Clinical experience with postpartum treatment of a patient with arteriovenous malformation of uterine vessels
- Authors: Busygina L.A.1, Serova O.F.2, Garaeva L.R.1, Bakhtiyarov K.R.1, Isaev A.К.1, Barinova I.V.3, Abdullazhonov A.O.1
-
Affiliations:
- Zhukovskaya City Clinical Hospital
- Moscow Regional Perinatal Center
- Moscow Regional Research Institute of Obstetrics and Gynecology
- Issue: Vol 10, No 4 (2023)
- Pages: 317-323
- Section: Clinical case reports
- Submitted: 16.12.2023
- Accepted: 16.12.2023
- Published: 19.12.2023
- URL: https://archivog.com/2313-8726/article/view/624733
- DOI: https://doi.org/10.17816/2313-8726-2023-10-4-317-323
- ID: 624733
Cite item
Full Text
Abstract
Uterine arteriovenous malformation is a rare vascular dysplasia where the uterine veins communicate with the branches of arteries of varying calibers. Patient K., a 37-years-old patient, presented with genital tract bleeding. Her medical history included operative labor at 37 weeks with dichorionic diamniotic twins, with the placental site on the posterior uterine wall exhibited firm attachment. The uterine cavity walls were scraped, and the bleeding vessel in the placental site was sutured. The blood loss amounted to 750 mL, and reinfusion was conducted. Fourteen days after giving birth, a heavy bloody discharge with blood clots from the genital tract occurred. The blood tests revealed no abnormalities. Echography detected multiple tubular structures that were anechoic on the posterior wall of the uterus, from the endometrium to the serosa, with the CDC mode blood flow. Magnetic resonance angiography revealed hypervascularization with premature arteriovenous discharge. Superselective embolization was performed on uterine artery afferents, and complete blood flow reduction was achieved, leading to the cessation of bleeding. On postoperative day 17, the patient experienced considerable bloody discharge from the genital tract, causing the hemoglobin level to decrease to 88 g/L. The presence of an arteriovenous malformation in the uterine vessels accompanied by ineffective embolization necessitated uterine extirpation. The postoperative phase was uneventful, and the patient was discharged from the hospital in satisfactory condition, with no evidence of anemia (hemoglobin, 115 g/L).
Full Text
ВВЕДЕНИЕ
Артериовенозная мальформация (АВМ) матки ― дисплазия сосудов в виде коммуникации маточных вен с ветвями артерий разного диаметра из бассейнов внутренних подвздошный артерий, это редчайшая патология, и в мировой литературе описано менее 150 таких случаев [1].
АВМ матки может быть врождённой или приобретённой [2, 3]. Врождённая форма встречается очень редко и возникает в результате нарушения дифференцировки эмбриональных сосудов вследствие воздействия неблагоприятных факторов на организм матери. Приобретённые АВМ матки представляют собой артериовенозные шунты между интрамуральными артериальными ветвями маточной артерии и венозными сплетениями внутри матки. Эта патология возникает в результате травматического повреждения эндо- и миометрия (многочисленные выскабливания стенок полости матки, кесарево сечение, консервативная миомэктомия и т. д.).
«Золотой стандарт» диагностики АВМ матки ― ангиография. Этот инвазивный метод позволяет подтвердить диагноз и идентифицировать основные питающие сосуды, что необходимо знать в случае применения эмболизации маточных артерий в качестве варианта лечения. Магнитно-резонансная томография (МРТ) с контрастированием обеспечивает детальную визуализацию анатомии и взаимосвязи АВМ матки с окружающими структурами, позволяет оценить питающие сосуды [4, 5].
В настоящее время предпочтительным диагностическим инструментом для АВМ матки стало ультразвуковое исследование (УЗИ) ввиду неинвазивности, экономической выгодности метода, отсутствия необходимости подготовки. С помощью УЗИ сосудистую мальформацию матки выявляют уже на первом этапе обследования пациентки. Допплерометрия служит существенным дополнением к сонографии и цветовому допплеровскому картированию (ЦДК) [6].
