Morphological features of the endometrium in patients with atrophic chronic endometritis and impaired hemodynamics
- Authors: Gazizova G.K.1, Yashchuk A.G.1, Maslennikov A.V.1, Dautova L.A.1, Battalova G.Y.1
-
Affiliations:
- Bashkir State Medical University
- Issue: Vol 9, No 4 (2022)
- Pages: 231-237
- Section: Original study articles
- Submitted: 24.12.2022
- Accepted: 24.12.2022
- Published: 24.12.2022
- URL: https://archivog.com/2313-8726/article/view/119944
- DOI: https://doi.org/10.17816/2313-8726-2022-9-4-231-237
- ID: 119944
Cite item
Full Text
Abstract
BACKGROUND: Chronic endometritis is a clinical and morphological syndrome in which, due to persistent endometrial damage to the endometrium by an infectious agent, multiple secondary morphofunctional changes occur that impair cyclic transformation and receptivity of the uterine mucosa.
AIM: This study aimed to reveal morphological features of the endometrium in patients with atrophic chronic endometritis and impaired hemodynamics in the endometrium.
MATERIALS AND METHODS: The study involved 86 female patients divided into two groups. Group 1 comprised 44 patients with chronic endometritis and impaired endometrial hemodynamics. Group 2 included 42 patients with chronic endometritis without impaired microcirculation in the endometrium. The patients underwent endometrial pipelle biopsy for histological and immunohistochemical examination to determine the expression of VEGF, TGF-β and CD138 during the proliferative phase of the menstrual cycle.
RESULTS: Histological examination revealed vascular sclerosis, plasma cells, inflammatory infiltrates, stromal fibrosis, granulomas, and hemorrhagic foci in patients with atrophic chronic endometritis and impaired hemodynamics.
CONCLUSIONS: While examining the morphological picture of atrophic chronic endometritis with impaired hemodynamics, the formation of scar tissue was noted resulting in impaired blood circulation, which leads to focal hemorrhages in the uterine mucosa. According to immunohistochemical analysis, patients with impaired endometrial hemodynamics showed a statistically significant decrease in VEGF and an increase in TGF-β expression, which indicates the severity of fibrosis.
Full Text
ВВЕДЕНИЕ
Хронический эндометрит (ХЭ) — клинико-морфологический синдром, при котором в результате персистирующего повреждения эндометрия инфекционным агентом возникают множественные вторичные морфофункциональные изменения, нарушающие циклическую трансформацию и рецептивность слизистой оболочки тела матки [1].
Эндометрий представлен гормонально регулируемой популяцией клеток, характеризующейся циклическими морфологическими и биохимическими изменениями, которые создают оптимальные условия для имплантации и развития эмбриона, пролонгирования беременности [2]. Изменения при ХЭ могут вызвать нарушение нормального функционирования репродуктивной системы [3], так как длительный воспалительный процесс приводит к деструктивным изменениям эндометрия [4]. Морфологически данные изменения проявляются атрофией желёз эндометрия и нарушением кровотока в нём. Именно кровоток в эндометрии считается одним из ключевых факторов для реализации репродуктивной функции [5, 6].
Морфологический субстрат нарушения васкуляризации ― склероз сосудов эндометрия и снижение экспрессии васкулоэндотелиального фактора роста (VEGF), максимум которого должен регистрироваться в средней секреторной фазе менструального цикла [7]. Важнейшую роль в развитии ХЭ играет трансформирующий фактор роста (TGF-β), который служит гистологическим маркером фиброза в тканях и показывает тяжесть заболевания [8, 9].
За последние несколько десятилетий проведено множество исследований ткани эндометрия для выявления ключевых рецепторов, цитокинов, иммунокомпетентных клеток и белковых паттернов, участвующих в процессе имплантации. Однако до сих пор число пациенток с ХЭ не уменьшается, а лишь прогрессивно увеличивается, что говорит об актуальности дальнейшего поиска факторов, влияющих на развитие атрофической формы ХЭ с нарушением микроциркуляции.
Цель исследования ― выявить морфологические особенности эндометрия у пациенток с атрофической формой ХЭ на фоне нарушения гемодинамики.
