Current possibilities of ultrasonography in diagnosing local spread of endometrial cancer
- Authors: Zuzieva K.B.1, Mitina L.A.1, Vostrov A.N.1, Mukhtarulina S.V.1, Stepanov S.O.1
-
Affiliations:
- P.A. Herzen Moscow Cancer Research Institute ― branch of the «National Medical Center of Radiology»
- Issue: Vol 10, No 4 (2023)
- Pages: 277-285
- Section: Original study articles
- Submitted: 29.09.2023
- Published: 19.12.2023
- URL: https://archivog.com/2313-8726/article/view/597144
- DOI: https://doi.org/10.17816/2313-8726-2023-10-4-277-285
- ID: 597144
Cite item
Abstract
Background. The incidence of oncologic pathology in the female reproductive system is continually rising, highlighting the importance of finding new methods for early and precise diagnosis. This study aimed to determine the invasion depth of endometrial cancer through contrast-enhanced ultrasonography.
Materials and methods. The study included 38 patients who were confirmed to have endometrial cancer. All patients underwent complex ultrasound examinations in real-time and grayscale mode. The qualitative assessment of vascularization in color and energy Doppler mapping modes was performed using contrast enhancement with the assessment of qualitative and quantitative parameters of contrast.
Results. The results were compared with histological examination results from postoperative materials. The study identified contrasting qualitative parameters that are most indicative of endometrial cancer and quantitative parameters that are statistically significant and reliably distinguished the myometrium affected by the tumor from the unaffected myometrium (including peak intensity, time to peak intensity, and contrast half-life).
Conclusions. Contrast enhancement increases the effectiveness of comprehensive ultrasonography in determining the invasion depth of endometrial cancer.
Full Text
BACKGROUND
Uterine cancer ranks fourth in Russia among the main cohort of patients with malignant diseases (7.1%), following breast cancer, skin melanoma, and prostate cancer [1]. According to the 2020 data, uterine body tumors (endometrial cancer in 90% of cases) are the second most common malignant gynecological tumors worldwide, after cervical cancer. Moreover, over the past 10 years, there has been a steady increase in the incidence of this pathology, especially in developed countries. Thus, endometrial cancer incidence in Russia increased from 148.4 per 100 thousand population in 2012 to 195.6 in 2022, i.e. by 47.2 cases per 100 thousand population [1]. This is partly due not to a real increase in the number of cases of the disease but to improvements in modern diagnostic capabilities. Along with the increase in incidence, the overall survival rate of patients with endometrial cancer increases. This is also due to the improvement in the quality of medical care provided to the population, including the continuous development of early diagnostic methods [1, 2].
In recent decades, ultrasound (US) diagnostic methods have been actively used to identify intrauterine pathology [3]. Ultrasound examination using transabdominal and transvaginal approaches is a non-invasive, easy-to-perform, and highly informative method for primary diagnosis and clarification of uterine cancer [4]. Considering that endometrial cancer, like any other malignant neoplasm, is accompanied by changes in blood flow at the site of pathology, namely, the phenomena of neovascularization, ultrasound methods based on assessing differences in the degree of blood supply in healthy and pathologically changed tissues are becoming widespread [3].
One such technique is contrast-enhanced ultrasound (CEUS). Clinically, this method is usually used in the diagnosis of focal liver lesions. The use of this method in diagnosing extrahepatic pathology is increasingly widespread; however, currently, there is no recommended clinical gynecological use [5]. In the Russian and international literature available, there are studies on the use of this technique in diagnosing various pathologies of the pelvic organs in female patients, including in the diagnostics of malignant and benign endometrial pathology [6–14]. Furthermore, a study conducted in our center has analyzed the combination of contrast enhancement with the administration of fluid into the uterine cavity when assessing the depth of invasion of endometrial cancer, the so-called double contrast method [15]. However, the potential of CEUS in assessing the local extent of endometrial cancer remains poorly understood.
Thus, the relevance of early and most accurate diagnostics of endometrial cancer is obvious. All of the above requires further study of the capabilities of the CEUS method in the diagnosis of endometrial cancer.
