction.
Full Text
INTRODUCTION
Fetal growth retardation is an urgent problem in modern obstetrics. In Russia, the incidence of this pregnancy complication is approximately 3–24% and 18–40% in full-term and premature newborns, respectively [1]. Fetal growth retardation involves a combined delay in the maturation of the fetal functional systems, particularly the central nervous system (CNS), which is formed, as a rule, under conditions of perinatal hypoxia. Concurrently, newborns may experience a uniform or dissociated delay in the formation of tonic and reflex reactions, and in the future, about one-third of these children develop neurological disorders ranging from minimal cerebral dysfunction to severe diseases [2]. Children with a severe form of growth and developmental retardation have learning problems at school age and are sometimes unable to complete a full course of study in a comprehensive school [3].
Currently, the main methods used for the prenatal diagnosis of fetal growth and development retardation remain ultrasound fetometry and dopplerometry of blood flow in the vessels of the mother–placenta–fetus functional system [2]. The international consensus included in the Delphi protocol (2016) clarified that in the absence of placental blood flow disorders at each stage of pregnancy, growth retardation of the fetus is established only if its estimated weight is below the 3rd percentile characteristic of this stage of pregnancy. In cases of placental hemodynamics disorders, the diagnosis is justified even if the estimated fetal weight is below the 10th percentile [2, 4]. However, our previous study showed that 7% of newborns with prenatal fetometric parameters between the 5th and 10th percentile still present growth and developmental retardation even in the absence of placental circulation disorders in the main arteries of the mother–placenta–fetus system. We determined this by the cyclic organization of the functional states that characterize the maturity of the coordination and integration functions of the fetal CNS [2].
It is known that a well-nourished fetus develops due to adequate processes of vasculogenesis and angiogenesis in the placenta. The latter is under the control of vascular growth factors, such as endothelial (VEGF) and placental (PlGF) growth factors, the study of which has been given great importance in recent years [5–8]. Analysis of the expression of these factors in the placenta and its comparison with the Doppler parameters of the placental circulation and functional markers of the fetal CNS maturation will contribute to the better understanding of the pathogenesis of fetal growth and development retardation, enabling the early diagnosis of this pregnancy complication and its neurological consequences for the fetus and newborn in order to select an adequate management strategy, term and method of delivery, and postnatal neurological support.
The present study aimed to analyze and compare Doppler parameters in the main arteries of the mother–placenta–fetus functional system in the third trimester of pregnancy, as well as parameters of the activity–rest cycle in fetuses with VEGF and PlGF expressions in the placenta during physiological pregnancy and placental insufficiency in order to analyze the morphofunctional relationships between these indicators.
MATERIALS AND METHODS
During the period of physiological maturity of the activity–rest cycle in fetuses (34–35 weeks of pregnancy), 29 women were examined. The main group consisted of 19 female patients. The inclusion criteria for the main group were singleton pregnancy, fetometric parameters or estimated fetal weight below the 10th percentile, and impaired blood flow in the main arteries of the mother–placenta–fetus functional system according to dopplerometry.
The term of delivery in the main group was 35 weeks in 4 patients and 36 weeks in 3 patients; urgent delivery occurred in 12 patients. In all pregnant women of the main group, varying degrees of hemodynamic disorders were registered in the mother–placenta–fetus functional system [9], namely degree I in 7 cases, degree II in 6 cases, and degree III in 6 cases. In our study, fetuses had no critical disorders in the main arteries of the fetal-placental circulation, since such pregnant women had already undergone delivery at a term of 34–35 weeks [2]. Pregnant women of the main group had extragenital diseases, namely hypertension in 2 patients, vegetovascular dystonia in 3 patients, varicose disease of the lower extremities in 3 cases, type I diabetes mellitus in 1 case, and chronic inflammatory diseases including pyelonephritis in 6 cases, gastritis in 3 cases, and tonsillitis in 4 cases. The control group consisted of 10 relatively healthy women. The inclusion criteria for the control group were singleton physiological pregnancy, fetometric parameters above the 10th percentile, the absence of hemodynamic disorders in the mother–placenta–fetus functional system, and delivery at term [8].