МАТЕРИАЛЫ И МЕТОДЫ
В исследовании приняли участие 86 пациенток с морфологически подтверждённым диагнозом ХЭ, обратившихся на этапе планирования беременности в учреждения ― клинические базы кафедры акушерства и гинекологии с курсом ИДПО1 Башкирского государственного медицинского университета. Всем пациенткам провели обследование в соответствии с приказом Минздрава России от 20.10.2020 № 1130н «Об утверждении Порядка оказания медицинской помощи по профилю «акушерство и гинекология». У пациенток подробно собраны жалобы, изучены соматический и гинекологический анамнез и проведены общеклинические и гинекологические исследования.
Критерии включения в исследование:
- возраст от 18 до 45 лет;
- толщина М-эхо в период «окна имплантации» менее 8 мм с нарушением кровотока в спиральных артериях (по данным ультразвукового исследования);
- наличие хронического эндометрита по результатам клинико-лабораторного и инструментального обследования;
- сохранённая овуляторная функция яичников;
- согласие на участие в исследовании.
Критерии исключения:
- наличие сопутствующих заболеваний в стадии декомпенсации или обострения, которые могут повлиять на проведение исследования;
- высокий риск венозных тромбоэмболических осложнений;
- гинекологические заболевания: миома матки, трубно-перитонеальное или эндокринное бесплодие, пороки развития матки;
- инфекционные заболевания любой локализации (до завершения их лечения);
- отказ пациентки от участия в исследовании.
Всем пациенткам выполнили пайпель-биопсию эндометрия с дальнейшим гистологическим и иммуногистохимическим исследованием ― определяли экспрессию маркеров: VEGF ― для оценки ангиогенеза, TGF-β ― для оценки выраженности фиброза. Оценку степени экспрессии проводили полуколичественным методом по системе Histochemical score (H-score), определяли также уровень CD138 для верификации воспаления (ХЭ).
Для описания выраженности экспрессии на ста изучаемых клетках для каждого фактора использовали следующее правило: 0 ― нет окрашивания, 1 ― слабое окрашивание, 2 ― умеренное окрашивание, 3 ― сильное окрашивание; затем проводили подсчёт по формуле: H-score = Σ Pi×i, где Pi ― процент клеток, окрашенных с разной интенсивностью, i ― интенсивность окрашивания, выраженная в баллах, от 0 до 3.
Всех пациенток разделили на две группы: 1-я группа ― 44 пациентки с ХЭ и нарушением гемодинамики в эндометрии, 2-я группа ― 42 пациентки с ХЭ без нарушения микроциркуляции в эндометрии.
Статистический анализ результатов исследования проводили с помощью программы Statistica 10.0. В связи с малым объёмом выборки оценку различий между двумя независимыми группами осуществляли с использованием U-критерия Манна–Уитни. Для описания центральной тенденции данных предпочтение отдали медиане (Ме), что позволяет исключить статистические ошибки. Статистически значимыми считали различия, при которых вероятность ошибки (р) составляла 0,05 или ниже.
Исследование проведено в рамках диссертационной работы, в соответствии с этическими и юридическими нормами. Все пациентки подписали добровольное информированное согласие на участие в исследовании и публикацию их медицинских данных. Проведение исследования одобрено локальным этическим комитетом Башкирского государственного медицинского университета (протокол № 9 от 15.12.2021).
РЕЗУЛЬТАТЫ
Медиана возраста пациенток в 1-й группе составила 28 (21; 43) лет, во второй группе ― 27 (22; 44) лет. Статистически значимых различий по возрасту выявлено не было (p >0,05). При анализе клинико-биохимических показателей у женщин, участвовавших в исследовании, различия также оказались статистически незначимыми.
В нашем исследовании у всех пациенток в анамнезе имелись самопроизвольные выкидыши, медиана частоты которых составила 2 (0; 5). Последний самопроизвольный выкидыш произошёл не позднее 2019 года в обеих группах. У всех пациенток с нарушением кровотока в эндометрии имелись жалобы на нарушения менструального цикла по типу гипоменореи, что скорее всего связано с атрофией эндометрия. При оценке возраста менархе и продолжительности менструального цикла (МЦ) статистически значимых различий не выявлено (р >0,05).