Существуют разные варианты лечения данной патологии ― от органосохраняющей операции до радикальной (экстирпация матки). Единого мнения о лучшем методе лечения АВМ матки нет. Лечение зависит от выраженности кровотечения: в случаях лёгкой и умеренной кровопотери, разрешения эпизода кровотечения или если кровотечение является длительным, но невыраженным, первичным методом выбора лечения должен быть консервативный в течение максимального периода 3–6 месяцев. Если регресса АВМ не происходит, используют хирургические методы. Эмболизация маточных артерий считается предпочтительным видом лечения при АВМ, особенно у молодых женщин, желающих сохранить фертильность.
КЛИНИЧЕСКОЕ НАБЛЮДЕНИЕ
Пациентка К., 37 лет, находилась на стационарном лечении в гинекологическом отделении Жуковской ОКБ с 06.04.2023 г. по 14.04.2023 г.
История заболевания. Жалобы на обильные кровянистые выделения из половых путей беспокоят с ночи 05.04.2023 г. В анамнезе первичное бесплодие, мужской фактор. Беременность 1-я, наступила при ЭКО, на сроке 28 недель по поводу резус-отрицательной крови производилось введение антирезусного иммуноглобулина. Беременность протекала с явлениями угрожающего выкидыша, в связи с чем пациентка дважды находилась на стационарном лечении.
20.03.2023 г. произошли 1-е своевременные оперативные роды путём операции кесарева сечения на сроке 37 недель дихориальной диамниотической двойней. Родилась живая доношенная девочка массой 2440 г, рост 48 см, 8–9 баллов по шкале Апгар, и живой доношенный мальчик массой 2580 г, рост 50 см, 8–8 баллов по шкале Апгар. Послед отделён и удалён потягиванием за пуповину. Плацентарная площадка располагалась по задней стенке матки, где определялся участок плотного прикрепления плаценты, по поводу чего выполнено выскабливание стенок полости матки. Кровоточащие сосуды плацентарной площадки ушиты отдельными швами викрилом № 2.
Интраоперационная кровопотеря составила 750 мл, выполнена реинфузия аутоэритроцитов 250 мл. Пациентке внутримышечно ввели антирезусный иммуноглобулин КамРОУ 1500 МЕ/мл (однократно) .
Послеоперационный период осложнился гематометрой, в связи с чем на 4-е сутки без осложнений выполнена аспирация содержимого полости матки.
На 6-е сутки пациентка в удовлетворительном состоянии выписана из родильного стационара совместно с детьми домой под наблюдение врача женской консультации.
На 14-е сутки после родов в 23:30 начались обильные кровянистые выделения со сгустками из половых путей, пациентка доставлена бригадой скорой медицинской помощи в Жуковскую ОКБ.
Проведённое пациентке обследование показало: в клиническом анализе крови ― гемоглобин 123 г/л, тромбоциты 244×109/л, лейкоциты 7,91×109/л. Коагулограмма и биохимический анализ крови в пределах нормы.
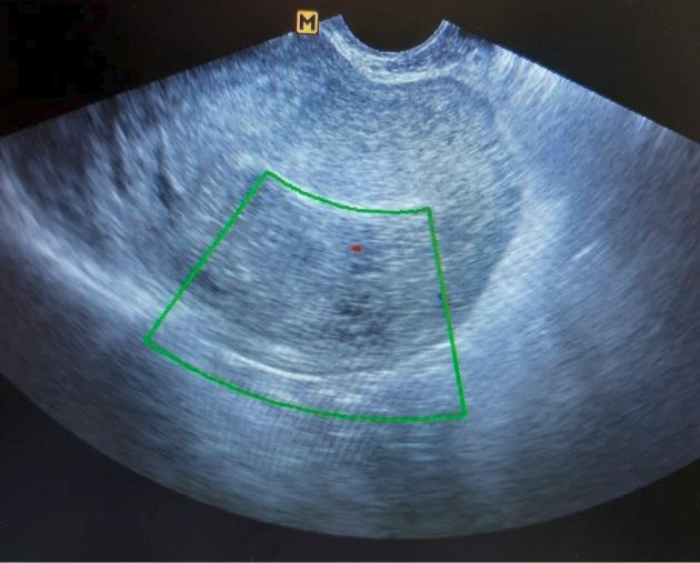
При УЗИ органов малого таза (рис. 1) тело матки размерами 82,7×67,8×85,1 мм. М-эхо 11 мм, неоднородной структуры. Обращало на себя внимание наличие множественных трубчатых анэхогенных структур по задней стенке матки, расположенных от эндометрия до серозного слоя, в режиме ЦДК регистрировали кровоток. Данная картина более характерна для АВМ матки. Правый яичник расположен типично, размерами 30,2×25×23,6 мм, с единичными фолликулами диаметром 3–5 мм. Левый яичник также расположен типично, размерами 31,2×24,5×24,1 мм, с единичными фолликулами диаметром 3–4 мм. Заключение: УЗ-картина может соответствовать АВМ матки.