Fetal length was measured and Doppler studies of placental blood flow in the main arteries of the mother–placenta–fetus functional system were performed using a Voluson-730 Expert ultrasonic diagnostic device (GE, USA). In addition to determining standard indices characterizing vascular resistance (resistance index (RI), pulsation index (PI)), the cerebroplacental ratio (CPR) was calculated.
The activity–rest cycle in fetuses was studied by visual assessment of 90-min cardiotocograms obtained using the Sonicaid Team Care device (Oxford, UK). The presence of the activity–rest cycle was assessed, and if it existed, the duration of its calm state in minutes was measured. During the active state of the fetus, the basal heart rate, amplitudes of oscillations of the heart rate (HR), and motor–cardiac reflex (MCR) were determined [2].
In female patients of the main and control groups, placental tissue was collected after delivery from the central zone of the placenta for immunohistochemical analysis of VEGF and PlGF expression. The immunohistochemical reaction was performed using a standard one-step protocol with antigen retrieval (high-temperature tissue treatment) in 0.01M citrate buffer pH 7.6. Primary monoclonal antibodies to PlGF (1:100, Abcam, UK) and primary monoclonal antibodies to VEGF (1:100, Abcam, UK) were used for the study. The results of the immunohistochemical reaction were quantitatively assessed on microphotographs obtained using a microscopic image fixation system consisting of a Nikon Eclipse E400 microscope (Japan), Nikon DXM1200 digital camera (Japan), personal computer based on Intel Pentium 4, and software ACT-1 version 2.12. Further quantitative study was performed using the Morphologiya 5.0 computer image analysis program (VideoTesT, Russia). The relative area of VEGF and PlGF expressions (S, %) was calculated as the ratio of the area of immunopositive cells to the total area of the drug in accordance with the Bouguer–Lambert–Beer law. The use of this indicator, which is the basic parameter of the VideoTesT–Morphologiya 5.0 program, for the analysis of optical parameters of the microphotographs was considered acceptable, since the measurements were performed by analogy with spectrophotometric analysis. In addition, the average brightness of expression was determined, which reflected the intensity of synthesis or accumulation of the studied markers [8].
Statistical analysis of the data was performed using SPSS Statistics 23.0 software packages. The description of quantitative data was presented as median (Me) and quartiles Q1 and Q3 in the format Me (Q1; Q3). To identify a possible relationship between the indicators, a correlation analysis was performed with the determination of the Spearman correlation coefficient. The Shapiro–Wilk test was used to test the hypothesis of a normal distribution. The Mann–Whitney U-test was used to detect differences between samples. At a significance level of p <0.05, the results were considered statistically significant [2].
The study was approved by the Academic Council of the First Pavlov Saint Petersburg State Medical University (minutes of the meeting No. 1 dated February 26, 2021), as well as the local ethics committee of the university. The patient’s informed consent forms were approved; informed consent was obtained from all patients for participation in the study and publication of their medical data.
RESULTS
Comparison of indicators of the Doppler study of blood flow in the main arteries of the mother–placenta–fetus system in pregnant women of the main and control groups is presented in Table 1.
Table 1. Doppler parameters of placental blood flow in patients of the main and control groups at 34–35 weeks of pregnancy
Indicator | Control group (n=10) | Main group (n=19) | p |
RI of the uterine arteries | 0.47 (0.44; 0.51) | 0.66 (0.62; 0.69) (n=19) | 0.000 |
PI of the uterine arteries | 0.72 (0.59; 0.84) | 1.43 (1.17; 1.51) (n=19) | 0.000 |
RI of the umbilical artery | 0.51 (0.49; 0.53) | 0.78 (0.71; 0.81) (n=12) | 0.000 |
PI of the umbilical artery | 0.74 (0.63; 0.79) | 1.70 (1.62; 2.00) (n=12) | 0.000 |
RI of the medial cerebral artery | 0.77 (0.73; 0.81) | 0.83 (0.60; 1.07) (n=12) | 0.263 |
PI of the medial cerebral artery | 1.62 (1.44; 1.79) | 1.45 (1.23; 1.67) (n=12) | 0.595 |
Note: PI ― pulsation index; RI ― resistance index; p is presented according to the Mann–Whitney U-test (comparison of indicators between the main and control groups).
