Clinical and diagnostic significance of risk factors for histopathologically confirmed uterine rupture after Сesarean section
- Authors: Bezhenar V.F.1, Romanova M.L.1, Nesterov I.M.1, Gabelova K.A.1, Meznikov A.А.1, Belyakova L.A.1, Rukoyatkina E.A.2
-
Affiliations:
- I.P. Pavlov First St. Petersburg State Medical University
- Maternity Hospital No. 16
- Issue: Vol 12, No 1 (2025)
- Pages: 92-105
- Section: Original study articles
- Submitted: 18.10.2024
- Accepted: 09.12.2024
- Published: 24.02.2025
- URL: https://archivog.com/2313-8726/article/view/637211
- DOI: https://doi.org/10.17816/aog637211
- ID: 637211
Cite item
Abstract
BACKGROUND: Attempts to predict the outcomes of vaginal delivery in women with a uterine scar after cesarean section using highly informative predictors and prognostic models remain highly relevant.
AIM: To demonstrate the significance of antenatal risk assessment for histopathologically confirmed uterine rupture using a scoring system in women with a uterine scar after cesarean section.
MATERIALS AND METHODS: A retrospective multicenter comparative study was conducted on pregnancy and delivery records of 288 patients with a uterine scar after cesarean section. Antenatal risk assessment for histopathologically confirmed uterine rupture was performed using a clinical scoring system (≥5 points=high risk; <5 points=low risk). Group 1 included 135 patients (≥5 points) who underwent elective cesarean delivery; group 2 included 57 patients (<5 points) who underwent elective cesarean section due to obstetric indications; group 3 included 66 patients (<5 points) who delivered vaginally. Group 4 (n=27) was formed to assess the probability of histopathologically confirmed uterine rupture and included cases of scar rupture after cesarean section. The predictive quality of the scoring system was evaluated using ROC analysis, and the significance of each criterion was assessed in relation to uterine rupture. Histopathological examination of the myometrium from the lower uterine segment was performed.
RESULTS: No significant differences in perinatal outcomes were observed among groups 1, 2, and 3. Factors significantly associated with uterine rupture (p <0.0001) included emergency cesarean section, anemia during pregnancy and the postoperative period, pathological blood loss (>1000 mL), and two or more previous cesarean sections. ROC analysis demonstrated a sensitivity of 77.8%, specificity of 95.5%, and accuracy of 83.7%, indicating an excellent predictive quality of the scoring system. The optimal cutoff point was determined to be 6.5.
CONCLUSION: The scoring system accurately predicts histopathologically confirmed uterine rupture, as validated by histopathological examination. A high risk of histopathologically confirmed uterine rupture along the scar following cesarean section is associated with a score of 6 or higher.
Full Text
BACKGROUND
There is a long history of attempts to predict the outcome of vaginal delivery in women with a uterine scar after cesarean section (CS) [1–3]. This is largely due to a persistently high incidence of CS, which is associated with increased rates of maternal and perinatal complications [2]. Current obstetric practice allows women with a history of CS to be offered a trial of vaginal delivery, which is recognized as the only way to reduce rates of repeat CSs [1]. It should be noted that any method of delivery in women with a history of CS is associated with maternal and neonatal risks, highlighting the issue of preventing the first CS in contemporary obstetrics. There are still no non-invasive techniques available to evaluate a uterine scar after CS. Only morphological verification of myometrial integrity is reliable after CS. Therefore, optimal and highly informative predictors and models should be identified to predict delivery outcomes in women with a uterine scar.
Aim
The study aimed to identify objective criteria for antenatal risk assessment for histopathologically confirmed uterine rupture using a scoring system in women with a uterine scar after CS.
METHODS
Study Design
A retrospective, multicenter, comparative study was conducted on pregnancy and delivery records of 288 patients with a uterine scar after CS.
Antenatal risk assessment for histopathologically confirmed uterine rupture was performed using a rating score developed in the Department of Obstetrics, Gynecology and Reproductive Medicine of the First Pavlov State Medical University of St. Petersburg of the Ministry of Health of the Russian Federation (headed by Dr. Sci. (Medicine), Professor Vitaly F. Bezhenar). The results are shown in Table 1. The score was developed based on Russian and global research and practice by Dr. Sci. (Medicine), Professor Vitaly F. Bezhenar, Associate Professor Igor M. Nesterov and Associate Professor Karina A. Gabelova in 2020. No relevant papers are published. This is the first article to demonstrate the effectiveness of this score.