This study aimed to determine the depth of invasion of endometrial cancer using CEUS. Thus, in the Department of Ultrasound Diagnostics of the P.A. Herzen Moscow Scientific Research Institute, a branch of the National Medical Research Center of Radiology, an ultrasound examination with contrast enhancement and subsequent assessment of quantitative and qualitative contrast parameters was performed.
MATERIALS AND METHODS
The study involved 38 female patients aged 35–81 years with stages T1A–T1B endometrial cancer who were hospitalized in the Department of Gynecological Oncology of the P.A. Hertsen Moscow Oncology Research Institute from September 2018 to June 2020 for surgical treatment. After several attempts at ultrasound contrast, patients with signs of severe endometriosis and multiple fibroid nodes were excluded from the study. The lack of information in their study was because of the peculiarities of vascularization, which led to a pronounced contrasting of the myometrium with endometriosis and fibroid nodes and the difficulty in determining the tumor boundaries.
Of the 38 patients in the study group, 22 (57.9%) were in the reproductive period, and 16 (42.1%) were in the menopausal period. In all patients, the diagnosis was morphologically verified at the preoperative stage with final stage determination after surgical treatment.
All patients underwent pelvic US using transabdominal (3.5 MHz convex probe) and transvaginal access (7 MHz intracavitary probe) on an Epiq 7 device (Philips, the Netherlands). A standard study of the pelvis was performed in grayscale and real-time mode and in color (CDM) and energy (EDM) Doppler mapping modes, namely, endometrial thickness, structure, degree of tumor spread to the myometrium, and outer contour of the area of pathological changes. A qualitative assessment of tumor vascularization degree was conducted. The data of the measurements (M-echo thickness, structure, degree of invasion into the myometrium in B-mode, and vascularization) were recorded in the study protocol for comparison with the results of CEUS and histological examination of the surgical material.
To conduct a contrast study, we used the agent SonoVue, approved in Russia (Bracco, Geneva, Switzerland), which consists of microbubbles of sulfur hexafluoride surrounded by a thin layer of phospholipids and palmitic acid, allowing the bubbles to withstand several passes through the pulmonary capillaries. Unlike contrast agents for magnetic resonance imaging and computed tomography, SonoVue does not leave the vascular bed, does not induce side effects characteristic of these agents, and is completely eliminated from the body through exhaled air through the lungs. The microbubble size of the contrast agent is <8 micrometers (µm) to ensure the absence of capillary embolization [16, 17].
The drug was administered using a 20-G cannula before the start of the US examination. A stabilized microbubble suspension of the drug was administered intravenously at a concentration of 8 μl/ml (45 μg/ml) immediately after the administration of 5 ml of 0.9% isotonic NaCl solution, followed by the administration of an additional 5 ml of the same solution to rinse the cannula. The typical dose was 2.5 ml. Simultaneous with the administration of the contrast agent, the study was recorded in the form of a cine loop. Quality contrast indicators were assessed in real-time. Then, a quantitative analysis of the resulting cine loop was performed using QLab software (Philips, the Netherlands). When working in the post-processing program, the region of interest function was used, where areas of the healthy myometrium and sites of the myometrium involved in the tumor process, equal in size and distance to the ultrasound sensor, were marked as regions of interest.
The examination results of all patients were compared with the data of the pathomorphological report.
The following contrast parameters were assessed:
- Qualitative
1) clarity of tumor contours;
2) homogeneity of tumor contrast;
3) intensity of tumor contrast in the arterial phase compared with contrast in the intact myometrium;
4) intensity of tumor contrast in the venous phase compared with contrast in the intact myometrium;
5) time of appearance of the contrast agent in the tumor, assessed visually by the doctor;
6) time of washing out the contrast agent from the tumor, assessed visually;
7) the rate of entry and washout of the contrast agent compared with healthy myometrium.
- Quantitative (calculated by software)
1) time of entry of the contrast agent (AT, arrivalTime), s;
2) time to peak intensity (TTP, timetopeak), s;
3) peak intensity (PI), dB;
4) half-life of the contrast agent (DT/2), s.
