Pregnancy vomiting obscuring other disease: a clinical case of Wernicke encephalopathy
- Authors: Sinayskaya E.A.1, Zemlina N.S.1, Murashko A.V.1, Zinovieva O.E.1, Prokhorov D.E.1
-
Affiliations:
- I.M. Sechenov First Moscow State Medical University
- Issue: Vol 11, No 4 (2024)
- Pages: 490-498
- Section: Clinical case reports
- Submitted: 29.03.2024
- Accepted: 24.04.2024
- Published: 22.12.2024
- URL: https://archivog.com/2313-8726/article/view/629574
- DOI: https://doi.org/10.17816/aog629574
- ID: 629574
Cite item
Abstract
The article presents a clinical case of Wernicke encephalopathy occurring as complication of excessive pregnancy-related vomiting (hyperemesis gravidarum). This disorder has developed due to thiamine (vitamin B1) deficiency. The correct diagnosis is challenging due to the similarity of clinical manifestations with several other disorders. Timely diagnosis and early treatment reduce the risk of severe course and irreversible complications that can lead to the potentially adverse outcome. This case is remarkable due to the appearance of the disease in a 32-year-old pregnant woman with excessive vomiting. The patient demonstrated the classic symptom triad found in only 16% of patients with Wernicke encephalopathy. Primarily ataxia and nystagmus appeared, and later memory impairment with confabulations was recorded. Magnetic resonance imaging of the brain revealed bilateral symmetrical areas with increased MR signal intensity in T2 (SE and FLAIR) sequences in the mediodorsal nucleus (MD) of thalamus, subependymal microglia of the III ventricle, and periaqueductal gray. The treatment of Wernicke encephalopathy was immediately initiated with the use of intravenous thiamine 200 mg 3 times daily. The beneficial treatment effect was reported. Further pregnancy proceeded unremarkably and resulted in the birth of a live term girl. During the postpartum period, the patient reported persisting instability when walking, which increased with closed eyes, and non-systemic dizziness.
Full Text
BACKGROUND
Gestosis is one of the most common reasons for seeking medical attention. It occurs in the first trimester of gestation in 50–90% of pregnant women [1–3]. The gestosis progression may be accompanied by hyperemesis gravidarum (severe nausea and vomiting of pregnancy), a severe form of gestosis that affects 1.5% to 3.0% of pregnant women [4]. Severe gestosis is characterized by weight loss of more than 5% of pre-pregnancy weight (regardless of pre-pregnancy body mass index), electrolyte imbalance, dehydration, and ketones in the urine not attributable to causes other than pregnancy. Complications of hyperemesis gravidarum (HG) include Wernicke’s encephalopathy, hyponatremia, hypokalemia, hypoglycemia, kidney failure, central pontine and extrapontine myelinolysis, stroke, deep vein thrombosis, pulmonary embolism, seizures, coagulopathy, esophageal rupture or perforation, pancreatitis, pneumothorax, pneumomediastinum, rhabdomyolysis, vitamin K deficiency and coagulopathy, depression, and post-traumatic stress disorder [5]. The progression of excessive vomiting in pregnancy increases the risk of major obstetric syndromes, with a 2-fold increase in the rate of pre-eclampsia, a 3-fold increase in the rate of placental abruption, and a 40% increase in the risk of fetal growth retardation [6]. Unlike mild-moderate nausea and vomiting of pregnancy, which is a common, unpleasant, symptom of early pregnancy, excessive vomiting in pregnancy can cause significant physical and psychological morbidity, and have a profound effect on quality of life [7].
This article presents a case report of the Wernicke’s encephalopathy as an HG complication. Wernicke’s encephalopathy is an acute neuropsychiatric syndrome resulting from thiamine (vitamin B1) deficiency. This disease is clinically characterized by the classic triad of nystagmus, ataxia, and confusion [5].
