Ovotesticular disorder of sex development: bilateral ovotestes (clinical case)
- Authors: Levchenko N.E.1, Anurova O.A.2, Filippova T.V.1, Litvinova M.M.1, Slukhanchuk E.V.1, Tkachenko F.D.1, Rubashchenko A.V.1
-
Affiliations:
- The First Sechenov Moscow State Medical University
- National Medical Research Center for Obstetrics, Gynecology and Perinatology named after academician V.I. Kulakov
- Issue: Vol 12, No 1 (2025)
- Pages: 125-135
- Section: Clinical case reports
- Submitted: 31.03.2024
- Accepted: 05.02.2025
- Published: 24.02.2025
- URL: https://archivog.com/2313-8726/article/view/629797
- DOI: https://doi.org/10.17816/aog629797
- ID: 629797
Cite item
Abstract
Ovotesticular disorder of sex development (true hermaphroditism) is a rare form of sex development disorder, accounting for less than 10% of all cases. This condition is characterized by the simultaneous presence of both ovarian and testicular tissue, regardless of karyotype.
This article presents a clinical case of a 61-year-old female patient diagnosed with a disorder of sex development for the first time. During a routine outpatient ultrasound examination, the ovaries appeared enlarged with active blood flow, which was disproportionate to the patient’s age and postmenopausal status. The uterus and cervix were absent. The patient reported primary amenorrhea, no history of pregnancies, and an active sexual life since the age of 20. She had been married since the age of 25 and had never sought medical advice regarding infertility or amenorrhea. Further genetic and cytogenetic analysis revealed a 46,XY karyotype, associated with a high risk of gonadal malignancy. Bilateral adnexectomy was performed. Histological examination confirmed the presence of both ovarian and testicular tissue in the gonads, consistent with a diagnosis of ovotesticular disorder of sex development with bilateral ovotestes. In cases with a 46,XY karyotype, bilateral adnexectomy is indicated due to the significant risk of malignancy.
Full Text
INTRODUCTION
Disorders of sex development (DSD) are a group of congenital conditions characterized by a discrepancy between chromosomal, gonadal, and phenotypic sex. The estimated incidence is 1 in 4,500 newborns [1, 2]. DSDs include ovotesticular disorder of sex development (OT-DSD), otherwise known as true hermaphroditism, in which both male and female gonads are present concurrently. This condition is among the most uncommon forms of DSD (less than 10% of all cases), with an incidence of 1 in 100,000 newborns [3, 4]. In individuals diagnosed with OT-DSD, the karyotype 46,XX is present in 60% of cases; chromosomal mosaicism involving the Y chromosome is observed in 33% of cases, and the 46,XY configuration is identified in 7% of cases [5]. In OT-DSD, the external genitalia are usually abnormal in structure, but may appear as typically male or typically female. The primary diagnostic modality for OT-DSD is histological examination of the gonads to confirm the concurrent presence of ovarian and testicular tissues.
CASE DESCRIPTION
Patient K, female, aged 61 years, had not consulted a gynecologist and had not undergone any screening tests. For the first time, during a routine outpatient ultrasound examination at the age of 61 years, the ovaries appeared enlarged with active blood flow, disproportionate to the patient’s age and postmenopausal status, in the absence of the uterus and cervix. The patient reported primary amenorrhea; no history of pregnancies, and an active sexual life since the age of 20 years. She had been married since the age of 25 years and had never sought medical advice regarding infertility or amenorrhea. Associated diseases include fibroadenomas of both mammary glands and obesity.
A physical examination revealed that the external genitalia were properly developed; the vagina was narrow; the mucosa was of normal color, and the vaginal vault was blind-ended.
According to the transvaginal ultrasound data, the uterus was not visualized; a right ovary measuring 31×44×19 mm, and a left ovary measuring 31×41×27 mm, with three single cystic small inclusions up to 5 mm and active blood flow.
According to the contrast-enhanced pelvic magnetic resonance imaging data, the uterus was not visualized; a right ovary measuring 41×24×19 mm; cystic inclusions measuring 17.14 mm, and left ovary measuring 42×38 mm, with a structure similar to the right ovary. No pelvic lymphadenopathy or abnormal foci in the pelvic bones were observed. The oncological markers were found to be within normal limits.