RESULTS
Histological examination revealed endometrioid adenocarcinoma with varying degrees of malignancy in all patients. Thus, a high degree of differentiation was observed in 13 (34.2%) cases, moderately differentiated adenocarcinoma in 8 (21.1%), and poorly differentiated adenocarcinoma in 17 (44.7%). The M-echo thickness varied from 10 mm to 49 mm (the M-echo thickness was 10–20 mm in 17 (44.7%) patients and 21–49 mm in 21 (55.3%) patients).
Ultrasound examination of all patients revealed signs of tumor invasion into the myometrium of varying severity. In real-time and grayscale studies, invasion was assessed using echographic features described in the literature [3, 18–21]. The most common ones were as follows:
- impairment of the integrity of the halo around the mucous membrane of the uterine cavity (29, or 76.3% patients);
- sharp thinning and disappearance of the normal image of myometrial tissue (24, or 63.2% patients);
- unclear and uneven boundary between the tumor and myometrium in a local area or throughout its entire length with the appearance of a scalloped edge of the median uterine echo in these areas (31, or 81.6% patients).
The tumor itself in real-time and gray scale was characterized by a predominantly homogeneous hyperechoic structure (22, or 57.9% patients); in 16 (42.1%) women, the presence of hypoechoic areas without clear contours was detected, and in 4 (10.5%) of them, single anechoic inclusions corresponding to areas of necrosis were revealed. In addition, in 7 (18.4%) cases, fluid was detected in the uterine cavity of the serosometra, hematometra type, with a cavity thickness of 2–5 mm. When visually assessing the degree of blood supply in the CDM mode, a significant increase in blood flow in the tumor compared with that in the intact myometrium was determined in 4 (10.5%) cases.
Based on data obtained from standard real-time and grayscale US, invasion into the myometrium less than 1/2 of its thickness was detected in 18 (47.4%) patients, and more than 1/2 of its thickness without signs of propagation to the serous membrane of the uterus was detected in 20 (52.6%) patients. In 32 (84.2%) patients, the results of standard US in determining the depth of invasion coincided with the results of a morphological study of postoperative material. In 6 (15.8%) patients, real-time and grayscale modes revealed a depth of invasion of less than 1/2 the myometrium thickness, whereas histological examination diagnosed T1B.
Moreover, when assessing the qualitative and quantitative characteristics of contrast enhancement during CEUS, the determination of the depth of invasion coincided with the conclusion of the histological examination of the postoperative material in all 38 patients (true positive cases).
According to our study data (Tables 1 and 2), qualitative signs of contrast enhancement for endometrial cancer are homogeneous contrasting (71.1%), isocontrasting in the arterial phase (81.6%), and hypocontrasting in the venous phase (76.3 %), predominantly simultaneous entry of contrast agent compared with the intact myometrium (79.0%) and its earlier washout (71.1%) (Figs. 1 and 2). The time of the contrast agent entry into the site of endometrial formation, assessed visually by a specialist, varied from 8 s to 24 s from the start of the study (average, 15.16 s; median, 14.5 s).