Table 1. Antenatal risk assessment for histopathologically confirmed uterine rupture
Clinical and medical history factors | Points |
Purulent-septic complications in the postoperative period (wound infection, metritis-endometritis, mastitis) | 3 |
Intrauterine interventions within the first year after cesarean section | 1 |
Exacerbation of chronic inflammatory diseases of the female reproductive organs after cesarean section | 1 |
Exacerbation of extragenital chronic inflammatory diseases during pregnancy and in the postoperative period | 1 |
Anemia and iron deficiency during pregnancy and in the postoperative period | 1 |
Prior cesarean section performed less than one year before pregnancy (myomectomy less than 6 months) | 2 |
Previous cesarean section performed at 34–36.6 weeks of gestation | 3 |
Indications for the previous cesarean section | |
Clinically narrow pelvis | 2 |
Uterine contractility disorders | 2 |
Placenta previa | 2 |
Chorioamnionitis following premature rupture of membranes | 3 |
Intraoperative complications and surgical characteristics | |
Emergency cesarean section | 1 |
Pathological blood loss (≥1000 mL) | 1 |
Placental attachment at the incision site | 2 |
Complete cervical dilation | 2 |
Corporotomy, isthmic-corporotomy, T-shaped (anchor-shaped), J-shaped, or fundal uterine incision | 5 |
Single-layer uterine closure | 1 |
Uterine scar after previous surgeries | |
Myomectomy: FIGO types 2–5 (2018) | 5 |
Myomectomy during pregnancy | 5 |
Two or more cesarean sections | 5 |
Reconstructive-plastic surgeries for congenital uterine anomalies | 5 |
Metroplasty (previous uterine rupture, niche repair) | 5 |
Resection of the tubal angle / removal of a rudimentary uterine horn | 5 |
Additional factors | |
Fetal macrosomia | 3 |
Multiple pregnancy | 4 |
Anatomically narrow pelvis | 3 |
Placental attachment in the lower uterine segment and/or at the uterine scar | 5 |
Lack of cervical ripening (immature cervix) at ≥41 weeks gestation | 1 |
Ultrasound criteria for lower uterine segment assessment: | |
Formation of a defect in the anterior uterine wall (niche) from the endometrial cavity | 5 |
Thinning of the scar area (including focal, uneven thinning) to ≤2.0 mm, absence of vascularization, and tenderness upon vaginal ultrasound probe pressure or vaginal examination | 5 |
Risk stratification: ≥5 points = high risk; <5 points = low risk |
All women were divided into groups based on the scar score:
- Group 1 (n=135): Patients aged 34.49±0.75 years, scar score of ≥5: high risk of rupture, scheduled CS at 37–41 weeks of gestation;
- Group 2 (n=60): Patients aged 34.25±1.15 years, scar score <5: low risk of rupture, but scheduled CS at 36–40 weeks of gestation for obstetric indications, 1 case of CS at 32 weeks of gestation;
- Group 3 (n=66): Patients aged 33.73±0.95 years with one cesarean scar; scar score <5: low risk of rupture, vaginal delivery at 37–40 weeks of gestation.
Obstetric and gynecological history, medical history, and perinatal pregnancy outcomes were evaluated in the groups.
Myometrium was evaluated pathomorphologically (Pathomorphological Laboratory of Pediatric Research and Clinical Center of Infectious Diseases of the Federal Medical and Biological Agency of Russia, headed by Dr. Sci. (Medicine) Vadim Ye. Karev). In group 1 and group 2, the specimens were precisely removed from the lower uterine segment. Sections of archival paraffin blocks of removed surgical material were stained with hematoxylin and eosin (Van Gieson stain technique) and evaluated using a light optical microscope AXIO Imager A1 (Carl Zeiss, Germany), EC Plan-Neofluar objective 40×/0.75 M27 (420360-9900-000).
In addition, group 4 (n=27) included patients aged 29.93 ± 0.86 years with scar score of ≥5: high risk of rupture, history of rupture of the scarred uterus. This group included women with unfavorable outcomes to assess the prognostic quality of the score, i.e., the probability that the variable (score) will take one of two values (uterine rupture or no uterine rupture). The group was not compared with other groups. In group 4, the probability of uterine rupture was assessed clinically only. Retrospective scores were used to form the group. No myometrium was obtained for histology from the site of rupture of the scarred uterus.
Figure 1 shows the study design.
Fig. 1. Study design
Eligibility Criteria
The study enrolled pregnant women with a uterine scar after CS, who had scheduled delivery. Patients with multiple pregnancy were excluded.
Study Setting
Patients gave birth in St. Petersburg, in the Obstetrics and Gynecology Clinic of the First Pavlov State Medical University of St. Petersburg of the Ministry of Health of the Russian Federation and in Maternity Hospital No. 16.
Study Duration
Patients from the Obstetrics and Gynecology Clinic were enrolled from 2020 to 2022, and patients from Maternity Hospital No. 16 were enrolled from 2009 to 2023.
Intervention
Groups 1, 2, and 3 were evaluated for age, gravidity and pregnancy outcomes, number of uterine scars, time since previous CS, and history of gynecologic disorders. History of gynecological surgeries was considered. Indications for previous CS and the medical history were reviewed.
Perinatal pregnancy outcomes were also evaluated, including pregnancy complications such as threatened miscarriage, acute respiratory viral infection or COVID-19, cholestatic hepatosis, gestational diabetes, cervical insufficiency, premature rupture of membranes (PROM), chronic disease exacerbations, fetal membrane abnormalities, and placental location. The Apgar score was used to assess neonatal condition. Postpartum outcomes and intrapartum hemorrhage were evaluated.
ROC analysis was performed to assess the predictive value of this score in groups 3 and 4 (vaginal delivery). A criterion-rupture association was used to assess the significance of each criterion listed in Table 1.
Main Study Outcome
The adequacy of prenatal scoring of the cesarean scar was clinically and mathematically confirmed to reliably predict histopathic uterine rupture.
Additional Study Outcomes
Myometrial morphology confirmed the scar status based on the prenatal risk of histopathic uterine rupture.
Ethics Approval
All study procedures conformed to the Declaration of Helsinki (1964), as amended, and comparable ethical standards. This was a retrospective study evaluating anonymized data from medical records, therefore informed consent was not obtained. Publication of the article was approved by the Local Ethics Committee of the First Pavlov State Medical University of St. Petersburg of the Ministry of Health of the Russian Federation on October 28, 2024 (Extract of Minutes No. 293).
Statistical Analysis
Statistica was used to generate frequency and contingency tables and to assess parameter associations with Pearson χ2 distribution or Fisher’s exact test at p ≤ 0.05 (95%) using nonparametric statistical methods. The data were presented as absolute numbers of variants (n), their percentages (%), and means with standard deviation (M ± σ) calculated using an online calculator. The Kolmogorov–Smirnov test was used to test the normality of the parameter distribution. If the distribution was normal, the Student’s t-test was used to compare the two groups. If the distribution was not normal, the Mann–Whitney test was used. ROC analysis was used to determine the predictive value of the scar score and the optimal cutoff point.