After a thorough review of the patient’s medical history, physical examination findings, and the results of instrumental and laboratory tests, the patient was suspected of having DSD. Consequently, she was referred to a geneticist for further consultation.
Genetic counseling (Fig. 1) revealed that the proband’s mother had experienced a spontaneous early miscarriage during her first pregnancy. The proband’s mother had been diagnosed with ovarian cancer and died at the age of 77 years, and the proband’s father had been diagnosed with lung cancer and died at the age of 65 years. According to the proband, the parents resided in a chemically polluted area. A review of the maternal family history revealed that the grandmother had type 2 diabetes mellitus and died at the age of 81 years, whereas the grandfather had arachnoiditis and died at the age of 54 years. The paternal family history was not documented.
Fig. 1. Patient’s Pedigree
Based on the history, clinical and genealogical analysis, clinical and phenotypic examination, and laboratory tests, the patient was given a preliminary diagnosis of testicular feminization syndrome, which should be distinguished from sex inversion syndromes of types 1–9 (Table 1).
Table 1. Genetic spectrum of 46,ХY sex reversal disorders
Condition | Gene | OMIM | Inheritance type | Key phenotypic characteristics |
46,XY sex reversal, type 1 | SRY | Y-linked | Female phenotype, secondary sexual characteristics develop in a female pattern, uterus and fallopian tubes are normally developed or hypoplastic, dysgenetic ovaries lacking follicles Karyotype: 46,XY | |
46,XY sex reversal, type 2 | NR0B1 | X-linked | Female external genitalia, small or hypoplastic uterus, gonadal dysgenesis | |
46,XY sex reversal, type 3 | NR5A1 | Autosomal dominant Autosomal dominant | External genitalia may be male (hypospadias, testes located in the pelvis, gonadal histology reveals fibrotic tissue without germ cells) or female (hypertrophied clitoris, small hypoplastic uterus). Low testosterone, elevated LH and FSH. Karyotype: 46,XY | |
46,XY sex reversal, type 4 | 9p24.3 deletion, candidate genes: DMRT1, DMRT2 | — | Short stature, trigonocephaly, flat nasal bridge, micrognathia, low-set small ears, high-arched palate. External genitalia may be male (micropenis, hypospadias, small testes) or female (hypoplastic labia majora, normal or rudimentary uterus). Karyotype: 46,XY | |
46,XY sex reversal, type 5 | CBX2 | Autosomal recessive | Female external genitalia, normal uterus and cervix, normal ovaries with primordial follicles. Undetectable anti-Müllerian hormone, elevated FSH, normal LH, low testosterone, normal cortisol. Karyotype: 46,XY | |
46,XY sex reversal, type 6 | MAP3K1 | Autosomal dominant | Tall stature, external genitalia may be male (hypospadias, gonadal dysgenesis) or female (enlarged clitoris, normal or hypoplastic uterus, normal fallopian tubes, hypoplastic ovaries). Sparse body hair, hirsutism. Some cases show a fully female phenotype with normal external genitalia. Karyotype: 46,XY | |
46,XY sex reversal, type 7 | DHH | Autosomal recessive | Female external genitalia, hypoplastic uterus, presence of fallopian tubes, possible epididymis, hypoplastic ovaries, risk of ovarian malignancy. Associated with muscle weakness, skin abnormalities, and sensorimotor polyneuropathy. Karyotype: 46,XY | |
46,XY sex reversal, type 8 | AKR1C2 AKR1C4 | Autosomal recessive | External genitalia may be male or ambiguous. Cryptorchidism, testicular tissue capable of testosterone production. Rare cases may have rudimentary Müllerian structures. Karyotype: 46,XY | |
46,XY sex reversal, type 9 | ZFPM2 | Autosomal dominant | Ambiguous genitalia, hypertrophy of the labia majora, fused labia minora, rudimentary vaginal cavity, hypoplastic uterus. Some patients may have learning disabilities, autism, and speech disorders. Karyotype: 46,XY |
To further clarify the diagnosis, a cytogenetic test was performed, during which 30 metaphase plates were analyzed, and the resulting karyotype was found to be 46,XY, which is indicative of a male subject.
