The first experience of using alteplase in the treatment of venous thromboembolic complications in women while taking oral contraceptives
- Authors: Shpilyanskiy E.M.1, Murashko A.V.2, Sukhareva T.V.1, Morozov K.M.3, Larina D.V.4, Veselkova Y.A.1, Kolesnik D.I.5, Kir’yanova E.N.4
-
Affiliations:
- ГБУЗ МО «Королёвская городская больница»
- ФГАОУ ВО «Первый Московский государственный медицинский университет им. И.М. Сеченова» Минздрава России
- ООО «Гута Клиник»
- ГБУЗ «Городская клиническая больница им. В.В. Вересаева Департамента здравоохранения г. Москвы»
- ГКУ «Центральный клинический госпиталь Федеральной таможенной службы России»
- Issue: Vol 7, No 4 (2020)
- Pages: 216-224
- Section: Clinical case reports
- Submitted: 26.12.2020
- Accepted: 26.12.2020
- Published: 27.12.2020
- URL: https://archivog.com/2313-8726/article/view/56966
- DOI: https://doi.org/10.17816/2313-8726-2020-7-4-216-224
- ID: 56966
Cite item
Full Text
Abstract
Introduction. Pulmonary embolism (PE) is potentially life-threatening complication that could develop in hormonal contraceptive users. Therapeutic thrombolysis is safe, relatively modern and effective method of treatment.
Aim of the study — to summarize our own experience of thrombolytic therapy of PE in women OC users.
We presented three cases of PE developed in association with oral contraceptive use. Tree female patients aged 20 years, 34 years, 47 years at admittance to hospital were diagnosed PE.
Result. All patients got thrombolytic therapy with alteplase 100 mg iv (10 mg bolus iv, then 90 mg continuous iv injection by infusomat). Good clinical outcomes were reached in all cases.
Conclusion. Our experience shows that alteplase is highly effective agent in PE treatment in women with TE after hormonal contraception.
Keywords: hormonal contraception; venous thrombosis; pulmonary embolism; thrombolysis.
Full Text
Введение
Гормональные препараты половых стероидов нашли широкое применение в акушерско-гинекологической практике: для стимуляции овуляции (при трудностях с беременностью), гормональной поддержки беременности, в программах экстракорпорального оплодотворения (ЭКО), контрацепции и т. д. Как и любое лекарственное средство, указанные группы имеют определённые неблагоприятные эффекты, наиболее грозными из которых являются тромбоэмболические осложнения. Особое внимание уделяют оральным контрацептивам, широко применяющимися для контрацепции и удобным в использовании. Однако, как уже указывалось выше, одним из самых серьёзных побочных эффектов оральных гормональных контрацептивов являются тромбоэмболические осложнения (ТЭО). Частота ТЭО для разных гормональных препаратов, их комбинаций, путей введения и даже длительности приёма различная. Влияние конкретных видов оральных контрацептивов на риск тромботических явлений остаётся самым важным вопросом безопасности для этих средств. Именно поэтому многие исследования выявляют связь между применением оральных контрацептивов и тромбоэмболией лёгочной артерии (ТЭЛА) [1–26].
Причиной ТЭЛА в 90% случаев служат тромбы, локализующиеся в глубоких венах нижних конечностей, тазовых и почечных венах из системы нижней полой вены. Тромботические поражения магистральных вен верхних конечностей крайне редко осложняются ТЭЛА [27–29].
При этом риск смерти в случае развития ТЭЛА возрастает многократно. В сосудистой хирургии широко применяется тромболитическая терапия [30–32]. Очевидно, что кроме оценки риска возникновения венозного тромбоза с исходом в ТЭЛА, крайне актуальной является оценка эффективности различных препаратов для её лечения [33].
Вместе с тем, несмотря на высокую эффективность, применение фибринолитических средств не всегда даёт необходимый клинический эффект, сопровождается высоким риском кровотечений и других побочных реакций [34, 35].
Одним из препаратов, используемых при проведении тромболитической терапии для лечения ТЭЛА, является препарат 2-го поколения альтеплаза (торговые названия: актилизе, альтеплаза, ревелиза; латинское название альтеплазы — Alteplasum), это гликопротеид, состоящий из 527 аминокислот. Синтезирован по рекомбинантной ДНК-технологии. Активируется при соединении с фибрином и стимулирует превращение плазминогена в плазмин; T1/2 составляет 4,5 мин, метаболизируется в печени. Способствует растворению сгустка фибрина.
В различных исследованиях показано, что альтеплаза может использоваться как эффективное средство лечения ТЭЛА [28, 29, 32, 36, 37].
Целью исследования явилось обобщение опыта применения тромболитической терапии препаратом альтеплаза у больных с массивной ТЭ, развившейся на фоне приёма оральных контрацептивов.