Table 1 shows that RI and PI in the uterine arteries of female patients in the main group are 27% and 51% higher (respectively) than those of female patients in the control group. In 12 fetuses of female patients in the main group, placental hemodynamic disorders of degrees II and III were noted. Their RI and PI in the umbilical cord arteries were 28% and 56% higher, respectively, than those in the fetuses of the control group female patients. The resistance of the medial cerebral artery in the fetuses of female patients in the compared groups did not differ.
The expression of PlGF and VEGF in the central parts of the placenta in patients of the control group and the women of the main group (n=12) with delivery at term was investigated. Data of immunohistochemical parameters of VEGF and PIGF expressions in the placentas of these female patients of the main and control groups are presented in Table 2.
Table 2. Immunohistochemical parameters of VEGF and PlGF expression in the placentas of women in the main and control groups who delivered at term
Index | PlGF | VEGF | ||||
Main group (n=12) | Control group (n=10) | p | Main group (n=12) | Control group (n=10) | p | |
Relative expression area, % | 6.30 (5.25; 7.36) | 11.39 (4.40; 18.39) | 0.018 | 5.45 (3.93; 6.92) | 4.07 (1.66; 6.49) | 0.011 |
Average expression brightness, c.u. | 178.34 (173.66; 183.00) | 175.18 (165.18; 185.1) | 0.821 | 165.65 (157.96; 183.01) | 175.18 (165.18; 185.18) | 0.021 |
Note: PlGF ― placental growth factor; VEGF ― endothelial growth factor; p is presented according to the Mann–Whitney U-test (comparison of indicators betain and control groups).
Table 2 shows that in case of full-term pregnancy, the relative area of PIGF expression is 2 times less, and the relative area of VEGF expression is 20% more in the placentas of female patients in the main group than in the placentas of pregnant women in the control group. In addition, it was revealed that the average brightness of VEGF expression in the placentas of female patients in the main group was 7% less than that in the placentas of female patients in the control group. The average brightness of PIGF expression in the groups compared did not differ significantly.
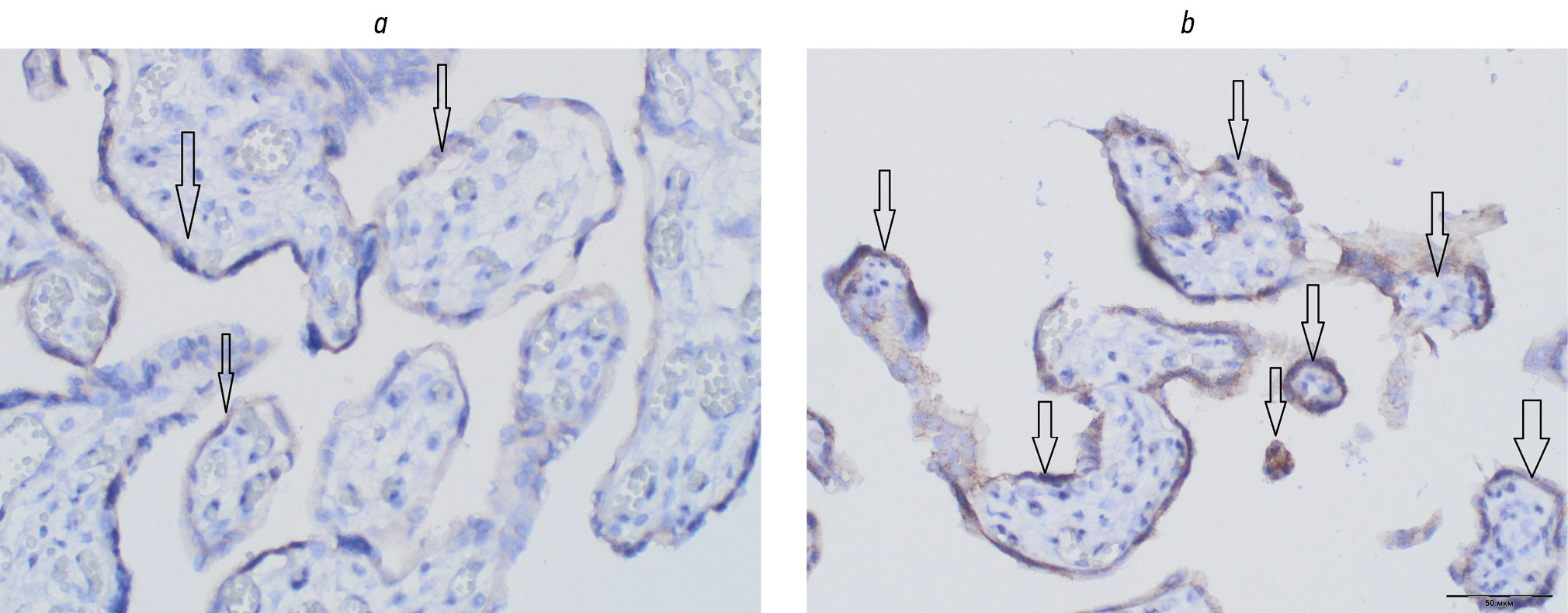