CASE DESCRIPTION
Patient K, a 32-year-old multiparous pregnant woman, presented to the Department of Obstetric Pathology of the Snegirev Obstetrics and Gynecology Clinic of the Sechenov Center for Maternity and Childhood at 13–14 weeks of gestation with complaints of severe fatigue, nausea, vomiting up to 10 times a day, dizziness, weight loss of 16 kg (16.5% of initial body weight) within 2 months. At admission, the patient was diagnosed with 13-14-week pregnancy and moderate vomiting of pregnancy. Anamnesis morbi: The patient had been vomiting five times a day since Week 6 of gestation, which was accompanied with nausea and fatigue. The patient was admitted to the City Clinical Hospital (11–15 April 2022) with the diagnosis of 6–7-week pregnancy and moderate vomiting of pregnancy. The patient was discharged with no improvement. At weeks 9–10 of gestation, she visited the day clinic of the City Clinical Hospital (4–17 May 2022), where she received infusion therapy and metoclopramide, but the treatment had no effect. Due to deterioration of her health, she was again admitted to the City Clinical Hospital (17–23 May 2022) with the diagnosis of 11–12-week pregnancy and moderate vomiting of pregnancy. The overall health status was of moderate severity. The patient’s weight loss was 14 kg. The examination showed hypokalemia (K+ 3.0 mmol/L), hyponatremia (Na+ 133 mmol/L), a decrease in total plasma protein to 60 g/L, elevated liver transaminases (AST 36 IU/mL, ALT 63 IU/mL), and ketonuria. Consultation with a neurologist revealed no cerebral or focal neurological symptoms. Abdominal ultrasound on 17 May 2022 showed echo signs of moderate diffuse changes in the pancreatic parenchyma and gallbladder sludge. Electrocardiography on 17 May 2022 showed the sinus rhythm and the horizontal position of the electrical cardiac axis. Esophagogastroduodenoscopy on 18 May 2022 showed superficial reflux esophagitis, cardia insufficiency, indirect signs of gastroesophageal hernia, focal superficial gastritis, and duodenogastric reflux. Infusion therapy with sterofundin, saline, metoclopramide, ondansetron hydrochloride resulted in positive changes.
The patient had a history of chronic tonsillitis, chronic maxillary sinusitis, laparotomy and appendectomy in 1998 and surgical drainage of the right breast abscess in 2019. Menstrual history was normal. Gynecological history included laparoscopy in 2018 and dissection of pelvic adhesions. The first pregnancy was in 2019 with term delivery at 40 weeks; the baby was healthy and weighed 3,650 g. The pregnancy was accompanied by mild toxicosis. The second trimester was complicated by gestational diabetes. The second (current) pregnancy in 2022 was spontaneous.
At admission, the patient’s overall health status was of moderate severity. The skin and visible mucous membranes were pale with skin turgor decreased. Blood pressure was 105/72 mmHg, pulse was 86 beats per minute. Breathing was vesicular with no wheezing. Heart tones were clear and regular. The abdomen was soft and non-tender. No swelling was observed. Bowel and bladder functions were normal.
At admission, a complete blood count was normal: red blood cells (RBC) 4.4×1012 g/L, hematocrit 31.8%, platelets 222×109 g/L, white blood cells (WBC) 8.4×109 g/L. In urine, ketones were 3+. Blood chemistry was as follows: elevated liver transaminases AST 37 U/L and ALT 48 U/L, hypokalemia (K+ 3.4 mmol/L), other parameters were normal (glucose 4.4 mmol/L, total protein 62 g/L, Na+ 135 mmol/L).