В статье рассмотрены 3 случая успешной тромболитической терапии массивной ТЭЛА (1 случай — в 2014 г., 2 случая — в 2020 г.) соответственно у 3 больных женского пола в возрасте 20, 34 и 47 лет, условно названных пациентками А, B и С. У всех пациенток ТЭО развились на фоне бесконтрольного приёма оральных контрацептивов (ципротерона ацетат — гормональный антиандрогенный препарат и прогестоген, и этинилэстрадиол – 17-альфа-этинилэстрадиол, искусственный эстроген). Все пациентки поступили в клинику в экстренном порядке в тяжёлом состоянии с признаками тромбоэмболии. Всем женщинам выполняли стандартные клинические исследования, в том числе клинический анализ крови, гемостазиологические тесты, ЭКГ, ЭхоКГ и мультиспиральную компьютерную томографию — МСКТ (как минимум дважды: при поступлении и после фибринолитической терапии).
Всем пациенткам при поступлении назначена терапия антикоагулянтами (низкомолекулярными гепаринами — НМГ) в лечебной дозе. После подтверждения диагноза массивной ТЭ в связи с тяжёлым состоянием и отсутствием противопоказаний всем трём женщинам проведена тромболитическая терапия альтеплазой — 100 мг по схеме 10 мг внутривенно (в/в) струйно, 90 мг в/в через инфузомат (в одном случае дважды); после этого продолжена терапия НМГ в лечебной дозе.
Все женщины тромболитическую терапию перенесли хорошо, осложнений не наблюдали. На фоне лечения состояние пациенток улучшилось, что было подтверждено лабораторными данными и специальными методами исследования (ЭхоКГ, МСКТ), и все женщины были выписаны в удовлетворительном состоянии.
Клинический случай 1
Пациентка А, 20 лет, госпитализирована в экстренном порядке в 2020 г.
Из анамнеза: несколько лет бесконтрольно принимала гормональные контрацептивные препараты (Диане-35). Перед госпитализацией больная была выписана из другого лечебного учреждения с диагнозом: вегетососудистая дистония (ВСД) по кардиальному типу, медикаментозная гипотония, трахеобронхит.
При поступлении состояние тяжёлое. Диагноз при поступлении: двухсторонняя ТЭЛА высокого риска; двухсторонняя нижнедолевая инфарктная пневмония; аортолёгочный свищ; пролапс митрального клапана; нарушения ритма сердца; возможно тромбофилия (?), антифосфолипидный синдром (?).
Начата терапия НМГ в лечебной дозе (эноксапарин 10 × 0,4 мл (10 000 анти-Ха МЕ/мл) 2 раза в день подкожно), назначена эластическая компрессия. Дважды с интервалом 24 ч проведён тромболизис альтеплазой 100 мг (табл. 1).
Пациентка А выписана через 20 дней с улучшением общего состояния и позитивными изменениями по данным ЭхоКГ и МСКТ, с рекомендацией продолжения антикоагулянтной терапии.
Клинический случай 2
Пациентка B, 34 года, поступила в клинику в экстренном порядке в 2014 г.
Из анамнеза: хронический тонзиллит, ремиссия. Около 10 лет принимает различные контрацептивные препараты (последний год — ципротерона ацетат плюс этинилэстрадиол). Ухудшение самочувствия произошло за сутки до госпитализации, когда почувствовала тянущую боль в области правого бедра. Через 1 ч внезапно возникли одышка, общая слабость, сердцебиение, потливость. Пациентка была госпитализирована в участковую больницу, где сохранялись общая слабость и одышка при незначительной физической нагрузке. Через 24 ч вновь развился эпизод одышки в покое, после чего была переведена в клинику.
При госпитализации состояние больной средней тяжести, затем прогрессивно ухудшалось.
Начата терапия НМГ в лечебной дозе (эноксапарин 10 × 0,4 мл 2 раза в день подкожно), эластическая компрессия.
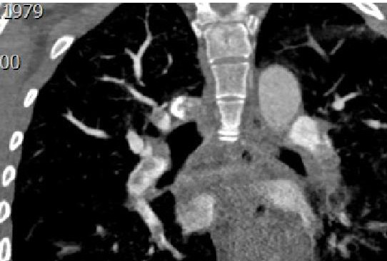
В первые сутки проведён системный тромболизис альтеплазой (рис. 1, 2; табл. 2), через 2-е суток выполнена кроссэктомия в связи с угрозой рецидива ТЭЛА.
Значимых изменений в биохимическом составе крови не выявлено. Наблюдалось некоторое снижение креатинина и мочевины, но в пределах референсных значений.
В коагулограмме отмечалось при поступлении повышение уровня D-димера, что может быть объяснено массивным тромбозом и ТЭЛА.
При дальнейшем обследовании выявлен неокклюзионный тромбоз нижней полой вены; первичный антифосфолипидный синдром (ВА(+), серопозитивный вариант); носитель генетического маркера тромбофилии; МТГФР (hom).