RESULTS
Participants
Table 2 shows the age and parity of women in groups 1, 2 and 3. The patients were of comparable age. Gravidity in all three groups ranged from 2 to 11, with no significant differences between the means values.
Table 2. Age composition and parity of women (M ± m)
Parameter | Group 1 (n=135) | Group 2 (n=60) | Group 3 (n=66) | t, p > 0.10 |
Age | 34.49 ± 0.75 | 34.25 ± 1.15 | 33.73 ± 0.95 | 1–2: 1.97 1–3: 1.97 |
Total number of pregnancies | 3.16 ± 0.20 | 2.80 ± 0.29 | 4.09 ± 0.55 | 1–2:1.97 1–3: 1.97 |
The obstetrical and gynecological history (Table 3) showed that group 1 had significantly more women with two or more uterine scars and women with only one year since the previous CS. Group 3 had significantly more medical abortions, miscarriages at various stages, and deliveries before or after CS. Group 1 had significantly more frequent history of ectopic pregnancy, genital endometriosis, and tubectomy than group 2. Groups 2 and 3 had a higher number of intrauterine procedures (diagnostic curettage, hysteroscopy) compared with group 1. The three groups did not differ significantly in other parameters of obstetric and gynecologic history.
Table 3. Obstetric and gynecological history
Obstetric and gynecological history | Group 1, n (%) (n=135) | Group 2, n (%) (n=60) | Group 3, n (%) (n=66) | χ2 at p < 0.05 | |
Medical abortion | 18 (13.34) | 12 (20.00) | 21 (31.82) | 1–2: 1.42 1-3: 9.67 | |
Pregnancy loss | 33(24.25) | 15 (25.00) | 33 (50.00) | 1–2: 0.01 1–3: 13.13 | |
Ectopic pregnancy | 12 (8.89) | 0 | 6 (9.09) | 1–2: 5.68 1–3: 0.002 | |
Number of uterine scars | 1 | 12 (8.89) | 15(25.00) | 66 (100.00) | 1–2: 9.04 1–3: 154.96 |
2 | 93 (68.89) | 45(75.00) | 0 | 1–2: 0.75 1–3: 84.62 | |
3 | 30 (22.23) | 0 | 0 | 1–2: 15.76 1–3: 17.24 | |
Vaginal delivery before cesarean section | 21(15.56) | 6 (10.00) | 18(27.28) | 1–2: 1.07. 1–3: 3.89 | |
Vaginal delivery after cesarean section | 0 | 3 (5.00) | 48 (72.73) | 1–2:6.86 1–3:128.98 | |
Pelvic inflammatory diseases | 0 | 0 | 0 | – | |
Ovarian tumors, endometriomas | 3 (2.23) | 3 (5.00) | 0 | 1–2: 1.07 1–3: 1.49 | |
Uterine fibroids | 9 (6.67) | 9 (15.00) | 3 (4.55) | 1–2: 3.44 1–3: 0.36 | |
Genital endometriosis | 9 (6.67) | 3 (5.00) | 0 | 1–2: 0.20 1–3: 4.61 | |
Endometrial hyperplasia | 12 (8.89) | 6 (10.00) | 3 (4.55) | 1–2: 0.06 1–3: 1.21 | |
Infertility | 6 (4.45) | 9 (15.00) | 0 | 1–2: 6.52 1–3: 3.02 | |
Diagnostic curettage, hysteroscopy | 12 (8.89) | 12 (20.00) | 15 (22.73) | 1–2: 4.75 1–3: 7.30 | |
Surgical treatment | Salpingectomy | 39 (28.89) | 9 (15.00) | 9 (13.64) | 1–2: 4.32 1–3: 5.67 |
Ovarian cystectomy | 12 (8.89) | 9 (15.00) | 3 (4.55) | 1–2: 1.61 1–3: 1.21 | |
Time since previous cesarean section | 1 year | 24 (17.78) | 3 (5.00) | 6 (9.09) | 1–2: 5.68 1–3: 2.63 |
2–3 years | 30 (22.23) | 18 (30.00) | 15 (22.73) | 1–2: 1.35 1–3: 0.01 | |
4–10 years | 72 (53.34) | 24 (40.00) | 30 (45.46) | 1–2: 2.95 1–3: 1.10 | |
>10 years | 9 (6.67) | 15 (25.00) | 12 (18.19) | 1–2: 9.72 1–3: 6.28 | |
Note: statistically significant differences between groups are highlighted in bold.
The evaluation of the indications for previous CS revealed the following common factors in all groups: weak uterine contractions (significantly more common in group 1; χ2=3.77; p≤ 0.05); severe pre-eclampsia (significantly more common in group 2; χ2=7.68; p≤ 0.05); pelvic presentation (χ2=6.28; p≤ 0.05) and PROM (χ2=5.42; p≤ 0.05; all significantly more common in group 3); fetal hypoxia (no significant differences between all three groups; p> 0.05).