Table 1. Characteristics of qualitative signs of contrast
Signs | Options | |||
Boundaries of formation | Clear | Indistinct | ||
19 (50%) | 19 (50%) | |||
Contrast homogeneity | Homogeneous | Inhomogeneous | ||
27 (71.1%) | 11 (29.0%) | |||
Contrast intensity: in the arterial phase | Uncontrast | Hypercontrast | Isocontrast | Hypocontrast |
– | 7 (18.4%) | 31 (81.6%) | – | |
in the venous phase | – | 3 (7.9%) | 6 (15.8%) | 29 (76.3%) |
Table 2. Qualitative assessment of the time of receipt and washout of the contrast agent
Indicator | Median | Standard deviation | Average value | min. | max. |
Time of entry, s | 14.5 | 4.33 | 15.16 | 8 | 24 |
Time of washout, s | 48.5 | 18.45 | 53.84 | 32 | 127 |
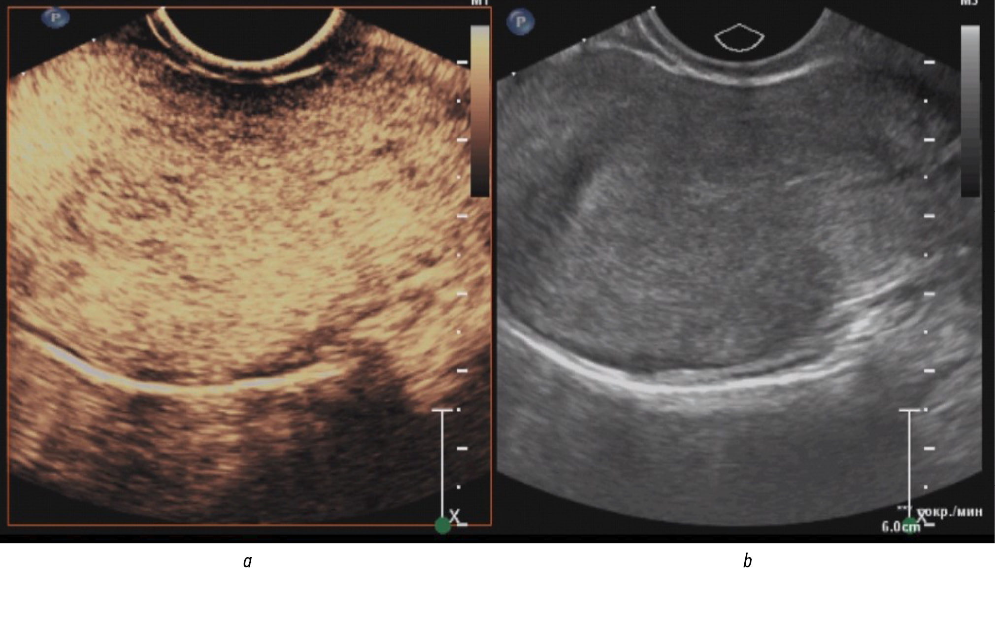
Fig. 1. Arterial phase of contrast in endometrial cancer (homogeneous iso contrast without clear contours): a ― in contrast mode; b ― in the gray scale mode.
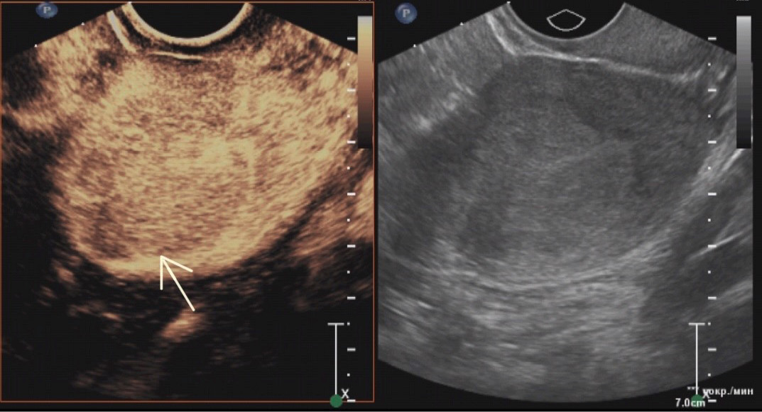
Fig. 2. Venous phase of contrast in endometrial cancer (hypocontrasting due to earlier leaching of contrast from the tumor compared to intact myometrium): a ― in contrast mode, the arrow shows the contour of the tumor; b ― in the gray scale mode.
The washout time of the contrast agent ranged from 32 to 127 s, the mean value was 48.5 s, and the median was 53.84 s. Tumor contours were distinct in half (50%) of the cases.
When comparing the quantitative characteristics of contrast, determined automatically using the QLab software, statistical analysis revealed statistically significant differences in the contrast indicators of a healthy myometrium and myometrium with tumor involvement (p <0.001 for the indicators “peak intensity,” “time to peak intensity,” “contrast agent half-life”) (Table 3).