Выписана в удовлетворительном состоянии с рекомендацией продолжить терапию НМГ, но в последующем самостоятельно отказалась от приёма антикоагулянтов и начала повторно бесконтрольный приём ципротерона ацетата плюс этинилэстрадиол. Произошёл рецидив ТЭЛА, в связи с чем имели место повторные госпитализации в клинику с развитием рецидивирующей тромбоэмболии лёгочной артерии, острого лёгочного сердца.
Клинический случай 3
Пациентка C, 47 лет, поступила в клинику в экстренном порядке в 2020 г. Состояние тяжёлое. Диагноз при поступлении: ТЭЛА высокого риска, рецидивирующее течение из неуточнённого источника. Клиническая смерть. Хроническая анемия средней тяжести неясного генеза. ТЭЛА развилась также на фоне бесконтрольного приёма гормональных контрацептивов.
Проведён тромболизис альтеплазой 100 мг (табл. 3).
Рис. 1. МСКТ-пульмонангиография пациентки B, исходное состояние.
Рис. 2. МСКТ-пульмонангиография пациентки В после тромболизиса.
Таблица 1
Данные ЭхоКГ и МСКТ пациентки А до и после тромболизиса
Исследование | Исходные данные | Перед выпиской |
Эхокардиография | Гипертрофии миокарда нет. Незначительная дилатация обоих предсердий. ФВ 75%. Выпота в полости перикарда нет. КДР 38 мм, КСР 21 мм, правый желудочек не расширен, диаметр 31 мм. Ствол лёгочной артерии 21 мм | Размеры камер сердца в норме. ФВ 57%. Выпота в полости перикарда нет. КДР 39 мм, КСР 27 мм, КСО 27 мл. Правый желудочек не расширен, диаметр 26 мм. Ствол лёгочной артерии 19 мм, пиковый градиент давления 29 мм рт. ст. |
Компьютерная томография грудной клетки | Пониженная пневматизация дорзальных отделов С1-С2 и нижней доли левого лёгкого с умеренно выраженными явлениями по типу «матового стекла». Ствол лёгочной артерии 33 мм, правая лёгочная артерия 22 мм, левая 29 мм. Субокклюзия левой лёгочной артерии с окклюзией А1-А2, субокклюзией А3, субокклюзия А4-А5, А7, А9, А10. Перфузия лёгкого снижена. В левой лёгочной артерии центрально и пристеночно расположены дефекты контрастирования (тромбы) с субокклюзией А1-А5, А-А10 | В левом лёгком сохраняются участки снижения пневматизации по типу «матового стекла» и консолидации в S10 обоих лёгких. Ствол лёгочной артерии 21 мм, правая легочная артерия 14 мм, левая лёгочная артерия 15 мм. Сохраняется окклюзия А10, А3, А7. Левая ЛА без дефектов контрастирования, отмечается разрушение тромботических масс в верхней доле, сохраняются тромботические массы (пристеночные) в А6, А9, А10 |
Примечание. Здесь и далее: ФВ — фракция выброса; КДР — конечный диастолический размер; КСР — конечный систолический размер; КСО — конечный систолический объём; ЛА — лёгочная артерия.
Таблица 2
Данные ЭхоКГ и МСКТ пациентки B до и после тромболизиса
Исследование | Исходные данные | Перед выпиской |
Эхокардиография | УЗ-картина острого лёгочного сердца с признаками перегрузки правых отделов сердца: дилатация полости ПЖ, парадоксальное движение МЖП, дилатация НПВ, умеренная лёгочная гипертензия (макс. СДЛА 45–50 мм рт. ст.). Аорта, створки аортального, митрального и трикуспидального клапанов не изменены. Размеры левых отделов сердца, толщина стенок в норме. Глобальная сократительная способность миокарда ЛЖ сохранена, зон нарушения локальной сократимости не выявлено | Гипертрофии миокарда нет. По сравнению с предыдущим исследованием — положительная динамика, уменьшение признаков перегрузки правых отделов сердца, несколько уменьшилась в размерах полость ПЖ, сохраняется парадоксальное движение МЖП, отмечено незначительное уменьшение диаметра НПВ, есть реакция на дыхание, лёгочная гипертензия снизилась до незначительной (макс. СДЛА 35–40 мм рт. ст.) |
Компьютерная томография грудной клетки | Мультифазная МСКТ органов грудной полости с внутривенным болюсным контрастированием: массивная тромбоэмболия в бассейне обеих лёгочных артерий без явных патологических изменений со стороны лёгочной ткани | Значительное уменьшение количества и выраженности дефектов наполнения артериального русла малого круга кровообращения; сохраняются значимые тромбозы обеих нижнедолевых артерий, больше слева. На этом фоне отмечается формирование воспалительных изменений в нижней доле левого лёгкого |
Примечание. ПЖ — правый желудочек; МЖП — межжелудочковая перегородка; НПВ — нижняя полая вена; СДЛА — среднее давление в лёгочной артерии.