Evaluation of medical conditions in three groups revealed significantly more common anemia (χ2=6.0; p≤ 0.05), obesity (χ2=6.68; p≤ 0.05), gastrointestinal disorders (χ2=10.09; p≤ 0.05) and respiratory disorders (χ2=3.66; p≤ 0.05) in group 1. However, this group had significantly more healthy women than group 2 (χ2=5.11; р≤ 0.05). Group 2 had significantly more urinary tract disorders (χ2=12.94; p≤ 0.05), cardiovascular disorders (χ2=4.75; p≤ 0.05), and central nervous system disorders (χ2=26.71; p≤ 0.05)
Evaluation of the course of pregnancy in three groups showed significantly more threatened miscarriages in the first trimester (χ2=3.66; p≤ 0.05) and acute respiratory viral infections or COVID-19 during pregnancy (χ2=7.33; p≤ 0.05) in group 1 than in group 3. Group 2 and group 3 had a significantly higher rates of chronic disease exacerbations (χ2=5.71 and χ2=29.73, respectively; p≤ 0.05), threatened preterm birth (χ2=7.86 and χ2=16.19, respectively; p≤ 0.05), PROM (χ2=13.93 and χ2=26.10, respectively; p≤ 0.05), and anterior placenta (χ2=18.07 and χ2=9.86, respectively; p≤ 0.05) compared with group 1. Group 2 had a significantly higher rates of preeclampsia (χ2=11.99; p≤ 0.05) and cholestatic hepatosis (χ2=5.71; p≤ 0.05).
The condition of newborns was satisfactory (Apgar score ≥ 7) in all three groups. The newborns had mean birth weight of 3402.67±88.64 g and mean body length of 51.36±0.47 cm in group 1, mean birth weight of 3258.50±156.29 g and mean body length of 50.75±0.87 cm in group 2, and mean birth weight of 3287.73±91.50 g and mean body length of 51.32±0.57 cm in group 3. The infants were discharged with positive changes. Intrapartum blood loss was 623.43±33.32 mL in group 1 and was not significantly different from group 2 (620.40±28.96 mL, t=1.99, p> 0.05) and group 3 (322.09±62.24 mL, t=1.99, p> 0.05).
The postpartum period was unremarkable, with significantly more use of antibacterial therapy in group 1 than in group 3 (χ2=44.43; p≤ 0.05) and no difference from group 2 (χ2=1.07; p> 0.05). Group 1 had significantly fewer cases of uterine subinvolution (χ2=4.89; p≤ 0.05), postoperative scar hematoma (χ2=4.63; p≤ 0.05) than group 3, and fewer cases of postoperative seroma (χ2=6.85; p≤ 0.05) than group 2. No significant differences were found in other postpartum complications (metroendometritis, lochioschesis, fetal and placental remnants, curettage, vacuum aspiration) were not significantly different between the three groups (p> 0.05). Most women were discharged within five postpartum days.
Group 4 (n=27) had scar scores of 3 in 4 (14.82%) women and ≥ 5 in 23 (85.19%) women. Gravidity ranged from 2 to 9 with a mean of 3.63±0.36. A total of 6 (22.23%) women had a history of one CS, 14 (51.86%) had two, 6 (22.23%) had three, and 1 (3.71%) had four. The previous CS was performed 1 year ago in 2 (7.41%) women, 2–3 years ago in 7 (25.93%) women, 4–10 years ago in 11 (40.74%) women, and >10 years ago in 7 (25.93%) women. Eight (29.63%) women had a vaginal delivery prior to the last CS. Nine (33.34%) women had a significant obstetric and gynecological history. Significant medical history was reported in 23 (85.19%) women. Only half of the women, 13 (48.15%), were registered on time, whereas 11 (40.74%) had acute respiratory viral infections and/or COVID-19 during pregnancy, and 4 (14.82%) had a chronic disease exacerbation. Intrapartum threatened rupture of the scarred uterus was reported in 6 (22.23%) women, incomplete rupture in 10 (37.04%), and complete rupture in 11 (40.74%). Medical records did not include a visual assessment of scarring at the time of CS. Only 3 (11.12%) women had an intrapartum diagnosis of PROM, whereas 16 (59.26%) women had an intrapartum diagnosis of acute fetal hypoxia due to uterine rupture. Intrapartum blood loss ranged from 400 mL to 3670 mL (1247.00±163.03). The mean weight of newborns was 3286.67±107.46 g, the mean length was 50.78±0.63 cm. Only 6 (22.23%) newborns were born in a satisfactory state (Apgar score ≥ 8), 17 (62.97%) were born in moderate state due to intranatal asphyxia (Apgar score 4–7), and 4 (14.82%) were stillborn. Mothers received postpartum antibacterial therapy. Five (18.52%) women were discharged on day 5, 22 (81.49%) women were discharged on days 6–8.
Primary Results
The ROC analysis was performed to assess the predictive value of the scar score in groups 3 and 4 (vaginal delivery; Fig. 2). The area under the ROC curve was 0.914 (95% confidence interval [CI]: 0.834–0.994), sensitivity was 77.8%, specificity was 95.5%, and accuracy was 83.7%, indicating an “excellent” predictive value of this score. From the ROC curve, the maximum sum of sensitivity and specificity was calculated to determine the optimal cutoff point. The optimal cutoff point for scar scoring was 6.5. This means that with a scar score ≥6, there is a high risk of histopathic rupture of the scarred uterus after CS.
Fig. 2. ROC curve of the probability of histopathological uterine rupture based on the scar condition scoring system
The optimal cutoff point was also determined by minimizing the difference between sensitivity and specificity. In this case, the sensitivity was 85.2%, the specificity was 86.4%, and the accuracy was 83.7%. The optimal cutoff point for scar scoring was 5.5. This means that with a scar score ≤5, there is a low risk of histopathic rupture of the scarred uterus after CS. In practice, however, the situation is significant with maximum specificity at the highest possible sensitivity. This is achieved with a cutoff point of 6.5.