The diagnostic techniques revealed a genetic abnormality, identified as 46,XY DSD (chromosome 9 inversion). Such patients are recommended to undergo molecular genetic testing to search for pathogenic variants in the AR gene, which is responsible for the development of testicular feminization syndrome, characterized by X-linked recessive inheritance. DNA testing searching for mutations in the AR gene is useful if the proband has female siblings, and they are planning to have children, since the patient’s mother could be a carrier of a pathogenic variant in the AR gene. In the present study, such testing was inappropriate.
After further examination, the patient was admitted to the Clinical Hospital No. 4 of the Sechenov University (Moscow) for scheduled surgery, which included laparoscopy and bilateral adnexectomy.
Intraoperative findings included the absence of the uterus, the presence of two rudimentary, blind-ended fallopian tubes in the appendage projection, and enlarged, dense ovaries measuring up to 4 cm on both the right and left sides, with no evidence of functional activity.
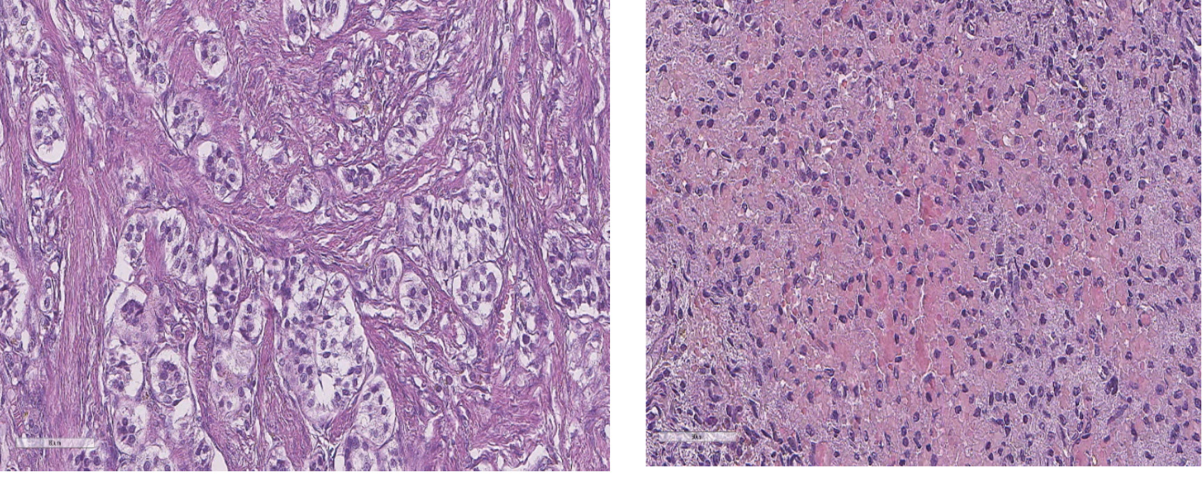
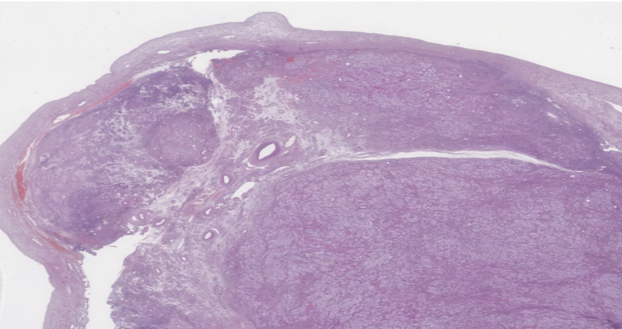
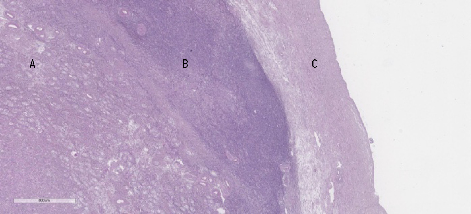
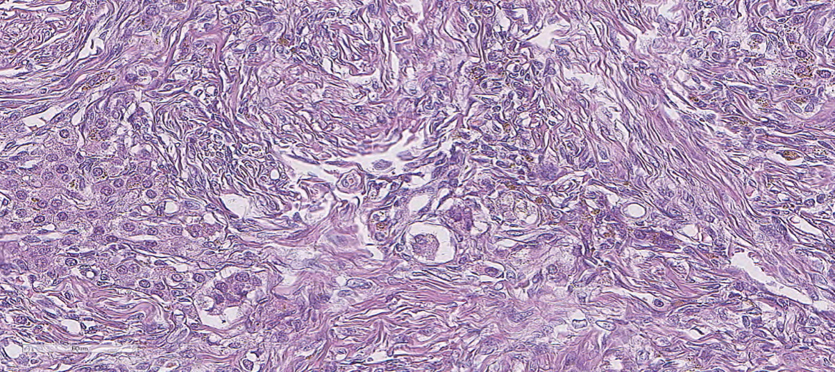
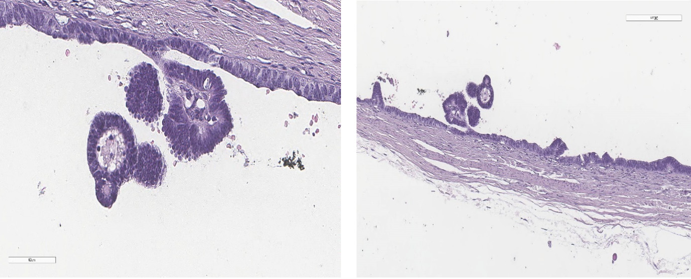
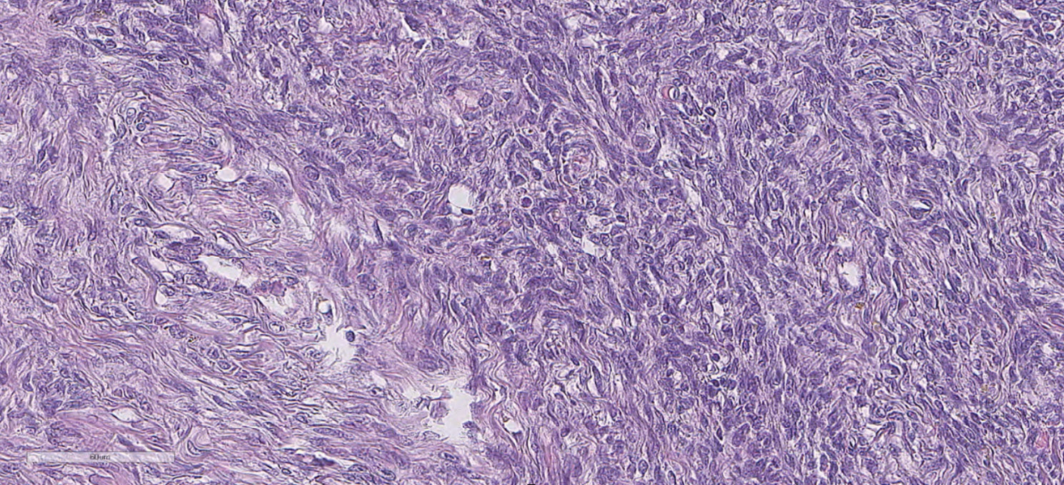
A histological examination of the excised appendages (see Fig. 2–9) revealed the concurrent presence of ovarian stroma and testicular tissue, consisting of tubules lined with Sertoli cells devoid of atypia and spermatogenesis, surrounded by Leydig cells. This finding suggests the presence of bilateral ovotestes. Fallopian tubes exhibited signs of hypoplasia, manifesting as a polycystic mass lined by a single layer of flattened tubal epithelium.