По данным ультразвукового исследования установлено, что у всех пациенток выявлены от 3 до 4 косвенных признаков ХЭ у каждой пациентки (неоднородность толщины М-эхо, расширение полости матки до 0,3–0,7 мм за счёт жидкостного содержимого, гиперэхогенные образования в базальном слое эндометрия, участки сниженной эхогенности, гипоэхогенный контур полости матки). Статистически значимых различий между группами выявлено не было. При оценке М-эхо в 1-й группе медиана толщины М-эхо составила 3,2 (2,3; 6,8) мм, во 2-й группе ― 5,4 (3,8; 7,7) мм.
Морфологическая оценка эндометрия проведена в пролиферативную фазу менструального цикла на 7–8-й день цикла. По результатам гистологического исследования группы сопоставимы по морфологическим характеристикам. Сравнительная морфологическая характеристика эндометрия показана на рисунке 1. Диагноз ХЭ считали подтверждённым при наличии 3–4 признаков в биоптатах. Установлено, что в 1-й группе склероз сосудов эндометрия встречался чаще, чем во 2-й группе. По остальным параметрам статистически значимых различий не выявлено. Стоит отметить, что чаще всего в обеих группах встречался фиброз стромы эндометрия: в 1-й группе у 100% пациенток, во 2-й группе ― у 95,2%, что говорит о давности заболевания (рис. 2).
Рис. 1. Сравнительная морфологическая характеристика эндометрия у пациенток двух групп исследования (частота встречаемости признака, %).
Рис. 2. Эндометрий в фазе пролиферации (окраска гематоксилином и эозином, увеличение 100).
На рисунке 2 показан эндометрий в фазе пролиферации. Строма фиброзирована с инфильтрацией лимфоцитами (с формированием лимфоидных фолликулов), плазмоцитами преимущественно вокруг желёз, с участками разрастания соединительной ткани, с немногочисленными суженными сосудами. Часть желёз индифферентного типа с дистрофическими изменениями эпителия.
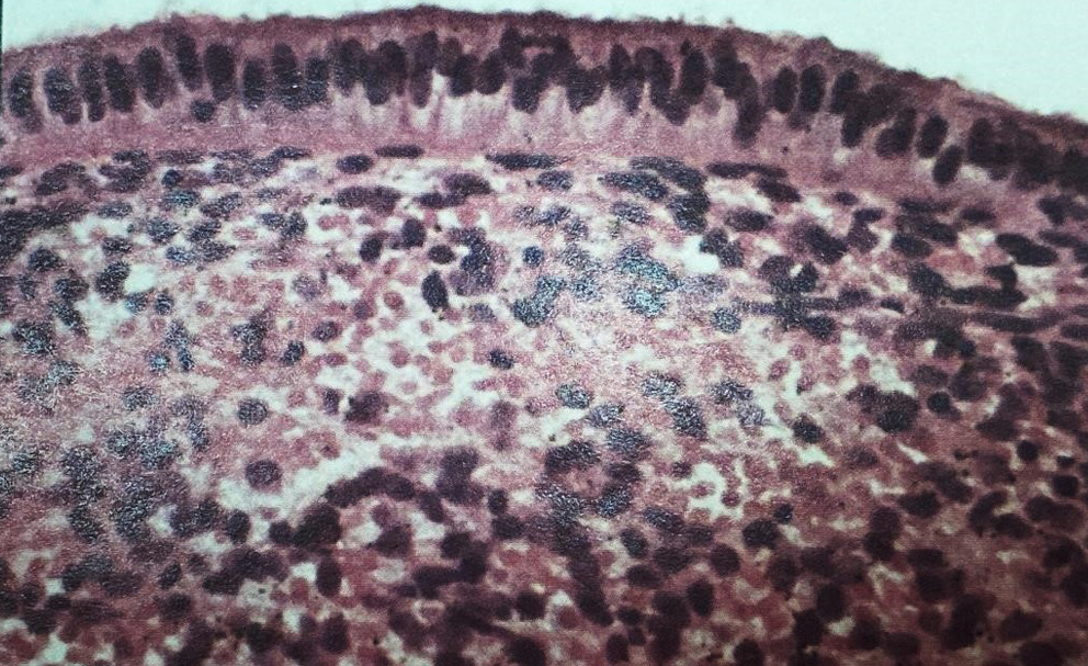
Эпителиальный слой, выстилающий полость матки, характеризовался деструктивными изменениями апикальной части эпителиоцитов, что проявлялось уменьшением объёма клетки и вакуолизацией цитоплазмы клетки, а иногда и ядра. Эти морфологические трансформации, сопровождающиеся разрушением клеточных структур, приводят к некротическим изменениям, набуханию цитоплазмы с последующим отрывом апикальной её части и к плотному расположению эпителиоцитов в полости матки. В целом, это показатель воспалительного процесса слизистой оболочки матки (рис. 3).