Figures 1 and 2 present specimens of placentas from patients in the main and control groups. The figures show that the PlGF marker in the placentas of female patients in both groups was determined mainly along the periphery of the terminal villi, in contrast to the expression of the VEGF marker, which was determined in the center of the villi.
Fig. 1. Comparison of the PlGF expression area in the terminal villi of the central part of the placenta: a — patients of the main group; b — patients of the control group. Arrows indicate PlGF expression; color: immunohistochemical reaction to PlGF.
Fig. 2. Comparison of the area of VEGF expression in chorionic villi of the central part of the placenta: a — patients of the main group; b — patients of the control group. The arrows indicate VEGF expression; color: immunohistochemical reaction to VEGF.
A correlation analysis was performed between the expression indices of VEGF in the placentas, as well as PIGF, and Doppler parameters of blood flow in the main arteries of the mother–placenta–fetus functional system in patients of the main group. A direct correlation was established between VEGF expression in the central zone of the placenta and RI and PI in the uterine arteries, as well as CPR (r1=0.487; p1=0.035; r2=0.487; p2=0.035; r3=0.578; p3=0.030, respectively). A direct correlation was found between PIGF expression in the central area of the placenta and RI in the umbilical artery (r=0.49; p=0.033).
The analysis of the maturity of the coordination and integration function of the CNS in the fetuses of female patients in the main group was also performed according to the assessment of their behavior. It was found that in 73% of the fetuses of these female patients at a term of 34–35 weeks, the activity–rest cycle was absent, and the behavior was represented only by an activated state. In the remaining 27% of the fetuses of female patients in the main group, the calm state in the activity–rest cycle was shortened by 2 times compared with the fetuses of the control group (p=0.000). Correlation analysis showed that the fetuses of female patients of the main group had an inverse relationship between the area of VEGF expression and the amplitude of the MCR (r=−0.866; p=0.05), as well as the amplitude of HR oscillations (r=−0.866; p=0.05).