Table 3. Characteristics of quantitative contrast indicators
Indicator | Average value | Number of patients, n | p | |
Pair 1 | AT in tumor | 20.83 | 38 | 0.031 |
АТ in myometrium | 21.18 | 38 | ||
Pair 2 | ТТР in tumor | 30.06 | 38 | <0.001 |
ТТР in myometrium | 34.46 | 38 | ||
Pair 3 | PI in tumor | 9.78 | 38 | <0.001 |
PI in myometrium | 6.52 | 38 | ||
Pair 4 | DT/2 in tumor | 63.18 | 38 | <0.001 |
DT/2 in myometrium | 89.26 | 38 | ||
Note. AT, arrival time of the contrast agent (arrivalTime), s; TTP, time to peak intensity (timetopeak), s; PI, peak intensity (peak intensity), dB; DT/2, half-life of the contrast agent, s.
Thus, CEUS examination for endometrial cancer is characterized as follows: uniform distribution of the contrast agent in the tumor (71.1%), except areas of necrosis, and earlier entry of the contrast agent into the area of the tumor lesion, including the zone of invasion into the myometrium, compared with the myometrium with no tumor involvement, as well as earlier washout from it.
In the arterial phase, CEUS revealed isocontrasting (81.6%) and hypercontrasting in isolated cases (18.4%); in the venous phase, hypocontrasting was more typical (76.3%), whereas in isolated cases, isocontrasting (15.8%) or hypercontrasting (7.9%) could be determined.
Quantitative indicators (peak intensity, time to peak intensity, half-life) enable the reliable distinction of a myometrium with tumor involvement from healthy tissue, thereby assessing the depth of invasion.
There were several restrictions on the use of CEUS in all patients with suspected endometrial cancer. First, the study was not sufficiently informative in patients with signs of severe endometriosis and multiple fibroid nodes. This is because the vascularization features characteristic of this pathology contribute to a more pronounced contrast of the myometrium, which is not involved in the tumor process, which does not allow the tumor process to be reliably delimited. Further, the study of quantitative indicators can be difficult with a small thickness of the M-echo (<5 mm), which does not allow choosing a sufficient area of interest for comparison with the intact myometrium. Moreover, the uterine body location limits the study in that areas of interest should be selected at approximately the same distance from the sensor. Another restriction of the method is the possibility of assessing only one section at the time of contrast injection, which does not allow the assessment of areas of regional metastasis and the entire volume of local spread for large tumor sizes.
Despite this, our study enables us to consider CEUS along with standard ultrasound as a highly informative method in clarifying the diagnostics of endometrial cancer and in assessing the depth of invasion into the myometrium.
CONCLUSION
Ultrasound using contrast enhancement demonstrates high informational value in determining the depth of tumor invasion into the myometrium, which is considered one of the main criteria for determining the disease stage and choosing the appropriate treatment approach and the full extent of surgical treatment.
ADDITIONAL INFO
Author contribution. All authors made a substantial contribution to the conception of the work, acquisition, analysis, interpretation of data for the work, drafting and revising the work, final approval of the version to be published and agree to be accountable for all aspects of the work.
Funding source. This study was not supported by any external sources of funding.
Competing interests. The authors declares that there are no obvious and potential conflicts of interest associated with the publication of this article.
Ethics approval. The research was carried out within the framework of the dissertation work of Kh.B. Zuzieva, and its conduct was coordinated with the Independent Ethics Council at the P.A. Herzen Moscow State Research Institute (extract from the protocol No. 361a dated 22.02.2019).
Consent for publication. All the patients who participated in the study signed the necessary documents on voluntary informed consent to participate in the study and the publication of their medical data.
ДОПОЛНИТЕЛЬНАЯ ИНФОРМАЦИЯ
Вклад авторов. Все авторы внесли существенный вклад в разработку концепции, проведение исследования и подготовку статьи, прочли и одобрили финальную версию перед публикацией.
Финансирование. Авторы заявляют об отсутствии внешнего финансирования при проведении исследования.