Infusion therapy was initiated with Ringer’s solution 400.0 intravenous (IV) drip, saline solution 1,000.0 IV drip, sodium bicarbonate 200.0 IV drip, metoclopramide 4.0 intramuscular (IM). On the morning of 31 May 2022, urinalysis showed no ketones. During the therapy, nausea, fatigue, dizziness, and vomiting up to three times a day persisted; the patient was adynamic and cooperated poorly. Follow-up laboratory tests were as follows: complete blood count on 02 June 2022 showed no changes; urynalysis showed ketones +; elevated liver transaminases AST 61 U/L and AST 37 U/L, hypokalemia (K+ 3.4 mmol/L), hyponatremia (Na+ 136 mmol/L). In a blood coagulation test, ADP-induced platelet aggregation was 74%. Due to the risk of venous thrombotic complications (score of 6), anticoagulant therapy with low-molecular-weight heparins (enoxaparin sodium 40 mg subcutaneously) was added. Liver enzymes continued to increase: ALT 90 U/L, AST 46 U/L, decrease in K+ 3.0 mmol/L and Na+ 133 mmol/L. Potassium supplements (Asparcam) and hepatoprotectors (Heptral) were added. During the therapy, vomiting decreased to once daily, and complaints of severe fatigue and non-rotatory dizziness persisted. On day 9, systematic complaints of dizziness, nausea, and vomiting caused by head and body rotation were reported. Consultation with a neurologist on 8 June 2022 revealed horizontal nystagmus on lateral gaze and positive symptoms of oral automatism. Tendon reflexes were mildly brisk and symmetrical in the arms and legs. Benign paroxysmal positional vertigo associated with previous electrolyte imbalance was considered the most likely diagnosis.
Infusion therapy (0.9% saline 1000.0), hepatoprotective and anticoagulant therapy, and electrolyte replacement therapy were continued. On day 14 (13 June 2022), a neurologist was called due to complaints of increased rotatory vertigo, nausea, and fatigue. The patient’s neurological status deteriorated to stupor. She was disoriented to place and time: she could not clearly name the month and date and the name of the clinic where she had been admitted. No meningeal signs were reported. Cranial nerves III showed limited movement on right gaze, cranial nerves VIII showed central nystagmus on lateral and upward/downward gazes. No paresis was reported. Muscle tone was low. Therefore, the patient had cerebral and focal neurological symptoms. Vertebrobasilar stroke (Wernicke’s encephalopathy?) could not be ruled out.
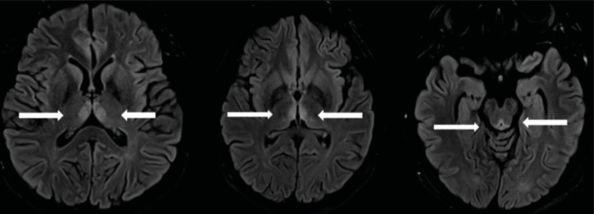
Brain magnetic resonance imaging (MRI) was performed on 14 June 2022 using T1- and T2-weighted FSE and SE protocols, FLAIR, DWI, SWI sequences. Midline structures were not shifted. Bilateral symmetrical areas of hyperintensity in T2 (SE and FLAIR) pulse sequences were observed in the dorsomedial thalamic nuclei and subependymal regions of the third ventricle and periaqueductal gray matter (Figure 1). The MRI findings could be considered in the context of Wernicke’s encephalopathy. No data suggestive of stroke were obtained.
Fig. 1. Magnetic resonance imaging of the brain (Patient K.) (cross-sectional image at the level of the III ventricle and mediodorsal nucleus of thalamus): the arrows indicate symmetrical MR signal enhancement.
A follow-up consultation with a neurologist on 14 June 2022 confirmed the diagnosis of Wernicke’s encephalopathy. Thiamine was recommended at 200 mg three times a day intravenously.
A follow-up visit to a neurologist revealed no active complaints. Neurological status revealed fine horizontal nystagmus on lateral gaze, vertical nystagmus on upward gaze, and positive symptoms of oral automatism. No paresis was observed. Tendon reflexes were brisk and symmetrical. No abnormal signs were observed. Coordination tests such as the heel-to-shin test and the finger-nose test were satisfactory. The Romberg test with eyes closed showed increased body sway to the left. Superficial sensation was not impaired. Muscular sense and foot vibration sense were reduced. Memory disorders and confabulations improved (according to the patient’s mother). The patient was treated with thiamine at 600 mg/day, then it was recommended to reduce thiamine dose to 200 mg/day and then continue its oral use. She was discharged home on day 25 with a diagnosis of 17–18-week pregnancy and Wernicke’s encephalopathy.