Рис. 1. Ультразвуковая картина артериовенозной мальформации матки.
Fig. 1. Ultrasound picture of arteriovenous malformation of the uterus.
Учитывая жалобы на кровянистые выделения из половых путей, данные анамнеза, гинекологического исследования, результат УЗИ органов малого таза, начата гемостатическая, утеротоническая, инфузионно-трансфузионная терапия.
Для подтверждения диагноза, уточнения размеров и границ предполагаемой АВМ матки и определения тактики ведения выполнена магнитно-резонансная (МР) ангиография матки с контрастным усилением. Доступом через лучевую артерию катетеризировали правую и левую внутренние подвздошные артерии. При селективной ангиографии из маточных артерий выявили признаки гиперваскуляризации с преждевременным артериовенозным сбросом, больше справа (рис. 2).
Рис. 2. Контрастирование артериовенозной мальформации (выделена цветом) из правой (а) и левой (b) маточной артерии.
Fig. 2. Contrast of arteriovenous malformation (highlighted in color) from the right (a) and left (b) uterine artery.
Выполнена суперселективная эмболизация афферентов из правой маточной артерии эмболами 900–1200 мкм. Отмечается полная редукция кровотока по правой маточной артерии (рис. 3, a). Далее выполнили суперселективную эмболизацию афферентов из левой маточной артерии эмболами 900–1200 мкм. Отмечается полная редукция кровотока по левой маточной артерии (рис. 3, b).
Рис. 3. Результаты суперселективной эмболизации афферентов из правой (a) и левой (b) маточной артерии.
Fig. 3. Results of superselective embolization of afferents from the right (a) and left (b) uterine arteries.
В результате проведённой эмболизации кровотечение прекратилось.
На 17-е сутки после операции у пациентки появились обильные кровяные выделения из половых путей, показатели гемоглобина снизились до 88 г/л. Учитывая повторное кровотечение, наличие АВМ сосудов матки, неэффективность эмболизации маточных артерий, выполнена экстирпация матки.
При макроскопическом осмотре матки (рис. 4) установлено: размеры её 15×10×5 см, масса около 300 г. Наружная поверхность гладкая, однородная. В нижнем сегменте со стороны периметрия рыхлая ткань размерами 2,0×1,5 см, толщина стенки матки до 2,0 см, полость расширена. В проекции тела ― поверхность эндометрия представлена плотно-эластическими бугристыми буро-коричневыми массами (плацентарная площадка) на протяжении 7,5×4,0 см, не отделяемыми от поверхности. В подлежащем миометрии определяется сеть расширенных и тромбированных сосудов от 0,1 до 0,8 см, максимальная глубина которых достигает 0,6–1,0 см. Сосуды меньшего диаметра округлой или щелевидной формы до 0,6 см определяются в глубоких слоях миометрия ― 1,5–2,0 см. Толщина миометрия в области плацентарной площадки минимум 1,0 см, максимум 1,8 см. Шейка матки уплощённо-цилиндрической формы, «сплющенная», влагалищная часть белесоватая, шеечный канал расширен до 0,6 см, слизистая шероховатая.
Рис. 4. Макропрепарат артериовенозной мальформации сосудов матки.
Fig. 4. Macropreparation of arteriovenous malformation of uterine vessels.