Конфликт интересов. Авторы декларируют отсутствие явных и потенциальных конфликтов интересов, связанных с публикацией настоящей статьи.
Этическое утверждение. Исследование выполнялось в рамках диссертационной работы Зузиевой Х.Б., и его проведение согласовано с Независимым советом по этике при МНИОИ им. П.А. Герцена (выписка из протокола от 22.02.2019 г. № 361а).
Информированное согласие на публикацию. Все пациентки, участвовавшие в исследовании, подписали необходимые документы о добровольном информированном согласии на участие в исследовании и публикацию их медицинских данных.
About the authors
Kheda B. Zuzieva
P.A. Herzen Moscow Cancer Research Institute ― branch of the «National Medical Center of Radiology»
Author for correspondence.
Email: kheda.zuzieva@yandex.ru
ORCID iD: 0000-0002-1846-049X
Graduate Student, Junior Research Associate
Russian Federation, MoscowLarisa A. Mitina
P.A. Herzen Moscow Cancer Research Institute ― branch of the «National Medical Center of Radiology»
Email: lmitina@list.ru
ORCID iD: 0000-0002-3563-7293
MD, Dr. Sci. (Med.)
Russian Federation, MoscowAleksandr N. Vostrov
P.A. Herzen Moscow Cancer Research Institute ― branch of the «National Medical Center of Radiology»
Email: Alexandr-V65@yandex.ru
ORCID iD: 0000-0001-7653-8008
MD, Dr. Sci. (Med.)
Russian Federation, MoscowSvetlana V. Mukhtarulina
P.A. Herzen Moscow Cancer Research Institute ― branch of the «National Medical Center of Radiology»
Email: svmukhtarulina@yandex.ru
ORCID iD: 0000-0001-7481-9631
MD, Cand. Sci. (Med.)
Russian Federation, MoscowStanislav O. Stepanov
P.A. Herzen Moscow Cancer Research Institute ― branch of the «National Medical Center of Radiology»
Email: stanislav.o.stepanov@gmail.ru
ORCID iD: 0000-0001-8804-2237
MD, Dr. Sci. (Med.)
Russian Federation, MoscowReferences
- Kaprin AD, Starinskii VV, Shakhzadova AO, editors. The state of oncological care to the population of Russia in 2022. Moscow: P.A. Herzen Moscow State Medical Research Institute ― branch of the Federal State Budgetary Institution “National Medical Center of Radiology” of the Ministry of Health of Russia; 2022. (In Russ).
- Association of Oncologists of Russia, Russian Society of Clinical Oncology, Russian Society of Specialists in the Prevention and Treatment of tumors of the Reproductive System. Clinical recommendations “Cancer of the uterine body and uterine sarcoma ― 2021-2022-2023 (20.01.2023)”. Approved by the Ministry of Health of the Russian Federation. Moscow: Ministry of Health of the Russian Federation; 2021. (In Russ).
- Weskott H.-P. Contrast-enhanced ultrasound. 1st ed. Bremen: UNI-MED; 2014. (In Russ).
- Dietrich CF, Averkiou M, Nielsen MB, et al. How to perform Contrast-Enhanced Ultrasound (CEUS). Ultrasound Int Open. 2018;4(1):E2–E15. doi: 10.1055/s-0043-123931
- Vostrov AN. Kompleksnaya ul’trazvukovaya diagnostika raka endometriya: [dissertation]. Moscow; 2002. Available from: https://search.rsl.ru/ru/record/01002304471?ysclid=lnrtjtuniv653479665 (In Russ).
- Nazarova IS. Ultrasound scanning in the diagnosis of malignant tumors of the uterus and ovaries. In: Ultrasound diagnostics in Oncology. Collection of materials of the First All-Union school. Moscow: Vysshaya shkola; 1988. P: 108–111. (In Russ).
- Myagkova AA. Ul’trazvukovye kriterii mikroinvazivnogo raka endometriya [dissertation]. Moscow; 2006. Available from: https://medical-diss.com/medicina/ultrazvukovye-kriterii-mikroinvazivnogo-raka-endometriya (In Russ).