DISCUSSION
The physiological development of the placenta is determined by the processes of invasion, vasculogenesis, and angiogenesis in the trophoblast [10, 11]. Vasculogenesis is known as the process of de novo formation and development of blood vessels from mesodermal progenitor cells. On the other hand, angiogenesis is the formation of new blood vessels from existing ones. Both processes are crucial in the normal development of the placenta, since the efficient transport of oxygen and nutrients and the excretion of metabolic products depend on them [11]. Disorders of trophoblast invasion, accompanied by underdevelopment of the placental vasculature, lead to the formation of disorders of placental hemodynamics and subsequent retardation of fetal growth and development. The main method used for the prenatal diagnosis of hemodynamic disorders in the mother–placenta–fetus functional system remains Doppler study, including in the early stages of pregnancy. The latter is important for predicting the possible development of preeclampsia and fetal growth retardation [12]. Therefore, in our study, in pregnant women of the main group who had fetometric parameters below the 10th percentile at a term of 34–35 weeks, RI and PI in the uterine arteries were higher by 27% and 51% in the umbilical cord arteries, respectively, and by 28% and 56% compared with the values of these parameters in patients of the control group. According to T.L. Smirnova et al. (2009), in the placentas of female patients with placental insufficiency (PI) syndrome, there is pronounced fibrosis of the stroma of the stem, intermediate, and anchor villi, as well as the presence of numerous small villi, including those with dystrophic and necrobiotic changes, their weak vascularization, and the small extent of syncytiocapillary membranes. Fibrin and lipids are deposited in the intervillous space and in areas of damage to the endothelium. This results in an increase in vascular resistance, against which the uteroplacental and fetal-placental blood flow decreases [13].
In several studies, the authors attempted to establish relationships between functional and morphological markers of placental disorders. Therefore, A.N. Zakurina and N.G. Pavlova (2010) showed that the values of Doppler parameters in the mother–placenta–fetus functional system reflect the morphometry of the terminal villi of the placenta [14]. This approach helps in understanding the pathogenesis of maturation disorders of the fetal functional systems, which often precede the growth retardation.
Many of the studies conducted in recent years focused on the effect of vascular growth factors on placental morphogenesis in placental insufficiency and fetal growth/development retardation. The processes of vasculogenesis and angiogenesis occur under the control of the vascular growth factors VEGF and PlGF. It has been established that VEGF is expressed by trophoblast cells, leading to the differentiation, migration, and proliferation of endothelial cells, as well as the formation of a vascular network. Under the influence of VEGF, maternal vessels are transformed in such a way as to provide uteroplacental blood circulation. Trophoblast invasion occurs under the maternal spiral arteries, which are completely destroyed, and the placental labyrinth is represented by the open ends of the spiral arteries [15]. PlGF mediates the proliferation of extravillous trophoblast without affecting the processes of its migration and invasion. Impairment of these processes contributes to the development of placental insufficiency and fetal growth/development retardation [16, 17]. It has been proven that the more severe the detected fetal growth retardation, the lower the maternal blood level of PlGF [14]. In our study, the relative area of PlGF expression in the placenta of female patients with hemodynamic disorders and fetal growth retardation was 2 times less than that of female patients in the control group. A.N. Strizhakov et al. (2009) found that with the preserved compensatory capabilities of the uteroplacental link, noted through a slight retardation in fetal growth, the level of VEGF in the blood of female patients does not exceed physiological parameters. With a significant retardation in fetal growth, the level of VEGF in the mother’s blood first increases significantly, and then decreases (with the degree III of retardation), due to depletion of the compensatory mechanisms of the fetoplacental system [5]. In our study, the relative area of VEGF expression in the placentas of female patients with impaired placental hemodynamics and fetal growth retardation was 20% higher than that of the patients in the control group. Our study revealed a correlation between VEGF expression in the central area of the placenta and RI and PI in the uterine arteries, as well as CPR (r1=0.487; p1=0.035; r2=0.487; p2 =0.035; r3=0.578; p3=0.03). A direct correlation was found between PlGF expression in the central zone of the placenta and RI in the umbilical artery (r=0.49; p=0.03). Therefore, our data indicate that Doppler parameters of the placental circulation can be used to assess the degree of morphological disorders of the placental vasculature.