The evaluation criteria presented in Table 1 are based on many years of Russian and global research [3–5]. A criterion-rupture association was used to assess the significance of each evaluation criterion listed in Table 1. Table 4 shows the criteria that are significantly associated with the rupture. Other parameters were not significantly associated with rupture (or were not present).
Table 4. Predictive criteria significantly associated with uterine rupture
Criterion | p |
Presence of anemia and iron deficiency during pregnancy and in the postoperative period | < 0.0001 |
Emergency cesarean section | < 0.0001 |
Pathological blood loss (>1000 mL) | < 0.0001 |
Two or more cesarean sections | < 0.0001 |
Associations between rupture and medical history parameters were evaluated to improve the prognosis (or the predictive value of models) in groups 3 and 4 (vaginal delivery). These parameters included age, gravidity and pregnancy outcomes, previous vaginal deliveries before and after the CS, significant gynecological history, and significant medical history. Only one statistically significant association was found between rupture and number of deliveries. Uterine rupture was reported in 12 (67%) of women with a history of two deliveries, 10 (77%) of women with a history of three deliveries, and 4 (67%) of women with a history of four deliveries (p=0.002).
Intraoperative visual scar assessment was performed in groups 1 and 2. The scar was considered thinned in 69 (51.12%) women in group 1 and in 3 (5%) women in group 2. Therefore, the predictive value of the model to predict the probability of histopathic uterine rupture was considered “good.” The area under the ROC curve ranged from 0.7 to 0.8 (95% CI: 0.597–0.841). However, this finding is not clinically significant because changes in myometrial thickness do not always affect contractile function [6].
Secondary Results
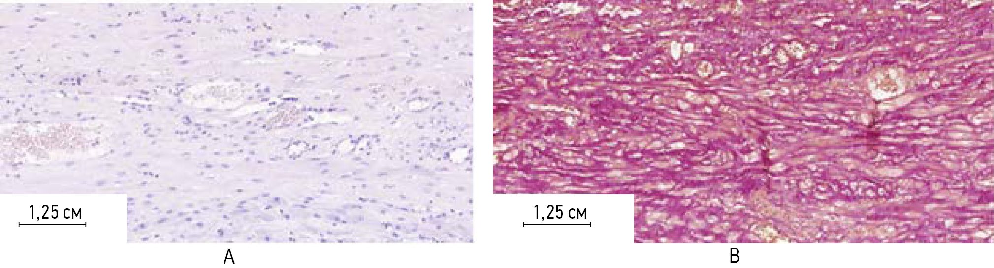
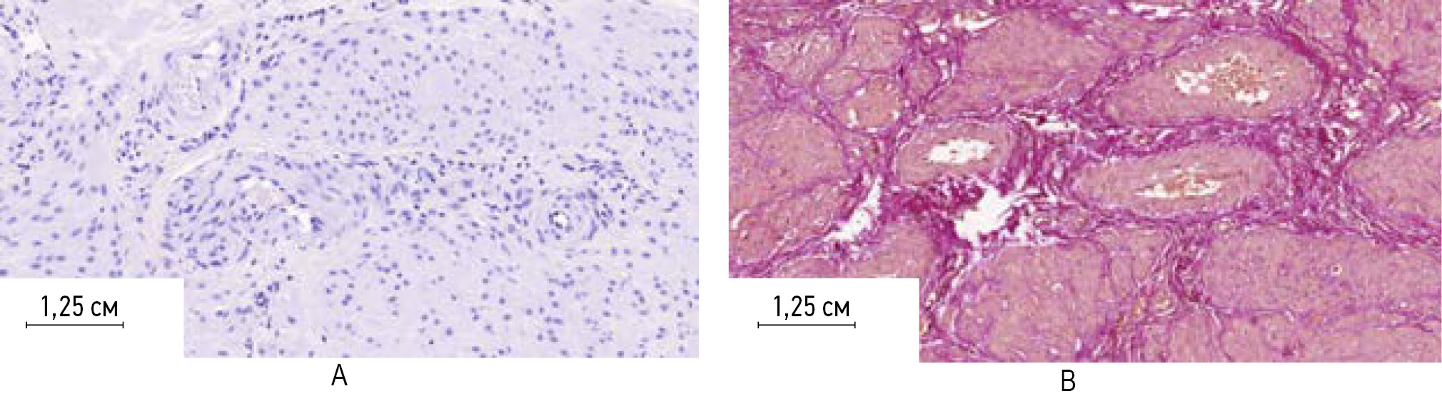
The myometrium was obtained intraoperatively by precise excision from the lower segment of the uterus for histological scar assessment in group 1 (n=29) and group 2 (n=17). In group 2, scar tissue samples had predominantly muscle fibers with mild connective tissue proliferation, with a few large arterial vessels (χ2=46.00; р< 0.001; Fig. 3).
Fig. 3. Intact uterine scars in group 2 patients: mild proliferation of connective tissue with a small number of large arterial-type vessels; hematoxylin and eosin staining (A), Van Gieson’s staining (B). Author’s images.
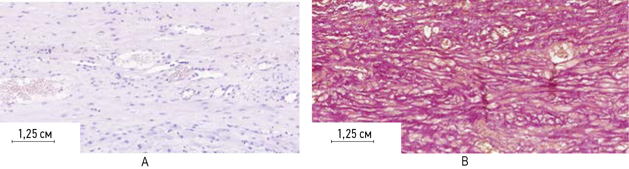
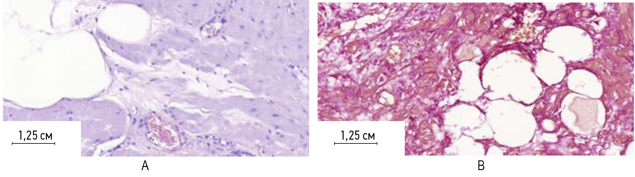
In group 1, scars were morphologically characterized by significant diffuse proliferation of connective tissue with intertwined muscle fibers and multiple small thin-walled vessels (Fig. 4). Seven (24.14%) samples showed significant edema and mucoid degeneration of connective tissue with adipose inclusions (Fig. 5). Group 1 reported no data on endometriosis in the myometrium samples.