Delivery was at term by cesarean section. A live full-term girl (3,300 g, 53 cm) was born. In the postpartum period, dizziness and unsteady gait persisted, the latter worsened with eyes closed.
DISCUSSION
Wernicke’s encephalopathy was first described in 1881 by the German psychoneurologist Carl Wernicke as «superior acute hemorrhagic poliencephalitis» [8] due to thiamine deficiency caused by alcohol dependence in most cases (400/434, 92.2%). Non-alcoholic causes include malnutrition, uncontrollable vomiting and diarrhea (including gestosis), nervous anorexia, chronic inflammatory diseases of the gastrointestinal tract and their surgical treatment (e.g. bariatric surgery), systemic diseases, multiple organ failure, hemodialysis, long-term treatment with furosemide, etc. [9, 10].
Thiamine (vitamin B1) is an essential water-soluble vitamin that plays an important role in metabolic and physiological processes. The body accumulates 25–30 mg of thiamine. Thiamine storage is depleted in all tissues within 2–3 weeks [10, 11]. Thiamine is stored in the body in several forms: free thiamine, thiamine monophosphate, thiamine diphosphate (thiamine pyrophosphate), and thiamine triphosphate. Approximately 80% of total body thiamine is in the form of thiamine pyrophosphate (ThPP). ThPP is an active metabolite that serves as an important cofactor for several enzyme complexes involved in energy metabolism, particularly carbohydrate and amino acid metabolism. These enzymes include pyruvate dehydrogenase, ketoglutarate dehydrogenase, branched chain ketoacid dehydrogenase, transketolase, and 2-hydroxyacyl-CoA lyase (α-oxidation of phytanic acid in peroxisomes) [11]. In the cytosol, ThPP acts as a cofactor for transketolase, which is required for the synthesis of nucleic acid precursors, myelin, and neurotransmitters (such as acetylcholine, glutamate, and gamma-aminobutyric acid), as well as for antioxidant defense. Transketolase is an enzyme of the non-oxidative branch of the Pentose Phosphate Pathway that synthesizes nicotinamide adenine dinucleotide phosphate and ribose 5-phosphate. The key role of ribose 5-phosphate in nucleic acid synthesis suggests that highly proliferating tissues are dependent on thiamine. Therefore, thiamine deficiency leads to oxidative stress, decreased cell proliferation, and reduced fatty acid synthesis (especially myelin), which can have severe effects on the brain tissue [11]. Following the astrocytes, neurons develop cytotoxic and vasogenic edema, the integrity of the blood-brain barrier is disrupted, and local petechial hemorrhages occur in brain areas that are specifically vulnerable to thiamine deficiency [9]. In mitochondria, ThPP is a cofactor for three different complexes. The pyruvate dehydrogenase complex is required for the oxidative decarboxylation of pyruvate to acetyl-CoA, which enters the Krebs cycle. In thiamine deficiency, pyruvate is converted to lactate. Lactate accumulation can lead to a life-threatening metabolic acidosis, as well as peripheral and central neuropathies and seizure syndrome. The alpha-ketoglutarate dehydrogenase complex catalyzes the formation of succinyl-CoA and reduces nicotinamide adenine dinucleotide. Thiamine deficiency reduces energy production, disrupts oxidative metabolism, and causes glutamate build-up, leading to neurodegenerative excitotoxicity [9, 11]. The branched chain alpha-ketodehydrogenase complex is involved in the metabolism of valine, leucine, and isoleucine. These three essential amino acids are used in protein synthesis and are the source of nitrogen for glutamate synthesis. Insufficient thiamine intake reduces the metabolism of these amino acids, leading to the accumulation of branched chain keto acids and subsequent metabolic dysfunction, including dyslipidemia [11].