Рис. 3. Утолщение эпителиального слоя слизистой оболочки матки при хроническом эндометрите (окраска гематоксилином и эозином, увеличение 40).
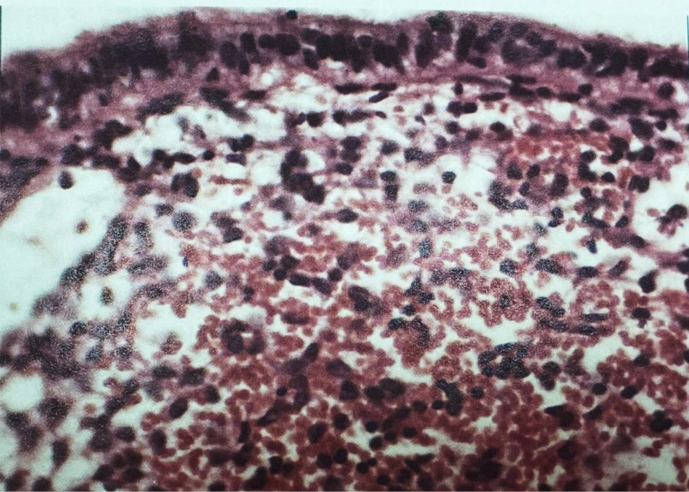
Отмечалось повышение проницаемости стенок микрососудов, а также повышение гидростатического, осмотического и онкотического давления в слизистой оболочке матки. Замедление кровотока в расширенных кровеносных сосудах сопровождалось нарушением реологических свойств крови с краевым стоянием лейкоцитов к эпителиоцитам капилляров и выходом лейкоцитов в окружающие ткани. При резком повышении давления в микроциркуляторном русле уже отмечался выход эритроцитов за пределы кровеносных сосудов (диапедез). В результате усиленная экссудация жидкой части крови и эмиграция лейкоцитов в слизистую оболочку матки способствовали отёку гистоструктур матки. Таким образом, в фазе экссудации формировался бесклеточный экссудат, а также клеточный экссудат воспалительного процесса слизистой оболочки матки (рис. 4).
Рис. 4. Выход эритроцитов за пределы сосудистого русла слизистой оболочки матки при хроническом эндометрите: микрофотография (окраска гематоксилином и эозином, увеличение 40).
При хроническом эндометрите определялись и зоны кровоизлияния в слизистой оболочке матки (рис. 5). Они занимали значительные участки, и при этом кровь вплотную прилегала к маточным железам, затрудняющим их пролиферацию и функционирование.
Рис. 5. Зона кровоизлияния в слизистой оболочке матки при хроническом эндометрите: микрофотография (окраска гематоксилином и эозином, увеличение 40).
В межклеточном веществе отмечалось накопление коллагеновых волокон с формированием гранулёмы как показателя хронического воспалительного процесса.
При иммуногистохимическом исследовании выявлены единичные плазматические клетки CD138 у пациенток в обеих группах, что ещё раз показывает давность процесса и отсутствие острого процесса в ткани эндометрия. В полученном материале провели оценку неоангиогенеза с помощью определения уровня экспрессии VEGF у женщин в обеих группах, для оценки выраженности фиброза определяли также экспрессию TGF-β в строме и в эпителии. Сравнительная характеристика экспрессии VEGF и TGF-β, выявленной при иммуногистохимическом исследовании, представлена в таблице 1.