При гистологическом исследовании матки с интактным эндометрием определяются уплощённые пролиферирующие железы с низкой секреторной активностью. При исследовании плацентарной площадки на поверхности эндометрия видна отграниченная зона фибриноидного некроза, распространяющаяся на стенки варикозно-расширенных тромбированных сосудов артериовенозного типа, выполненных сладжированными эритроцитами. Поверхностные и глубокие слои миометрия с гипертрофированными волокнами, паретично расширенными разновеликими сосудами, в просвете которых тромбы красного типа, отдельные с явлениями организации и инволюции. В отдельных полях зрения определяются паретично расширенные («зияющие») сосуды с уплощённым эндометрием. В зоне рубца ― участки плацентарной ткани с уплощённым эндометрием. Шейка матки ― расширенные шеечные железы с уплощённым эндометрием. Патоморфология шейки матки без патологических изменений.
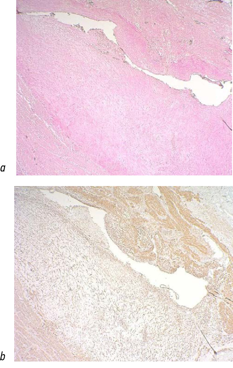
Выполнено иммуногистохимическое исследование операционного материала (рис. 5).
Рис. 5. Патологически изменённый сосуд венозного типа в подслизистых отделах миометрия и регенерирующей слизистой тела матки (×25): а ― вена с утолщённой стенкой, представленной преимущественно фиброзной тканью (окраска по Ван Гизону); b ― в утолщённой нижней части вены хаотично расположенные актин-позитивные гладкомышечные клетки, в тонкой верхней части – гладкомышечные волокна миометрия; иммуногистохимическая реакция с антителами к альфа-гладкомышечному актину.
Fig. 5. Pathologically altered venous-type vessel in the submucosal parts of the myometrium and regenerating mucosa of the uterine body (×25): a ― a vein with a thickened wall, represented mainly by fibrous tissue (Van Gieson coloration); b ― randomly located actin-positive smooth muscle cells in the thickened lower part of the vein, smooth muscle fibers of the myometrium in the thin upper part; immunohistochemical reaction with antibodies to alpha-smooth muscle actin.
В микропрепаратах послеродовой матки (17-е сутки после первых срочных оперативных родов дихориальной двойней) определяются крупнокалиберные толстостенные сосуды венозного типа во всех слоях миометрия, включая подслизистый слой и регенерирующий эндометрий. В последнем эти сосуды формируют конгломерат из кавернозно-расширенных, тромбированных полостей с тромбами разной давности и признаками их организации, в поверхностных отделах с обширными некрозами, включая стенки сосудов, распадом и инфильтрацией нейтрофилами. Стенки вен миометрия неравномерной толщины ― с подушкообразными утолщениями, местами резко истончены, представлены преимущественно фиброзной тканью (Ван Гизон), в утолщённых участках с хаотично расположенными актин-позитивными и десмин-негативными гладкомышечными волокнами, внутренняя поверхность сосудов выстлана эндотелием. В регенерирующей слизистой тела матки определяются устья этих вен и фрагменты их стенок с участками деструкции.
Структурные особенности вен стенки матки соответствуют сосудистой мальформации с отсутствием инволюции патологически изменённых сосудов, субинволюцией матки (толщина миометрия 0,7–1,8 см). Микроскопически эти патологические изменения имели вид «плюс-ткани» в зоне плацентарной площадки на задней стенке тела матки и зияющих округлых дефектов слизистой оболочки тела матки.
Послеоперационный период протекал без осложнений, пациентка выписана из стационара в удовлетворительном состоянии без признаков анемии (гемоглобин 115 г/л).
ЗАКЛЮЧЕНИЕ
Таким образом, благодаря современному ультразвуковому оборудованию и высокой квалификации специалистов, АВМ матки заподозрили уже на первом этапе обследования пациентки. Очень важно обращать внимание на сочетание клинических данных и результатов УЗИ органов малого таза, своевременно проводить ангиографию для уточнения диагноза и определения оптимальной тактики ведения. Описанные клинические симптомы и данные эхографии, с учётом анамнеза, должны настораживать врачей в плане этот редчайшей патологии.
ДОПОЛНИТЕЛЬНО
Вклад авторов. Все авторы внесли существенный вклад в проведение исследования и подготовку статьи, прочли и одобрили финальную версию перед публикацией.
Финансирование. Авторы заявляют об отсутствии внешнего финансирования при проведении исследования.