Fetal growth and development retardation is accompanied by perinatal hypoxia, which is the cause of perinatal brain damage. In every fifth child in the first year of life, the consequences of perinatal lesions of the CNS slowly regress [3, 18]. It has been established that in the future, such children have signs of minimal cerebral dysfunction 2.4 times more often, as well as cerebral palsy, motor impairment, and cognitive disorders [3, 18]. In our previous studies, it was established that fetal growth and developmental retardation is accompanied by a violation of the formation of the activity–rest cycle [2]. Only in one-third of these fetuses, by 34–35 weeks of gestation, is the activity–rest cycle formed; however, even in these cases, its formation was delayed. It was also revealed that in 7% of the fetuses that were not included in the Delphi protocol algorithm, the activity–rest cycle was absent [2]. We have shown that the more severe the placental circulation disorders were, the less often the activity–rest cycle was formed in the fetus [2]. That is why in this study, we analyzed the relationship between the expression of vascular factors VEGF and PlGF and the functional state of the fetus, assessing the coordination and integration function of the CNS. It was revealed that in 73% of the fetuses of female patients in the main group, at a term of 34–35 weeks, the activity–rest cycle was absent, and in the remaining 27% of the fetuses, the rest state in the activity–rest cycle was 2 times shorter compared to the fetuses in the control group (p=0.000). Correlation analysis showed that the fetuses of the female patients in the main group had an inverse relationship between the area of VEGF expression and the MCR amplitude (r=−0.866; p=0.05), as well as the amplitude of HR oscillations (r=−0.866; p=0.05). Concurrently, it is known that the MCR reflects the conjugate reaction of the HR and voluntary motor activity, which can be used to evaluate the coordination activity of the CNS [19]. During hypoxia, the CNS functions are suppressed, which is manifested by a decrease in the MCR amplitude and HR oscillations.
CONCLUSION
Therefore, the morphofunctional relationships identified will enable the development of non-invasive, pathogenetic prognostic models for the prenatal diagnosis of fetal growth retardation at various degrees.
ADDITIONAL INFO
Author contribution. All authors made a substantial contribution to the conception of the work, acquisition, analysis, interpretation of data for the work, drafting and revising the work, final approval of the version to be published and agree to be accountable for all aspects of the work.
Funding source. This study was not supported by any external sources of funding.
Competing interests. The authors declares that there are no obvious and potential conflicts of interest associated with the publication of this article.
About the authors
Sholpan D. Dyusembinova
Maternity hospital No. 6 named after prof. V.F. Snegirev
Author for correspondence.
Email: sholpan8-d@mail.ru
ORCID iD: 0000-0001-9483-7335
ultrasound diagnostics doctor
Russian Federation, 5 Mayakovsky str., Saint Petersburg, 191014Nataliya G. Pavlova
The First Saint Petersburg State Medical University named after I.P. Pavlov
Email: ngp05@yandex.ru
ORCID iD: 0000-0002-2886-4578
M.D., Dr. Sci. (Med.), professor
Russian Federation, Saint PetersburgKseniya A. Klikunova
Saint Petersburg State Pediatric Medical University
Email: kliksa@gmail.com
ORCID iD: 0000-0002-5978-5557
MD, Cand. Sci. (Phys. and Mathem.), assistant professor
Russian Federation, Saint PetersburgReferences
- Strizhakov AN, Ignatko IV, Timokhina EV, Belotserkovtseva LD. Fetal growth retardation syndrome: pathogenesis, diagnosis, treatment, obstetric tactics. Moscow: GEOTAR-Media; 2013. (In Russ).
- Pavlova NG, Dyusembinova ShD. Features of the formation of the activity–rest cycle in fruits with delayed growth and development. Obstetrics and Gynecology. 2020;(1):104–109. (In Russ). doi: 10.18565/aig.2020.1.104-109
- Bose C, Van Marter LJ, Laughon M, et al. Fetal growth restriction and chronic lung disease among infants born before the 28th week of gestation. Pediatrics. 2009;124(3):450–458. doi: 10.1542/peds.2008-3249
- Gordijn SJ, Beune IM, Thilaganathan B, et al. Consensus definition of fetal growth restriction: a Delphi procedure. Ultrasound Obstet Gynecol. 2016;48(3):333–339. doi: 10.1002/uog.15884
- Strizhakov AN, Kushlinskiy NE, Timokhina EV. The role of angiogenic growth factors in predicting placental insufficiency. Voprosy ginekologii, akusherstva i perinatologii. 2009;8(4):5–11. (In Russ).