Fig. 2. Right uterine adnexa. Fragments of the ovotestis composed predominantly of testicular tissue (A) with a lobulated structure and ovarian stroma (B), enclosed within a thick tunica albuginea (C). Hematoxylin and eosin staining, ×800
Fig. 3. Ovarian component of the ovotestis, consisting of fibroblasts. Hematoxylin and eosin staining, ×60
Fig. 4. Testicular component of the ovotestis, composed of seminiferous tubules lined with Sertoli cells without atypia and without spermatogenesis, along with areas of Leydig cells. Hematoxylin and eosin staining, ×60
Fig. 5. Right fallopian tube with features of hypoplasia, presenting as a polycystic structure lined by a single layer of flattened tubal epithelium. Hematoxylin and eosin staining, ×6
Fig. 6. Left uterine adnexa. Fragments of the ovotestis consisting predominantly of lobulated testicular tissue and ovarian stroma, enclosed within a thick tunica albuginea. Hematoxylin and eosin staining, ×6
Fig. 7. Ovarian component of the ovotestis, composed of fibroblasts with clusters of Leydig cells at the border with the testicular component. Hematoxylin and eosin staining, ×60
Fig. 8. Testicular component of the ovotestis, composed of seminiferous tubules lined with Sertoli cells without atypia and without spermatogenesis (A), surrounded by Leydig cells (B). Hematoxylin and eosin staining, ×200, ×60
Fig. 9. Left fallopian tube with features of hypoplasia, presenting as a cystic structure lined by a single-layered tubal epithelium with occasional epithelial projections. Hematoxylin and eosin staining, ×200, ×60
Based on the histological and cytogenetic data, OT-DSD (true hermaphroditism) with bilateral ovotestes was diagnosed.