Конфликт интересов. Авторы декларируют отсутствие явных и потенциальных конфликтов интересов, связанных с публикацией настоящей статьи.
Информированное согласие на публикацию. Пациентка подписала документ о добровольном информированном согласии на обработку персональных данных и публикацию её медицинских данных.
ADDITIONAL INFORMATION
Author contribution. All authors made a substantial contribution to the conception of the work, acquisition, analysis, interpretation of data for the work, drafting and revising the work, final approval of the version to be published and agree to be accountable for all aspects of the work.
Funding source. This study was not supported by any external sources of funding.
Competing interests. The authors declare that there are no obvious and potential conflicts of interest associated with the publication of this article.
Consent for publication. The patient signed a document of voluntary informed consent to the processing of personal data and the publication of her medical data.
About the authors
Liliya A. Busygina
Zhukovskaya City Clinical Hospital
Email: busyginala@mosreg.ru
ORCID iD: 0009-0003-8085-7863
Chief Medical Officer
Russian Federation, Zhukovsky, Moscow RegionOl’ga F. Serova
Moscow Regional Perinatal Center
Email: mopc02@mail.ru
ORCID iD: 0000-0002-4088-4619
MD, Dr. Sci. (Med.), Professor
Russian Federation, Balashikha, Moscow RegionLiliya R. Garaeva
Zhukovskaya City Clinical Hospital
Email: garaevlil@mail.ru
ORCID iD: 0009-0003-2318-1377
MD, Cand. Sci. (Med.)
Russian Federation, Zhukovsky, Moscow RegionKamil’ R. Bakhtiyarov
Zhukovskaya City Clinical Hospital
Email: doctorbah@mail.ru
ORCID iD: 0000-0002-3176-5589
MD, Dr. Sci. (Med.), Professor
Russian Federation, Zhukovsky, Moscow RegionAbdurahman К. Isaev
Zhukovskaya City Clinical Hospital
Author for correspondence.
Email: isaev.doc@mail.ru
ORCID iD: 0009-0000-9520-9357
MD, Dr. Sci. (Med.), Head of the Department
Russian Federation, Zhukovsky, Moscow RegionIrina V. Barinova
Moscow Regional Research Institute of Obstetrics and Gynecology
Email: mz_moniiag@mosreg.ru
ORCID iD: 0000-0003-0447-1734
MD, Dr. Sci. (Med.)
Russian Federation, MoscowAbror O. Abdullazhonov
Zhukovskaya City Clinical Hospital
Email: abror.abdullajono96@mail.ru
ORCID iD: 0009-0009-7612-8725
Doctor, Endovascular Surgeon
Russian Federation, Zhukovsky, Moscow RegionReferences
- Acien P, Acien MH, Sánchez-Ferrer M. Complex malformations of the female genital tract. New types and revision of classification. Hum Reprod. 2004;19(10):2377–2384. doi: 10.1093/humrep/deh423
- Beller U, Rosen RJ, Beckman EM, Markoff G, Berenstein A. Congenital arteriovenous malformation of the female pelvis: a gynecological perspective. Am J Obstet Gynecol. 1988;159(5):1153–1160. doi: 10.1016/0002
- Kasznica J, Nissar N. Congenital vascular malformation of the uterus in stillborn: a case report. Hum Pathol. 1995;26(2):240–241. doi: 10.1016/0046
- Aiyappan SK, Ranga U, Veeraiyan S. Doppler sonography and 3D CT angiography of acquired uterine arteriovenous malformations (AVMs): report of two cases. J Clin Diagn Res. 2014;8(2):187–189. doi: 10.7860/JCDR/2014/6499.4056
- Lin AC, Hung YC, Huang LC, Chiu TH, Ho M. Successful treatment of uterine arteriovenous malformation with percutaneous embolization. Taiwan J Obstet. Gynecol. 2007;46(1):60–63. doi: 10.1016/S1028
- Valenzano M, Foglia G, Tedeschi C, Paoletti R, Fulcheri E. Color Doppler sonography of uterine arteriovenous malformation. J Clin Ultrasound. 2000;28(3):146–149. doi: 10.1002/(sici)1097
Supplementary files