В отделении больная получала антикоагулянтную терапию: эноксапарин 10 × 0,4 мл 2 раза в день подкожно, эластическую компрессию.
Диагноз при выписке: двухсторонняя ТЭЛА высокого риска; двухсторонняя нижнедолевая инфарктная пневмония; аортолёгочный свищ; пролапс митрального клапана; нарушения ритма сердца; предположены тромбофилия (?), антифосфолипидный синдром (?). Состояние после клинической смерти.
Обсуждение
В ряде исследований продемонстрировано увеличение относительного риска ТЭО среди пользователей оральных контрацептивов, содержащих дезогестрел или гестоден, по сравнению с теми, которые содержат левоноргестрел [17], однако в половине из исследований принципиальных различий не выявлено [17–19].
В других исследованиях показан более высокий риск ТЭО среди пользователей комбинированных оральных контрацептивов с дроспиреноном по сравнению с другими комбинациями, тогда как другие исследователи не выявили различий [21–24].
Наиболее высокий риск венозных тромбозов зафиксирован среди женщин, принимавших следующие комбинации препаратов: 50 мкг этинилэстрадиол плюс левоноргестрел; 30 мкг этинилэстрадиол плюс дроспиренон; 35 мкг этинилэстрадиол плюс ципротерона ацетат (препарат, который получали пациентки, включённые в исследование); 30 мкг этинилэстрадиол плюс дезогестрел [25].
Таблица 3
Данные ЭхоКГ и МСКТ пациентки С до и после тромболизиса
Исследование | Исходные данные | Перед выпиской |
Эхокардиография | Гипертрофии миокарда нет. Незначительная дилатация обоих предсердий. ФВ 57%. Выпота в полости перикарда нет. КДР 46 мм, КСР 32 мм, КДО 99 мл, КСО 41 мл. Правый желудочек не расширен, диаметр 33 мм. Градиент давления 23 мм рт. ст. Ствол лёгочной артерии 19 мм | Уменьшение размеров правых отделов сердца. ФВ 65%. Выпота в полости перикарда нет. КДР 46 мм, КСР 29 мм, КДО 96 мл, КСО 33 мл. Правый желудочек не расширен, диаметр 26 мм. Ствол лёгочной артерии 18 мм |
Компьютерная томография грудной клетки | Пониженная пневматизация дорзальных отделов С1-С2 и нижней доли левого лёгкого с умеренно выраженными явлениями по типу «матового стекла». Трахея и крупные бронхи проходимы, не деформированы. Бронхи визуализируются до субсегментарных. Ствол лёгочной артерии 33 мм, правая лёгочная артерия 22 мм, левая 29 мм. Газа в плевральных полостях не выявлено. При контрастном усилении: правая лёгочная артерия — центрально и пристеночно расположенные дефекты контрастирования (тромбы) в левых долевых ветвях с тотальной окклюзией верхнедолевой и нижнедолевой артерий. Субокклюзия среднедолевой артерии с окклюзией А1-А2, субокклюзией А3, субокклюзия А4–А5, А7, А9, А10. Перфузия лёгкого снижена. В левой лёгочной артерии центрально и пристеночно расположены дефекты контрастирования (тромбы) с субокклюзией А1–А5, А–А10. Перфузия лёгкого снижена | Положительная динамика. В лёгких очаговых и инфильтративных изменений не выявлено. Свободного газа, жидкости в плевральных полостях не отмечается. Трахея и бронхи не деформированы, прослеживаются до субсегментарного уровня. Магистральные сосуды: лёгочный ствол 30 мм, правая легочная артерия 19 мм, левая 17 мм. При контрольном контрастном усилении определяются дефекты контрастирования (тромбы), уменьшенные в размерах. Справа в устье верхнедолевых артерий не определяются, в среднедолевых и нижнедолевых определяются фрагменты тромбов в виде уменьшенных в размерах тромботических масс |
В 2016 г. опубликованы данные исследования, посвящённого изменениям гемостаза у женщин, применявших гормональную контрацепцию. Всех включённых в исследование поделили на несколько групп: 1-я группа — здоровые пациентки; 2-я и 3-я группы — пациентки, имеющие в анамнезе нарушения менструальной функции: во 2-ю группу включили пациенток, принимаюших этинилэстрадиол плюс дезогестрел; в 3-ю группу — пациенток, принимающих этинилэстрадиол плюс гестоден; 4-я группа — пациентки с заболеваниями желудочно-кишечного тракта, использующие препарат этинилэстрадиол плюс этоногестрел. Анализ гемостазиограмм показал, что у пациенток 1-й группы отмечено достоверное увеличение активированного парциального тромбопластинового времени (АПТВ) в первые 3 мес после начала использования контрацептивов с гормонами, с последующим снижением показателя в течение 9 мес приёма. Аналогичная ситуация наблюдалась и с остальными показателями, которые возрастали в течение 3–6 мес. Исключение составили антитромбин и протромбиновое время (ПТВ) по Квику, которые незначительно снизились через 3 мес, однако затем вновь выросли, даже выше первоначальных значений. Во 2-й группе не было значимых изменений ни по одному из изучаемых показателей. Но именно во 2-й группе отмечено наиболее значимое колебание показателей протромбинового индекса (ПТИ) по Квику через 3 мес после начала приёма контрацептивов. У пациенток 4-й группы отмечено значимое увеличение ПТВ по Квику. Общие тенденции изменения параметров гемостазиограммы характеризуются сравнительно незначительными изменениями показателей системы гемостаза в первые 3 мес использования гормональных контрацептивов с последующей нормализацией параметров к 6–9 месяцам приёма [26]. Аналогичные результаты наблюдали и мы в нашем исследовании.