Fig. 4. Deficient uterine scars in group 1 patients: diffuse and pronounced proliferation of connective tissue enveloping muscle fibers, with numerous small thin-walled vessels; hematoxylin and eosin staining (A), Van Gieson’s staining (B). Author’s images.
Fig. 5. Deficient uterine scars in group 1 patients: edema and myxomatous changes in connective tissue with fat inclusions; hematoxylin and eosin staining (A), Van Gieson’s staining (B). Author’s images.
DISCUSSION
Based on Russian [1, 7] and global research [3, 8–10], clinical data and medical history were evaluated in terms of mechanisms of incomplete scarring and potential predictors of histopathic uterine rupture.
The association between the number of CSs and the risk of scar defects has long been known. According to different authors, the percentage of scar defects ranges from 61% of cases after one CS to 81% after two CSs and 100% after three CSs [7]. This is reflected in the Russian clinical guidelines approved by the Ministry of Health of the Russian Federation in 2021, which recognize a history of ≥2 previous CSs as an indication for a subsequent CS [11]. This finding is clearly supported by our data. The percentage of women with ≥2 uterine scars is significantly higher in the high-risk group and in women with a history of uterine rupture (77.78%) than in other groups. This is also confirmed by the association between this criterion and rupture (p< 0.0001). The actively discussed role of adhesion formation in scar thinning can also be considered [2]. There is a counterforce within the scar for optimal convergence of the myometrial layers and healing.
Our study is consistent with other available data that lower uterine segment status at the time of CS affects the likelihood of cesarean scar defects [7, 12, 13]. In high-risk populations, a significant majority of women had previously had an emergency CS due to poor uterine contractions. Our study used emergency CS as an outcome measure, which was significantly associated with rupture (р< 0.0001).
The healing of the injured uterus is a complex, long and multifactorial process consisting of several successive stages. Changes at any stage affect wound healing [14, 15]. Our study found that anemia and/or iron deficiency during pregnancy and in the postoperative period, as well as abnormal blood loss (>1,000 mL) were significantly associated with rupture, and these data were consistent with previous studies [16–19]. These factors alter the hemodynamics of the lower segment of the uterus, destabilize the blood supply, and increase the ischemia and hypoxia in the suture area. Regeneration and systemic homeostasis depend on comorbidities with obesity, respiratory and gastrointestinal disorders being significantly more common in women at high risk (score ≥5).
The scar strength reaches 70% of the initial strength of intact tissue approximately 3 weeks after incision. Tissue remodeling occurs during this time. Collagen molecules become thicker and more parallel, increasing tensile strength of the tissue. Further strength increases to 80%, but never reaches the strength of the intact tissue. Tissue remodeling takes approximately two years [7, 14, 15]. It is clear that a subsequent pregnancy and delivery prior to the end of this time period is a critical risk factor for histopathic uterine rupture, and this is confirmed by our data. The time of 1 year from the previous CS was significantly more frequent in the high-risk population.
The first cases of histologically proven endometriosis in the uterine scar after CS were described by Kafkasli et al. in 1996 [20]. Tanimura et al. in 2015 [21] and Donnez et al. in 2017 [22] found endometriosis in the cesarean scar area in approximately 21–27% of cases, which was correctly recognized as a contributing factor to the decrease in myometrial contractility due to the formation of fibrous tissue in the scar area. Our study showed that genital endometriosis was significantly more common in women with a high (score ≥5) risk of histopathic uterine rupture (χ2=4.61, p≤ 0.05) compared with group 3. However, no data were available on the presence of endometriosis in the area of the cesarean scar in group 1, but this does not exclude this condition. It is reasonable to say that CS alters a woman’s reproductive potential: vaginal delivery before CS and successful vaginal delivery after CS do not guarantee successful vaginal delivery in the future [24]. There are conflicting data regarding the success of vaginal delivery in women with a history of cesarean scarring [3, 8, 9, 24]. Our study showed good potential (scar score <5) in group 2 and successful vaginal delivery in group 3 for women with a history of vaginal delivery before or after CS. Reproductive history, including total number of deliveries regardless of method, influences the outcome of attempted vaginal delivery after CS. It is not reasonable to consider the number of deliveries as a separate predictor in the model because it is indirectly related to the number of CSs, which is already included in the scoring of the risk of histopathic uterine rupture.
Our study confirms published data that pregnancy complications are significantly more common in women with a high risk of histopathic uterine rupture (score ≥5) [7, 24, 25]. Our study reported a threatened miscarriage in the first trimester and acute respiratory viral infections and COVID-19 during pregnancy. A factor such as anterior placenta, which is considered by many authors to be unfavorable in relation to perinatal outcomes in women with a uterine scar after CS [1, 25, 26], was not significant in our study.
The study showed that medical history factors such as medical abortion, miscarriage at various stages, diagnostic intrauterine procedures, severe pre-eclampsia, and breech presentation with PROM as an indication of previous CS did not have a negative effect on scar condition. Some pregnancy complications (preeclampsia, cholestatic hepatosis, threatened preterm birth, PROM) did not worsen predicted perinatal outcomes. This conclusion can be considered controversial because of the opposite conclusions of other studies [7, 23, 24]. The search for the optimal predictive model may be a rhetorical issue, but it clearly highlights the importance of guidance for the choice of delivery method. The absence of statistically significant differences in delivery outcomes, neonatal status, and postpartum course in groups 1, 2, and 3 in our study suggests adequate prenatal assessment of uterine scar and appropriate delivery method.