The classic triad of nystagmus, ataxia, and memory impairment with confabulation is present in only 16% of patients with Wernicke’s encephalopathy, 44% of patients have one or two of these symptoms, while 19% have none [4]. Approximately 29% of patients may develop nystagmus, ophthalmoparesis, and gaze paresis due to involvement of the pontine tegmentum, oculomotor and abducens nerve nuclei. A sluggish pupillary light reflex and anisocoria may also be observed. Wernicke’s encephalopathy is characterized by visual disturbances with optic disc swelling, sometimes with retinal hemorrhages. Ataxia with gait disturbance and truncal ataxia are observed in 23% of patients, and some have limb ataxia and dysarthria. Involvement of the thalamus and mammillary bodies results in confusion or psychomotor agitation, behavioral disorders that mimic acute psychotic disorder [8]. Other symptoms of thiamine deficiency include loss of appetite, dizziness, tachycardia, and urinary retention due to anticholinergic autonomic dysfunction [9], hypothermia due to posterior hypothalamic involvement, and seizures caused by extracellular glutamate build-up [8]. If the body thiamine stores are not timely replenished and the thiamine deficiency worsens, Wernicke’s encephalopathy progresses to a potentially fatal Korsakov syndrome in more than 80% of cases [12].
The sensitivity of MRI in detecting Wernicke’s encephalopathy is 53%. However, the high specificity of 93% allows using MRI for the diagnosis of Wernicke encephalopathy. In Wernicke’s encephalopathy, brain MRI usually shows areas of bilateral symmetrical hyperintensity in T2 mode and decreased signal in T1 mode, as well as diffuse lesions around the aqueduct, third and fourth ventricles, midline of the cerebellum, and paraventricular regions of the thalamus, hypothalamus, and mammillary bodies [8].
Prompt parenteral administration of thiamine is the main treatment option for early signs and symptoms of Wernicke’s encephalopathy. There are currently no consensus clinical guidelines for the treatment and prevention of Wernicke’s encephalopathy with thiamine. The European Federation of Neurological Societies (EFNS) suggests a dose of 200 mg of intravenous thiamine 3 times a day until symptoms resolve [13].
CONCLUSION
Management of pregnancy with HG requires vigilance for clinical signs of Wernicke’s encephalopathy due to thiamine deficiency in order to diagnose and improve symptoms in time to prevent fatal complications.
ADDITIONAL INFO
Authors’ contributions. E.A. Sinayskaya reviewed the literature, collected and analyzed literature sources, prepared and wrote the manuscript; N.S. Zemlina reviewed, followed-up and manageed the patients, reviewed the literature, collected and analyzed literature sources, wrote and edited the manuscript; A.V. Murashko reviewed the literature, collected and analyzed literature sources, wrote and edited the manuscript; O.E. Zinovieva reviewed the study, reviewed the literature, collected and analyzed literature sources, wrote and edited the manuscript; D.E. Prokhorov reviewed the study, reviewed the literature, collected and analyzed the literature sources, wrote and edited the manuscript. All authors confirm that their authorship meets the international ICMJE criteria (all authors have made a significant contribution to the development of the concept, research and preparation of the article, read and approved the final version before publication).
Funding source. This study was not supported by any external sources of funding.
Competing interests. The authors declare that they have no competing interests.
Consent for publication. Written consent was obtained from the patient for publication of relevant medical information and all of accompanying images within the manuscript.
About the authors
Ekaterina A. Sinayskaya
I.M. Sechenov First Moscow State Medical University
Author for correspondence.