Всего в России ежегодно ТЭЛА регистрируется у 600 тыс. пациентов, около трети из которых погибают. Согласно официальным патолого-анатомическим отчётам, при вскрытии у 20% больных, умерших после различных инвазивных вмешательств, выявляют, что причиной смерти послужила ТЭЛА [29, 30]. Летальность среди пациентов без какой либо терапии, по данным различных авторов, составляет 30% и более, а при массивной ТЭЛА может достигать 70% и более. При своевременно начатой терапии летальность колеблется в пределах 2–8% [38]. Наиболее часто исходом массивной ТЭЛА является гибель больного или формирование хронической посттромботической лёгочной гипертензии, что приводит к инвалидности. Это определяет основную цель лечения ТЭЛА — спасение жизни пациентов с помощью восстановления адекватного кровообращения в лёгких и предотвращение развития хронической лёгочной гипертензии [29, 30, 39–41].
Восстановление проходимости лёгочных артерий осуществляется двумя методами — консервативным методом — тромболитической терапией (ТЛТ) или хирургическим вмешательством (хирургическая эмболэктомия, катетерная эмболэктомия или фрагментация тромба). Преимуществом хирургического вмешательства является радикализм, но эти методы более дорогие и требуют специально оборудованной операционной. При этом они не показали существенного превосходства в эффективности в сравнении с консервативными методами [29, 30]. Согласно литературным данным, ТЛТ является весьма эффективным способом восстановления перфузии в лёгочном артериальном русле у больных с ТЭЛА, в том числе и массивной [34, 35].
Однако при развитии массивной ТЭЛА вопрос о наиболее предпочтительном методе лечения пока до конца не решён [38, 42].
Играя ведущую роль в причинах смерти при многих патологических состояниях, ТЭЛА ставит перед врачом задачу выбора способа скорейшего восстановления кровотока по легочным артериям. Хирургические вмешательства на лёгочных артериях, что очевидно, хотя и отличаются радикализмом, но требуют дорогостоящего послеоперационного ведения больного и при этом, как указано выше, не демонстрируют существенного преимущества в результатах в сравнении с методами ТЛТ [43, 44]. Таким образом, ТЛТ служит высокоэффективным способом восстановления кровотока по лёгочному артериальному руслу у больных с массивной ТЭЛА [44, 45].
Многие авторы указывают на сравнимую эффективность тромболитических средств, акцентируя внимание на различной частоте возможных осложнений [46–53]. Снижение абсолютного и относительного рисков служит мотивационной основой выбора препарата [26, 34, 37, 53].
Всё вышеизложенное позволило некоторым исследователям прийти к выводу, что женщины с высоким риском ТЭО должны отказаться от приёма гормональной контрацепции и применять другие её виды [9].
Анализ материала позволяет также сделать вывод, что альтеплаза — высокоэффективное средство для лечения тромбозов в различных отделах сосудистого русла, в том числе при лечении тромбоза глубоких вен и ТЭЛА, развившихся на фоне приёма оральных контрацептивов [30–34].
Финансирование. Исследование не имело спонсорской поддержки.
Конфликт интересов. Авторы заявляют об отсутствии конфликта интересов.
About the authors
E. M. Shpilyanskiy
ГБУЗ МО «Королёвская городская больница»
Author for correspondence.