CONCLUSION
In our study, the list of parameters that make up the final uterine rupture risk score is relatively accurate (>80%) to predict the status of histopathic uterine rupture. This is supported by morphological data. In the proposed scoring system, a scar score of ≥6 is considered to be at high risk for histopathic rupture of the scarred uterus.
Reliable and significant predictors and signs of uterine scar failure remain to be identified. The used approach allows the standardized evaluation of pregnant women with a uterine scar after CS to identify risk groups for histopathic uterine rupture and allow obstetricians to promptly select the delivery method and minimize intraoperative and postoperative complications.
ADDITIONAL INFORMATION
Authors’ contribution. V.F. Bezhenar: concept development, study supervision, and overall research oversight; M.L. Romanova: literature review, data collection and analysis, manuscript writing, and editing; I.M. Nesterov: concept development, study organization and supervision, manuscript editing; K.A. Gabelov: concept development, study organization, and manuscript editing; A.A. Meznikov: study organization, literature collection; L.A. Belyakova: statistical data analysis, manuscript writing; E.A. Rukoyatkina: study organization and supervision. All authors confirm that their authorship meets the international ICMJE criteria (all authors made a substantial contribution to the conception of the work, acquisition, analysis, interpretation of data for the work, drafting and revising the work, final approval of the version to be published and agree to be accountable for all aspects of the work).
Acknowledgments. The authors express their gratitude to Dr. Irina Alexandrovna Karabak, Cand. Sci. (Medicine), pathologist at the Laboratory of Pathomorphology, Children’s Scientific and Clinical Center for Infectious Diseases of the Federal Medical-Biological Agency of Russia, for her analysis of the histological material.
Consent for publication. The study was retrospective in nature, depersonalized data from medical records were analyzed, and therefore informed consents were not collected.
Funding source. This study was not supported by any external sources of funding.
Disclosure of interest. The authors declares that there are no obvious and potential conflicts of interest associated with the publication of this article.
About the authors
Vitaly F. Bezhenar
I.P. Pavlov First St. Petersburg State Medical University
Email: bez-vitaly@yandex.ru
ORCID iD: 0000-0002-7807-4929
SPIN-code: 8626-7555
MD, Dr. Sci. (Medicine), Professor
Russian Federation, 6-8 Lva Tolstogo st, St. Petersburg, 197022Maria L. Romanova
I.P. Pavlov First St. Petersburg State Medical University
Author for correspondence.
Email: mariaro@mail.ru
ORCID iD: 0000-0002-4378-6424
SPIN-code: 3403-7620
MD, Cand. Sci. (Medicine), Assistant Professor
Russian Federation, 6-8 Lva Tolstogo st, St. Petersburg, 197022Igor M. Nesterov
I.P. Pavlov First St. Petersburg State Medical University
Email: ignester@yandex.ru
ORCID iD: 0000-0002-7558-7657
SPIN-code: 4158-6201
MD, Cand. Sci. (Medicine), Assistant Professor
Russian Federation, 6-8 Lva Tolstogo st, St. Petersburg, 197022Karina A. Gabelova
I.P. Pavlov First St. Petersburg State Medical University
Email: kgabelova@mail.ru
ORCID iD: 0000-0003-1282-4544
SPIN-code: 5577-2848
MD, Cand. Sci. (Medicine), Assistant Professor
Russian Federation, 6-8 Lva Tolstogo st, St. Petersburg, 197022Alexander А. Meznikov
I.P. Pavlov First St. Petersburg State Medical University
Email: alexm2103@mail.ru
ORCID iD: 0000-0002-6480-6375
Assistant Lecturer
Russian Federation, 6-8 Lva Tolstogo st, St. Petersburg, 197022Ludmila A. Belyakova
I.P. Pavlov First St. Petersburg State Medical University
Email: belmil@list.ru
ORCID iD: 0000-0003-2457-1169
SPIN-code: 7424-5760
Cand. Sci. (Engineering), Senior Research Associate
Russian Federation, 6-8 Lva Tolstogo st, St. Petersburg, 197022Elena A. Rukoyatkina
Maternity Hospital No. 16
Email: e.a.ryk@mail.ru
ORCID iD: 0000-0001-5634-8303
SPIN-code: 8680-2150
MD, Cand. Sci. (Medicine)
Russian Federation, Saint PetersburgReferences
- Vuchenovich YuD, Ziyadinov AA, Novikova VA, Radzinsky VE. Predicting attempted vaginal labor after cesarean section. Obstetrics and Gynecology. News. Views. Education. 2020;8(3):39–46. doi: 10.24411/2303-9698-2020-13005 EDN: STTYBG
- Noznitseva ON, Bezhenar VF. The niche in the uterine cesarean scar: a new problem of women’s reproductive health. Journal of Obstetrics and Womans Diseases. 2020;69(1):53–62. doi: 10.17816/JOWD69153-62 EDN: KHEOSC
- Patel MD, Maitra N, Patel PK, et al. Predicting successful trial of labor after cesarean delivery: evaluation of two scoring systems. J Obstet Gynaecol India. 2018;68(4):276–282. doi: 10.1007/s13224-017-1031-2
- Bezhenar VF, Nesterov IM, Pryalukhin IA. Obstetric audit of cesarean sections according to M. Robson classification criteria — the experience of St. Petersburg in 2020–2021. Journal of Obstetrics and Womans Diseases. 2022;71(2):7–16. doi: 10.17816/JOWD101633 EDN: ZPZTTP
- Galustyan MV, Kutsenko II, Borovikov IO, Magay AS. Opportunities for predicting cesarean scar insufficiency. Medical Herald of The South of Russia. 2021;12(1):54–61. doi: 10.21886/2219-8075-2021-12-1-54-61 EDN: OUMEXR
- Martynov SA, Adamyan LV. Cesarean scar defect: terminological aspects. Gynecology. 2020;22(5):70–75. doi: 10.26442/20795696.2020.5.200415 EDN: CEPKDA
- Sidorova TA, Martynov SA. Risk factors and mechanisms of uterine scar defects formation after caesarean section: a review. Gynecology. 2022;24(1):11–17. doi: 10.26442/20795696.2022.1.201356 EDN: CXYUQG
- Varvoutis MS, Sayres LC, Dotters-Katz SK. Is early amniotomy associated with higher likelihood of vaginal birth after cesarean? AJP Rep. 2020;10:e37–e41. doi: 10.1055/s-0040-1702924
- Xu P, Feng Y, Shen H, et al. Verification a model of predicting vaginal birth after cesarean delivery in Chinese pregnant women. Medicine (Baltimore). 2019;98(52):e18421. doi: 10.1097/MD.0000000000018421
- Bezhenar VF, Nesterov IM. Advanced clinical practices and technologies in obstetrics: clinical guidance (algorithms for diagnosis and treatment). St. Petersburg: PSBGMU; 2019. 433 p. (In Russ.)