DISCUSSION
OT-DSD is a rare form of DSD characterized by the simultaneous presence of both male and female gonads in an individual, regardless of karyotype. In 90% of cases, ambiguous genitalia are present at birth, whereas in the remaining cases, the external genitalia exhibit the typical structure of either a male or a female [6]. Other manifestations may include hematuria, gynecomastia, abdominal pain, primary amenorrhea, and infertility. The diagnosis of OT-DSD is typically made during the neonatal period, in cases where atypical genitalia are observed, or in adolescence, when the primary complaint may be, for instance, the absence of menarche in patients with female-type external genitalia. The diagnosis is based on the histological examination of the gonads, which confirms the simultaneous presence of two types of tissue: ovarian and testicular.
There are several variations in the combination and position of ovarian and testicular tissues:
- Lateral: testis and a contralateral ovary (30% of cases).
- Bilateral: both testicular and ovarian tissues, usually represented by an ovotestis that is identified on both sides (50% of cases).
- Unilateral: ovotestis on one side and a testis or ovary on the other side (20% of cases) [7, 8].
Ovotestis, a gonad consisting of ovarian and testicular tissues that externally appears as a globular structure, develops most frequently in individuals with OT-DSD [5, 9, 10]. Ganie et al. [11] conducted a comprehensive analysis of 111 cases of OT-DSD in South Africa. Based on histological studies of the interposition of ovarian and testicular tissues in ovotestis, three distinct types were distinguished (Fig. 10):
Fig. 10. Types of ovotestes
(1) mixed type, in which the outer layer consists of ovarian tissue of varying thickness; the inner layer consists of stroma with scattered foci of testicular and ovarian tissue;
(2) compartmentalized type, in which the entire upper part of the gonad consists of ovarian tissue; the lower part consists of a cluster of testicular tissue;
(3) bipolar type, in which there is a strictly polar arrangement of ovarian and testicular tissue.
The ratio of testicular to ovarian tissue in the ovotestis affects their anatomical location, with 50% of ovotestes located in the peritoneal cavity, 25% in the inguinal region, and the remaining 25% in the labioscrotal folds [12].
Testicular tissue is usually poorly developed and may be represented by immature seminiferous tubules lined with Sertoli cells and containing spermatogonia. Leydig cells may be present. Ovarian tissue is usually more developed. Patients with OT-DSD have menstruation in 50% of cases, and pregnancies and successful deliveries have been reported [13].
In individuals with OT-DSD, a karyotype of 46,XX is determined in 60% of cases, 46,XY in 7%, and chromosomal mosaicism with Y chromosome in 33%. The presence of Y chromosome is detected mainly in patients without ovotestis. Molecular testing has shown that in 10% of cases of OT-DSD with a 46,XX karyotype, the SRY gene may be detected, leading to the development of male gonads. Furthermore, latent mosaicism on the Y chromosome or Y sequences in patients with a 46,XX karyotype and point mutations in the SRY gene in individuals with a 46,XY karyotype have been postulated as potential etiologies of abnormal gonads [14].
The presence of the Y chromosome in the karyotype of individuals with DSDs has been associated with an increased risk of gonadal malignancy and the development of germ cell tumors, including gonadoblastoma, seminoma, dysgerminoma, cystadenoma, and teratoma. Consequently, prophylactic gonadectomy is recommended for these patients [15, 16].
OT-DSD is most frequently diagnosed during the neonatal period or in early childhood, particularly when abnormal gonads develop [17]. However, diagnosis may be delayed in some cases due to mild symptoms, poor social conditions, or limited access to well-qualified specialists in respective fields. This may lead to adverse consequences, including the development of cancer [18, 19].