Email: shp1961@inbox.ru
Russian Federation
A. V. Murashko
ФГАОУ ВО «Первый Московский государственный медицинский университет им. И.М. Сеченова» Минздрава России
Email: murashkoa@mail.ru
ORCID iD: 0000-0003-0663-2909
Russian Federation
T. V. Sukhareva
ГБУЗ МО «Королёвская городская больница»
Email: suharewa.tatiana@yandex.ru
ORCID iD: 0000-0002-0073-160X
Russian Federation
K. M. Morozov
ООО «Гута Клиник»
Email: morozovkonstantin@yandex.ru
ORCID iD: 0000-0002-4167-5261
Russian Federation
D. V. Larina
ГБУЗ «Городская клиническая больница им. В.В. Вересаева Департамента здравоохранения г. Москвы»
Email: idilya@inbox.ru
Russian Federation
Yu. A. Veselkova
ГБУЗ МО «Королёвская городская больница»
Email: morozovkonstantin@yandex.ru
Russian Federation
D. I. Kolesnik
ГКУ «Центральный клинический госпиталь Федеральной таможенной службы России»
Email: xrey@yandex.ru
ORCID iD: 0000-0002-6767-3002
Russian Federation
E. N. Kir’yanova
ГБУЗ «Городская клиническая больница им. В.В. Вересаева Департамента здравоохранения г. Москвы»
Email: kirieshkak@list.ru
Russian Federation
References
- Martinez F, Ramirez I, Perez-Campos E, Latorre K, Lete I. Venous and pulmonary thromboembolism and combined hormonal contraceptives. Systematic review and meta-analysis. Eur J Contracept Reprod Health Care. 2012;17(1):7–29.
- De Bastos M, Stegeman BH, Rosendaal FR, Van Hylckama Vlieg A, Helmerhorst FM, Stijnen T, et al. Combined oral contraceptives: venous thrombosis. Cochrane Database Syst Rev. 2014;(3):CD010813.
- Dinger JC, Heinemann LA, Kuhl-Habich D. The safety of a drospirenone-containing oral contraceptive: final results from the European Active Surveillance Study on oral contraceptives based on 142 475 women-years of observation. Contraception. 2007;75(5): 344–354.
- Bitzer J, Ahrendt HJ, Merkle E. Klinisch relevante pharmakologische Grundlagen der hormonellen Kontrazeption. Frauenarzt. 2009;50:348–354.
- Bode H. Die Perspektive der 14-bis 25 2015. Available from: https://www.forschung.sexualaufklaerung.de/forschungsthemen/jugendsexualitaet/ projekt/jugend sexualitaet-2015-repraesentative-wiederholungsbefragungdie-perspektive-der-14-bis-25-jaehrige/.
- Schubert I et al. Verordnungen hormonaler Kontrazeptiva an junge Frauen; Studie im Auftrag des BfArM vorgelegt im Februar 2017 von der PMV Forschungsgruppe an der Universität Köln, dem wissenschaftlichen Institut der AOK (WIdO) Berlin und der Karls-Universität Prag. Februar 2017. Available from: http:// www.bfarm.de/ SharedDocs/Downloads/DE/Arzneimittel/Pharmakovigilanz/Bulletin/2017/2-2017.pdf? blob= publicationFile&v=6.
- Blickpunkt I. Thromboembolie: Kontrazeptiva der 3. und 4. Generation seltener verordnet… in Frankreich, leider nicht in Deutschland. Arznei-Telegramm. 2015:46:41–42. https://www.arznei-telegramm.de/html/sonder/1505041_02.html
- Etude de l’impact de la modification récente des méthodes de contraception sur la survenue d’embolies pulmonaires chez les femmes de 15 à 49 ans. Point d’Information. ANSM. 2014. Available from: http://www.a-turl.de/?k=oswi
- Lidegaard O, Nielsen LH, Skovlund CW, Skjeldestad FE, Lokkegaard E. Risk of venous thromboembolism from use of oral contraceptives containing different progestogens and oestrogen doses: Danish cohort study, 2001-9. BMJ. 2011;343:d6423.
- Kemmeren JM, Algra A, Grobbee DE. Third generation oral contraceptives and risk of venous thrombosis: meta-analysis. BMJ. 2001;323(7305):131–134.
- Stocco B, Fumagalli HF, Franceschini SA, Martinez EZ, Marzocchi-Machado CM, de Sa MF, et al. Comparative study of the effects of combined oral contraceptives in hemostatic variables: an observational preliminary study. Medicine (Baltimore). 2015;94(4):e385.
- Van Vliet HA, Bertina RM, Dahm AE, Rosendaal FR, Rosing J, Sandset PM, et al. Different effects of oral contraceptives containing different progestogens on protein S and tissue factor pathway inhibitor. J Thromb Haemost. 2008;6(2):346–351.
- Fan X, Chen X, Wang C, Dai J, Lu Y, Wang K, et al. Drospirenone enhances GPIb-IX-V-mediated platelet activation. J Thromb Haemost. 2015;13(10):1918–1924.
- Ziller M, Ziller V, Haas G, Rex J, Kostev K. Risk of venous thrombosis in users of hormonal contraceptives in German gynaecological practices: a patient database analysis. Arch Gynecol Obstet. 2014;289(2):413–419.