- Chekalova MA, Barinov VV, Sinyukova GT, Kozachenko VP, Bokina LI. Ultrasonography in diagnosis of endometrial cancer. Vestnik Rossiiskogo onkologicheskogo nauchnogo tsentra im. N.N. Blokhina. 1999;10(4):44–50. (In Russ).
- Sidhu PS, Cantisani V, Dietrich CF, et al. The EFSUMB Guidelines and Recommendations for the Clinical Practice of Contrast-Enhanced Ultrasound (CEUS) in Non-Hepatic Applications: Update 2017 (Long Version). Ultraschall Med. 2018;39(2):e2–e44. doi: 10.1055/a-0586-1107
- Ashrafyan LA, Kharchenko NV, Ogryzkova VL, et al. Modern possibilities of sonography in the primary and clarifying diagnosis of endometrial cancer. Voprosy onkologii. 1999;45:87–92. (In Russ).
- Epstein E, Fischerova D, Valentin L, et al. Ultrasound characteristics of endometrial cancer as defined by International Endometrial Tumor Analysis (IETA) consensus nomenclature: prospective multicenter study. Ultrasound Obstet Gynecol. 2018;51(6):818–828. doi: 10.1002/uog.18909
- Green RW, Epstein E. Dynamic contrast-enhanced ultrasound improves diagnostic performance in endometrial cancer staging. Ultrasound Obstet Gynecol. 2020;56(1):96–105. doi: 10.1002/uog.21885
- Testa AC, Ferrandina G, Fruscella E, et al. The use of contrasted transvaginal sonography in the diagnosis of gynecologic diseases: a preliminary study. J Ultrasound Med. 2005;24(9):1267–1278. doi: 10.7863/jum.2005.24.9.1267
- Liu Y, Tian J-W, Xu Y, Cheng W. Role of transvaginal contrast-enhanced ultrasound in the early diagnosis of endometrial carcinoma. Chin Med J (Engl). 2012;125(3):416–421.
- Song Y, Yang J, Liu Z, Shen K. Preoperative evaluation of endometrial carcinoma by contrast-enhanced ultrasonography. BJOG. 2009;116(2):294–298. doi: 10.1111/j.1471-0528.2008.01981.x
- Liu Y, Xu Y, Cheng W, Liu X. Quantitative contrast-enhanced ultrasonography for the differential diagnosis of endometrial hyperplasia and endometrial neoplasms. Oncol Lett. 2016;12(5):3763–3770. doi: 10.3892/ol.2016.5206
- Lieng M, Qvigstad E, Dahl GF, Istre O. Flow differences between endometrial polyps and cancer: a prospective study using intravenous contrast-enhanced transvaginal color flow Doppler and three-dimensional power Doppler ultrasound. Ultrasound Obstet Gynecol. 2008;32(7):935–940. doi: 10.1002/uog.6267
- Zhou H-L, Xiang H, Duan L, et al. Application of Combined Two-Dimensional and Three-Dimensional Transvaginal Contrast Enhanced Ultrasound in the Diagnosis of Endometrial Carcinoma. Biomed Res Int. 2015;2015:292743. doi: 10.1155/2015/292743
- Min’ko BA, Gelbutovskaya SM, Karlova NA, Boitsova MG, Zorin YaP. Experience in using modern ultrasound techniques for the diagnosis of endometrial cancer. Vrach-aspirant. 2018;(5):38–51. (In Russ).
- Zuzieva KhB, Mitina LA, Vostrov AN, et al. The use of sonohysterosalpingography in the diagnosis of endometrial pathology. P.A. Herzen Journal of Oncology. 2020;9(6):3438. (In Russ). doi: 10.17116/onkolog2020906134
- Zuzievа KhB, Mitina LA, Vostrov AN, et al. The use of echocontrast agents in ultrasound diagnosis оf endometrial cancer (literature review). V.F. Snegirev Archives of Obstetrics and Gynecology, Russian journal. 2020;7(2):80–83. (In Russ). doi: 10.18821/2313-8726-2020-7-2-80-83
Supplementary files