A multidisciplinary approach involving gynecologists, andrologists, urologists, geneticists, psychologists, and endocrinologists is required to determine the most appropriate strategy for managing and treating patients with OT-DSD [9, 20].
CONCLUSION
The present study demonstrates a rare clinical case of OT-DSD. The diagnosis is based on histological confirmation of the simultaneous presence of ovarian and testicular tissue in an individual, regardless of karyotype. If the karyotype is 46,XY, bilateral oophorectomy is indicated due to the high risk of malignancy.
ADDITIONAL INFORMATION
Authors’ contribution. N.E. Levchenko: primary contribution to the study conception, manuscript preparation, and full responsibility for all aspects of clinical case management; E.V. Sluhanchuk, F.D. Tkachenko, A.V. Rubashchenko: participation in study conception and manuscript preparation; O.A. Anurova, T.V. Filippova, M.M. Litvinova: involvement in patient management, data collection, and case description. All authors confirm that their authorship meets the international ICMJE criteria (all authors made a substantial contribution to the conception of the work, acquisition, analysis, interpretation of data for the work, drafting and revising the work, final approval of the version to be published and agree to be accountable for all aspects of the work).
Consent for publication. Written consent was obtained from the patient for publication of relevant medical information and all accompanying images within the manuscript.
Funding source. This study was not supported by any external sources of funding.
Disclosure of interest. The authors declares that there are no obvious and potential conflicts of interest associated with the publication of this article.
About the authors
Natalia E. Levchenko
The First Sechenov Moscow State Medical University
Email: levchenko_n_e@staff.sechenov.ru
ORCID iD: 0009-0003-6056-1838
SPIN-code: 9905-3077
MD, Dr. Sci. (Medicine), Professor
Russian Federation, 8 Trubetskaya st, bldg 2, Moscow, 119991Olga A. Anurova
National Medical Research Center for Obstetrics, Gynecology and Perinatology named after academician V.I. Kulakov
Email: anurovao@mail.ru
ORCID iD: 0000-0003-2547-4846
MD, Cand. Sci. (Medicine), Assistant Professor
Russian Federation, MoscowTamara V. Filippova
The First Sechenov Moscow State Medical University
Email: filippova_t_v@staff.sechenov.ru
ORCID iD: 0000-0002-6812-9615
SPIN-code: 7206-6947
MD, Dr. Sci. (Medicine), Professor
Russian Federation, 8 Trubetskaya st, bldg 2, Moscow, 119991Maria M. Litvinova
The First Sechenov Moscow State Medical University
Email: Litvinova_m_m@staff.sechenov.ru
ORCID iD: 0000-0002-1863-3768
SPIN-code: 3771-4894
MD, Cand. Sci. (Medicine), Assistant Professor
Russian Federation, 8 Trubetskaya st, bldg 2, Moscow, 119991Ekaterina V. Slukhanchuk
The First Sechenov Moscow State Medical University
Email: ekaterina@ginekologhirurg.ru
ORCID iD: 0000-0001-7441-2778
SPIN-code: 7423-8944
MD, Cand. Sci. (Medicine), Assistant Professor
Russian Federation, 8 Trubetskaya st, bldg 2, Moscow, 119991Fеdor D. Tkachenko
The First Sechenov Moscow State Medical University
Email: tckachencko.fyodor2016@yandex.ru
ORCID iD: 0009-0009-6219-844X
Student
Russian Federation, 8 Trubetskaya st, bldg 2, Moscow, 119991Alina V. Rubashchenko
The First Sechenov Moscow State Medical University
Author for correspondence.
Email: rubaline@yandex.ru
ORCID iD: 0009-0004-9505-5772
Student
Russian Federation, 8 Trubetskaya st, bldg 2, Moscow, 119991References
- Hughes IA, Houk C, Ahmed SF, et al. Consensus statement on management of intersex disorders. J Pediatr Urol. 2006;2(3):148–162. doi: 10.1016/j.jpurol.2006.03.004
- Diamond DA, Yu RN. Sexual differentiation: normal and abnormal. In: Wein AJ, Kavoussi LR, Novick AC, et al, editors. Campbell-Walsh urology. Philadelphia, PA: Elsevier; 2014. P. 3613–3614.