- Klipping C, Duijkers I, Parke S, Mellinger U, Serrani M, Junge W. Hemostatic effects of a novel estradiol-based oral contraceptive: an open-label, randomized, crossover study of estradiol valerate/dienogest versus ethinylestradiol/levonorgestrel. Drugs in R&D. 2011;11(2):159–170.
- Gaussem P, Alhenc-Gelas M, Thomas JL, Bachelot-Loza C, Remones V, Ali FD, et al. Haemostatic effects of a new combined oral contraceptive, nomegestrol acetate/17beta-estradiol, compared with those of levonorgestrel/ethinyl estradiol. A doubleblind, randomised study. Thromb Haemost. 2011;105(3):560–567.
- Foth D, Römer T, Ahrendt H-J. Hormonelle Kontrazeption mit östradiolhaltigen Kombinationspräparaten. Gynäkologische Endokrinologie. 2013;11(3):162–167.
- Lidegaard O, Nielsen LH, Skovlund CW, Lokkegaard E. Venous thrombosis in users of non-oral hormonal contraception: follow- up study, Denmark 2001–10. BMJ. 2012;344:e2990.
- Dore DD, Norman H, Loughlin J, Seeger JD. Extended case-control study results on thromboembolic outcomes among trans dermal contraceptive users. Contraception. 2010;81(5):408–413.
- WHO. Medical Eligibility Criteria for Contraceptive Use, 5th edition. World Health Organization; 2015. Available from: http://apps.who.int/iris/bitstream/handle/10665/181468/9789241549158_eng.pdf; jsessionid=C382414CD818D52A35 F64DFC7A3A95FC?sequence=1
- (MMWR) MaMWR. U. S. Medical Eligibility Criteria for Contraceptive Use, 2010. Available from: https://www.cdc.gov/ mmwr/pdf/rr/rr59e0528.pdf
- Healthcare FFSR, FSRH. UK Medical Eligibility Criteria for Contraceptive Use 2016. CreateSpace Independent Publishing Platform; 2016.
- Tepper NK, Whiteman MK, Marchbanks PA, James AH, Curtis KM. Progestin-only contraception and thromboembolism: A systematic review. Contraception. 2016;94(6):678–700.
- Van Hylckama Vlieg A, Helmerhorst FM, Rosendaal FR. The risk of deep venous thrombosis associated with injectable epotmedroxyprogesterone acetate contraceptives or a levonorgestrel intrauterine device. Arterioscler Thromb Vasc Biol. 2010;30(11):2297–2300.
- Beyer-Westendorf J, Bauersachs R, Hach-Wunderle V, Zotz RB, Rott H. Sex hormones and venous thromboembolism — from contraception to hormone replacement therapy. Vasa. 2018;47(6):441–450.
- Prud VA. Changes in the parameters of the hemostasis system in patients using hormonal contraceptives. Dal’nevostochnyy meditsinskiy zhurnal. 2016;(4):27–30. (In Russ).
- Stegeman BH, de Bastos M, Rosendaal FR, A van Hylckama Vlieg, Helmerhorst FM, Stijnen T, Dekkers OM. Different combined oral contraceptives and the risk of venous thrombosis: systematic review and network meta-analysis. BMJ. 2013;347:f5298. doi: 10.1136/bmj.f5298
- Heit JA. Epidemiology of venous thromboembolism. Nat Rev Cardiol. 2015;12(8):464–474. doi: 10.1038/nrcardio.2015.83
- Savel’yev VS. Thromboembolism of the pulmonary arteries. In: Savel’yev VS, ed. Flebologiya. Rukovodstvo dlya vrachey. Moscow: Meditsina; 2001:279–319. (In Russ).
- Bokeriya LA, Zatevakhin II, Kiriyenko AI, Andriyashkin AV, Andriyashkin VV, Arutyunov GP, et al. Russian Clinical Guidelines for the Diagnosis, Treatment and Prevention of Venous Thromboembolic Complications. Flebologiya. 2015;9(4–2). (In Russ).
- Reed M, Kerndt CC, Nicolas D. Alteplase. StatPearls Publishing; 2020.
- Jala S, O’Brien E. Treatment with intravenous alteplase for acute ischemic stroke after reversal of dabigatran with idarucizumab: a case study. J Neurosci Nurs. 2019;51(1):21–25.
- Mosimah CI, Murray PJ, Simpkins JW. Not all clots are created equal: a review of deficient thrombolysis with tissue plasminogen activator (tPA) in patients with metabolic syndrome. Int J Neurosci. 2019;129(6):612–618.
- Ovchinnikov YuV, Linchak RM, Zelenov MV. Comparative characteristics of alteplase and prourokinase during thrombolysis of massive pulmonary embolism. Vestnik Rossiyskoy voyenno-meditsinskoy akademii. 2015;4(52):124–128. (In Russ).