- Makarov OV, Volkova EV, Lysyuk EYu, Kopylova YuV. Fetoplacental angiogenesis in pregnant women with placental insufficiency. Obstetrics, Gynecology and Reproduction. 2013;7(3):13–19. (In Russ).
- Shu-Wei Li, Yi Ling, Song Jin, et al. Expression of soluble vascular endothelial growth factor receptor-1 and placental growth factor in fetal growth restriction cases and intervention effect of tetramethylpyrazine. Asian Pacific Journal of Tropical Medicine. 2014;7(8):663–667. doi: 10.1016/s1995-7645(14)60112-7
- Dyusembinova ShD, Drobintseva AO, Sosnina AK, et al. Local expression of signaling molecules and the state of intra-placental blood flow. Molecular medicine. 2017;15(2). (In Russ).
- Pavlova NG, Arzhanova ON, Zaynulina MS. Placental insufficiency: an educational and methodological guide. Ed. E.K. Aylamazyan. Saint Petersburg: N-L; 2007. (In Russ).
- Khankin EV, Royle C, Karumanchi SA. Placental vasculature in health and disease. Semin Thromb Hemost. 2010;36(3):309–320. (In Russ). doi: 10.1055/s-0030-1253453
- Sokolov DI. Vasculogenesis and angiogenesis in placental development. Journal of Obstetrics and Women's Diseases. 2007;LVI(3):129–133. (In Russ).
- Akolekar R, Syngelaki A, Poon LC, Wright D, Nicolaides KH. Competing risks model in early screening for preeclampsia by biophysical and biochemical markers. Fetal Diagn Ther. 2013;33(1):8–15. doi: 10.1159/000341264
- Smirnova TL, Alekseeva TA, Sergeeva VE. Placental morphology in placental insufficiency. Fundamental Research. 2009;(7 suppl.):62–63. (In Russ).
- Zakurina AN, Korzhevskii DE, Pavlova NG. Placental insufficiency ― morphofunctional parallels. Journal of Obstetrics and Women's Diseases. 2010;LIX(5):51–55. (In Russ).
- Torry DS, Hinrichs M, Torry RJ. Determinants of placental vascularity. Am J Reprod Immunol. 2004;51(4):257–268.
- Burton GJ, Charnock-Jones DS, Jauniaux E. Regulation of vascular growth and function in the human placenta. Reproduction. 2009;138(6):895–902. doi: 10.1530/REP-09-0092
- Yagel S. Angiogenesis in gestational vascular complications. Thromb Res. 2011;127 Suppl.3:S64–S66. doi: 10.1016/S0049-3848(11)70018-4
- Strizhakov AN, Kushlinskii NE, Timokhina EV, Tarabrina TV. The role of angiogenic growth factors in predicting placental insufficiency. Gynecology, Obstetrics and Perinatology. 2009;8(4):5–11. (In Russ).
- Bose C, Van Marter LJ, Laughon M, et al. Fetal growth restriction and chronic lung disease among infants born before the 28th week of gestation. Pediatrics. 2009;124(3):450–458. doi: 10.1542/peds.2008-3249
- Degtyareva EA, Zakharova OA, Kufa MA, Kantemirova MG, Radzinskii VE. Effectiveness of predicting and early diagnosis of fetal growth retardation. Russian Bulletin of perinatology and pediatrics. 2018;63(6):37–45. (In Russ). doi: 10.21508/1027-4065-2018-63-5-37-45
- Belich AI. An evolutionary approach to the study of the development of the fetal central nervous system. Journal of Obstetrics and Women's Diseases. 2010;LIX(5):12–16. (In Russ).
Supplementary files