- Clinical recommendations “Postoperative scar on the uterus, requiring the provision of medical care to the mother during pregnancy, childbirth and the postpartum period”. Moscow; 2021, 40 р. (In Russ.)
- Tekelioğlu M, Karataş S, Güralp O, et al. Incomplete healing of the uterine incision after elective second cesarean section. J Matern Fetal Neonatal Med. 2021;34(6):943–947. doi: 10.1080/14767058.2019.1622676
- Vikhareva O, Rickle GS, Lavesson T, et al. Hysterotomy level at Cesarean section and occurrence of large scar defects: a randomized single-blind trial. Ultrasound Obstet Gynecol. 2019;53(4):438–442. doi: 10.1002/uog.20184
- Fotina EV, Zakirova RR, Alekseenkova MV, Panina OB. Connective tissue dysplasia in the genesis of cervical incompetence. Obstetrics, Gynecology and Reproduction. 2021;15(1):41–50. doi: 10.17749/2313-7347/ob.gyn.rep.2021.131
- Kuzin MI, Kostyuchenok BM. Wounds and wound infection: a manual for doctors. Moscow: Medicine; 1990. P. 38–82. (In Russ.)
- Donnez O. Cesarean scar defects: management of an iatrogenic pathology whose prevalence has dramatically increased. Fertil Steril. 2020;113(4):704–716. doi: 10.1016/j.fertnstert.2020.01.037 EDN: KHDZIY
- Polyanin DV, Mikhelson AA, Melkozerova OA, Lukianova KD. Discussion issues of incompetent uterine scar in the era of the caesarian section epidemic. Ural Medical Journal. 2019;(5):17–22. doi: 10.25694/URMJ.2019.05.30 EDN: RTCDFK
- Arusi TT, Zewdu Assefa D, Gutulo MG, Gensa Geta T. Predictors of uterine rupture after one previous cesarean section: an unmatched case-control study. Int J Womens Health. 2023;15:1491–1500. doi: 10.2147/IJWH.S427749
- Savina LV, Yaschuk AG, Maslennikov AV, et al. Risk factors of uterus scar insolvency after a c-section operation. International Research Journal. 2022;(6-2):107–112. doi: 10.23670/IRJ.2022.120.6.050 EDN: QGHMGX
- Kafkasli A, Franklin RR, Sauls D. Endometriosis in the uterine wall cesarean section scar. Gynecologic and Obstetric Investigation.1996;42(3):211–213.
- Tanimura S, Funamoto H, Hosono T, et al. New diagnostic criteria and operative strategy for cesarean scar syndrome: Endoscopic repair for secondary infertility caused by cesarean scar defect. J Obstet Gynaecol Res. 2015;41(9):1363–1369. doi: 10.1111/jog.12738
- Donnez O, Donnez J, Orellana R, Dolmans MM. Gynecological and obstetrical outcomes after laparoscopic repair of a cesarean scar defect in a series of 38 women. Fertil Steril. 2017;107(1):289–96.e2. doi: 10.1016/j.fertnstert.2016.09.033
- Tsuji S, Takahashi A, Higuchi A, et al. Pregnancy outcomes after hysteroscopic surgery in women with cesarean scar syndrome. PLoS One. 2020;15(12):e0243421. doi: 10.1371/journal.pone.0243421
- Vuchenovich YuD, Olenev AS, Novikova VA, Radzinsky VE. Cesarean section: border risks and safety. Obstetrics and Gynecology. News. Views. Education. 2019;7(3):93–101. doi: 10.24411/2303-9698-2019-13014 EDN: LXUIEE
- Pachkovskaya OYu, Igitova MB, Dmitrienko KV. Possibilities of natural delivery in women with uterus scar considering perinatal risks. Far Eastern Medical Journal. 2021;(3):58–62. doi: 10.35177/1994-5191-2021-3-58-62 EDN: DNWZCR
- Kuznetsova NB, Ilyasova GM, Bushtyreva IO, et al. Risk factors for vaginal delivery after cesarean section. Akusherstvo i Ginekologiya. 2023;(10):78–85 doi: 10.18565/aig.2023.121 EDN: PVCNUK
Supplementary files