- Agnelli G, Becattini C, Kirschstein T. Thrombolysis vs heparin in the treatment of pulmonary embolism: a clinical outcome-based metaanalysis. Arch Int Med. 2002;162:2537–2541.
- Stein P, Matta F, Steinberger D, Keyes D. Intracerebral hemorrhage with thrombolytic therapy for acute pulmonary embolism. Am J Med. 2012;125(Is.1).
- Kiriyenko AI, Leont’yev SG, Karalkin AV, Mironov AV, Bardina EA, Babakova NA, Ustinov FS. Possibilities of thrombolytic therapy for massive pulmonary embolism: urokinase and alteplase. Flebologiya. 2013;7(3):27–33. (In Russ).
- Cohen AT, Agnelli G, Anderson FA, Arcelus JI, Bergqvist D, Brecht JG, et al. Venous thromboembolism (VTE) in Europe. The number of VTE events and associated morbidity and mortality. Thrombol Haemost. 2007;98(4):756–764.
- Bonderman D, Wilkens H, Wakounig S, Schäfers H-J, Jansa P, Lindner J, et al. Risk factors for chronic thromboembolic pulmonary hypertension. Eur Respir J. 2009;33(2):325–331.
- Condliffe R, Kiely DG, Gibbs JSR, Corris PA, Peacock AJ, Jenkins DP, et al. Prognostic and aetiological factors in chronic thrombo-embolic pulmonary hypertension. Eur Respir J. 2009;33(2):332–338.
- Fanikos J, Piazza G, Zayaruzny M, Goldhaber SZ. Long-term complications of medical patients with hospital-acquired venous thromboembolism. Thromb Haemost. 2009;102(4):688–693.
- Aujesky D, Jiménez D, Mor MK, Geng M, Fine MJ, Ibrahim SA. Weekend versus weekday admission and mortality after acute pulmonary embolism. Circulation. 2009;119:7:962–968.
- Aymard T, Kadner A, Widmer A, Basciani R, Tevaearai H, Weber A, et al. Massive pulmonary embolism: surgical embolectomy versus thrombolytic therapy — should surgical indications be revisited? Eur J Cardiothorac Surg. 2013;43(1):90–94.
- Lehnert P, Møller CH, Carlsen J, Grande P, Steinbrüchel DA. Surgical treatment of acute pulmonary embolism — a 12-year retrospective analysis. Scand Cardiovasc J. 2012;46(3):172–176.
- Guyatt GH, Akl EA, Crowther M, Gutterman DD, Schuünemann HJ. Antithrombotic Therapy Prevention of Thrombosis, 9th ed. American College of Chest Physicians Evidence-Based Clinical Practice Guidelines. Chest. 2012;141(2 Suppl.):7S–47S. doi: 10.1378/chest.1412S3
- Clark WM, Wissman S, Albers GW, Jhamandas JH, Madden KP, Hamilton S. Recombinant tissue-type plasminogen activator (Alteplase) for ischemic stroke 3 to 5 hours after symptom onset. The ATLANTIS study: a randomized controlled trial. JAMA. 1999;282:2019–2026.
- Kanter DS, Mikkola KM. Thrombolytic therapy for pulmonary embolism: frequency of intracranial hemorrhage and associated risk factors. Chest. 1997;111:1241–1245.
- Gürbüz ÖZ, Öner FA, Akyay AI, Coşkun Yu, Mecdi E. The results of streptokinase therapy in acute pulmonary embolism with intermediate and high risk. Turk Thorac J. 2012;13:6–10.
- The UKEP study Research Group. The UKEP study: Multicentre clinical trial on two local regimens of urokinase in massive pulmonary embolism. Eur Heart J. 1987;8(1):2–10.
- Marini C, Di Ricco G, Rossi G, Rindi M, Palla R, Giuntini C. Fibrinolytic effects of urokinase and heparin in acute pulmonary embolism a randomized clinical trial. Respiration. 1988;54:162–173.
- Tibbutt DA, Davies JA, Anderson JA, Fletcher EW, Hamill J, Holt JM, et al. Comparison by controlled clinical trial of streptokinase and heparin in treatment of life-threatening pulmonary embolism. Br Med J. 1974:1:343–347.
- De Gregorio MÁ, Laborda A, de Blas I, Medrano J, Mainar A, Oribe M. Endovascular Treatment of a Haemodynamically Unstable Massive Pulmonary Embolism using Fibrinolysis and Fragmentation. Experience with 111 Patients in a Single Centre. Why don’t we follow ACCP Recommendations? Arch Bronconeumol. 2011;47(1):17–24.
- Zhang Y, Sun T, He B, Wang L. Thrombolytic therapy with urokinase for pulmonary embolism in patients with stable hemodynamics. Med Sci Monit. 2007;13:1:CR20–23.
Supplementary files