- Blackless M, Charuvastra A, Derryck A, et al. How sexually dimorphic are we? Review and synthesis. Am J Hum Biol. 2000;12(2):151–166. doi: 10.1002/(SICI)1520-6300(200003/04)12:2<151::AID-AJHB1>3.0.CO;2-F
- Krstić ZD, Smoljanić Z, Vukanić D, et al. True hermaphroditism: 10 years’ experience. Pediatr Surg Int. 2000;16(8):580–583. doi: 10.1007/s003830000415
- Krob G, Braun A, Kuhnle U. True hermaphroditism: geographical distribution, clinical findings, chromosomes and gonadal histology. Eur J Pediatr. 1994;153(1):2–10. doi: 10.1007/BF02000779
- Sultan C, Paris F, Jeandel C, et al. Ambiguous genitalia in the newborn. Semin Reprod Med. 2002;20(3):181–188. doi: 10.1055/s-2002-35382
- Iqbal MZ, Jam MR, Saleem M, Ahmad M. True hermaphrodite: a case report. APSP J Case Rep. 2011;2(2):16.
- Hughes W, Erickson CC, Fleischmann W, Etteldorf JN. True hermaphroditism; report of a case. J Pediatr. 1958;52(6):662–669. doi: 10.1016/s0022-3476(58)80264-4
- Mao Y, Chen S, Wang R, et al. Evaluation and treatment for ovotesticular disorder of sex development (OT-DSD) — experience based on a Chinese series. BMC Urol. 2017;17(1):21. doi: 10.1186/s12894-017-0212-8
- Ganie Y, Aldous C, Balakrishna Y, Wiersma R. The spectrum of ovotesticular disorders of sex development in South Africa: a single-centre experience. Horm Res Paediatr. 2017;87(5):307–314. doi: 10.1159/000466693
- Ganie Y, Aldous C, Balakrishna Y, Wiersma R. Disorders of sex development in children in KwaZulu-Natal Durban South Africa: 20-year experience in a tertiary centre. J Pediatr Endocrinol Metab. 2017;30(1):11–18. doi: 10.1515/jpem-2016-0152
- Vilain E. The genetics of ovotesticular disorders of sex development. Adv Exp Med Biol. 2011;707:105–106. doi: 10.1007/978-1-4419-8002-1_22
- Bayraktar Z. Potential autofertility in true hermaphrodites. J Matern Fetal Neonatal Med. 2018;31(4):542–547. doi: 10.1080/14767058.2017.1291619
- Queipo G, Zenteno JC, Peña R, et al. Molecular analysis in true hermaphroditism: demonstration of low-level hidden mosaicism for Y-derived sequences in 46,XX cases. Hum Genet. 2002;111(3):278–283. doi: 10.1007/s00439-002-0772-9
- Pleskacova J, Hersmus R, Oosterhuis JW, et al. Tumor risk in disorders of sex development. Sex Dev. 2010;4(4-5):259–269. doi: 10.1159/000314536
- Abaci A, Çatli G, Berberoğlu M. Gonadal malignancy risk and prophylactic gonadectomy in disorders of sexual development. J Pediatr Endocrinol Metab. 2015;28(9-10):1019–1027. doi: 10.1515/jpem-2014-0522
- Sircili MH, Denes FT, Costa EM, et al. Long-term followup of a large cohort of patients with ovotesticular disorder of sex development. J Urol. 2014;191(5 Suppl):1532–1536. doi: 10.1016/j.juro.2013.10.037
- Khare M, Gupta MK, Airun A, et al. A case of true hemaphroditism presenting with dysgerminoma. J Clin Diagn Res. 2017;11(11):ED07–ED09. doi: 10.7860/JCDR/2017/31134/10911
- Chen CQ, Liu Z, Lu YS, et al. True hermaphroditism with dysgerminoma: a case report. Medicine (Baltimore). 2020;99(22):e20472. doi: 10.1097/MD.0000000000020472
- Meenal B, Meenakshi G, Pratibha S, et al. 46 XY ovotesticular disorder: a rare case report with review of literature. Gynecol Minim Invasive Ther. 2021;10(3):171–173. doi: 10.4103/GMIT.GMIT_107_19
Supplementary files