Email: sinayskaya.28@gmail.com
ORCID iD: 0009-0003-7232-7408
Natalya S. Zemlina
I.M. Sechenov First Moscow State Medical University
Email: zemlina_n_s@staff.sechenov.ru
ORCID iD: 0000-0001-6393-9961
SPIN-code: 7667-2482
Assistant
Russian Federation, MoscowAndrey V. Murashko
I.M. Sechenov First Moscow State Medical University
Email: murashkoa@mail.ru
ORCID iD: 0000-0003-0663-2909
SPIN-code: 2841-9638
MD, Dr. Sci. (Medicine), Professor
Russian Federation, MoscowOlga E. Zinovieva
I.M. Sechenov First Moscow State Medical University
Email: zinoveva_o_e@staff.sechenov.ru
ORCID iD: 0000-0001-5937-9463
SPIN-code: 6378-5608
MD, Dr. Sci. (Medicine), Professor
Russian Federation, MoscowDmitry E. Prokhorov
I.M. Sechenov First Moscow State Medical University
Email: dm_prokhorov@mail.ru
ORCID iD: 0000-0001-7149-726X
SPIN-code: 6847-2440
Neurologist
Russian Federation, MoscowReferences
- Iupatov EYu, Filyushina AV. Early toxicosis: a review of current data. Medical Council. 2022;16(5):96–103. EDN: DXHPYJ doi: 10.21518/2079-701X-2022-16-5-96-103
- Rakhmanova TKh, Isenova SSh, Svyatova GS, Egle M. Modern view on the etiology of excessive vomiting of pregnant women. Newsletter of KazNMU. 2020;(3):7–12. EDN: PIVQXU
- Thomson M, Corbin R, Leung L. Effects of ginger for nausea and vomiting in early pregnancy: a meta-analysis. J Am Board Fam Med. 2014;27(1):115–122. doi: 10.3122/jabfm.2014.01.130167
- Miriam E. Gestational malnutrition, hyperemesis gravidarum, and Wernicke’s encephalopathy: What is missing? Nutr Clin Pract. 2022;37(6):1273–1290. doi: 10.1002/ncp.10913
- Popa S, Barsan M, Caziuc A, et al. Lifethreatening complications of hyperemesis gravidarum. Exp Ther Med. 2021;21(6). doi: 10.3892/etm.2021.10074
- Bolin M, Åkerud H, Cnattingius S, et al. Hyperemesis gravidarum and risks of placental dysfunction disorders: A population-based cohort study. BJOG. 2013;120(5):541–547. doi: 10.1111/1471-0528.12132
- Dean CR, Bruin CM, O’Hara ME, et al. The chance of recurrence of hyperemesis gravidarum: A systematic review. Eur J Obstet Gynecol Reprod Biol X. 2020;5:100105. doi: 10.1016/j.eurox.2019.100105
- Sechi G, Serra A. Wernicke’s encephalopathy: new clinical settings and recent advances in diagnosis and management. Lancet Neurol. 2007;6(5):442–455. doi: 10.1016/S1474-4422(07)70104-7
- Wijnia JW. A clinician’s view of Wernicke-Korsakoff syndrome. J Clin Med. 2022;11(22):6755. doi: 10.3390/jcm11226755
- Grigoryeva VN, Guzanova EV, Muchin VV. Wernicke’s encephalopathy, central pontine myelinolysis and polyneuropathy in the patients with indomitable vomiting of pregnant (hyperemesis gravidarum). Neurological Journal. 2016;21(3):131–141. EDN: WMWJBD
- Kareem O, Nisar S, Tanvir M, et al. Thiamine deficiency in pregnancy and lactation: implications and present perspectives. Front Nutr. 2023;10:1080611. doi: 10.3389/fnut.2023.1080611
- Sivolap YuP, Damulin IV. Wernicke–Korsakoff syndrome. Neurology, Neuropsychiatry, Psychosomatics. 2014;6(4):76–80. EDN: TCVOXZ doi: 10.14412/2074-2711-2014-4-76-80
- Galvin R, Bråthen G, Ivashynka A, et al. EFNS guidelines for diagnosis, therapy and prevention of Wernicke encephalopathy. Eur J Neurol. 2010;17(12):1408–1418. doi: 10.1111/j.1468-1331.2010.03153.x
Supplementary files