Таблица 1. Сравнительная характеристика экспрессии VEGF и TGF-β при иммуногистохимическом исследовании, баллы (по шкале H-score)
Table 1. Comparative characteristics of VEGF and TGF-β expression in immunohistochemical study, scores (on the H-score scale)
Показатель | 1-я группа (n=44) | 2-я группа (n=42) | ||
эпителий | строма | эпителий | строма | |
VEGF | 140 (100; 184) | 135 (100; 215) | 184 (172; 280) | 190 (170; 220) |
TGF-β | 130 (100; 170) | 135 (95; 180) | 105 (70; 150) | 100 (70; 120) |
У пациенток 1-й группы экспрессия VEGF оказалась статистически достоверно ниже, чем у пациенток 2-й группы, что говорит о выраженности нарушений ангиогенеза. У пациенток 1-й группы при иммуногистохимическом исследовании выявлены также более высокие значения экспрессии TGF-β в эпителиальном и стромальном компоненте. Повышенная экспрессия TGF-β свидетельствует о выраженности фиброза у пациенток с нарушением кровотока в эндометрии.
ЗАКЛЮЧЕНИЕ
Таким образом, при изучении морфологической картины хронического эндометрита атрофической формы с нарушением гемодинамики отмечено образование рубцовой ткани, вызывающее нарушение циркуляции крови, что приводит к очаговым кровоизлияниям в слизистой оболочке матки. В целом, определяются все особенности хронического воспалительного процесса с признаками формирования гранулёмы и кровоизлияния. Перечисленные факторы стимулируют хронический воспалительный процесс и способствуют его самоподдержанию, и поэтому хроническое воспаление может иметь очень длительное течение.
При иммуногистохимическом исследовании у пациенток с ХЭ атрофической формы с нарушением гемодинамики в эндометрии обнаружено понижение экспрессии VEGF, а также повышение экспрессии TGF-β, что демонстрирует выраженность фиброза. Выявленные особенности служат поводом для дальнейшего изучения и поиска новых методов лечения ХЭ атрофической формы с нарушением гемодинамики.
ДОПОЛНИТЕЛЬНАЯ ИНФОРМАЦИЯ / ADDITIONAL INFO
Вклад авторов. Все авторы внесли существенный вклад в разработку концепции, проведение исследования и подготовку статьи, прочли и одобрили финальную версию перед публикацией.
Author contribution. All authors made a substantial contribution to the conception of the work, acquisition, analysis, interpretation of data for the work, drafting and revising the work, final approval of the version to be published and agree to be accountable for all aspects of the work.
Финансирование. Авторы заявляют об отсутствии внешнего финансирования при проведении исследования.
Funding source. This study was not supported by any external sources of funding.
Конфликт интересов. Авторы декларируют отсутствие явных и потенциальных конфликтов интересов, связанных с публикацией настоящей статьи.
Competing interests. The authors declares that there are no obvious and potential conflicts of interest associated with the publication of this article.
1 Институт дополнительного профессионального образования
About the authors
Gulnaz Kh. Gazizova
Bashkir State Medical University
Author for correspondence.
Email: karamelka5@inbox.ru
ORCID iD: 0000-0001-9529-3747
assistant
Russian Federation, Ufa, Republic of BashkortostanAlfiya G. Yashchuk
Bashkir State Medical University
Email: alfiya_galimovna@mail.ru
ORCID iD: 0000-0003-2645-1662
MD, Dr. Sci. (Med.), Рrofessor
Russian Federation, Ufa, Republic of BashkortostanAnton V. Maslennikov
Bashkir State Medical University
Email: mas-anton@yandex.ru
ORCID iD: 0000-0002-1349-747X
MD, Cand. Sci. (Med.), assistant professor
Russian Federation, Ufa, Republic of BashkortostanLiliana A. Dautova
Bashkir State Medical University
Email: lil.d5@yandex.ru
ORCID iD: 0000-0002-8281-5515
MD, Cand. Sci. (Med.), assistant professor
Russian Federation, Ufa, Republic of BashkortostanGyuzel’ Yu. Battalova
Bashkir State Medical University
Email: karamelka5@inbox.ru
ORCID iD: 0000-0002-1641-9952
MD, Dr. Sci. (Med.), Рrofessor
Russian Federation, Ufa, Republic of BashkortostanReferences
- Shurshalina AV. Khronicheskiy endometrit kak prichina narusheniy reproduktivnoy funktsii. Gynecology. 2012;14(4):16–18. (In Russ).
- Unanyan AL, Kossovich YM. Modern approaches to the management of patients with chronic endometritis. V.F. Snegirev Archives of Obstetrics and Gynecology. 2016;3(3):141–148. (In Russ). doi: 10.18821/2313-8726-2016-3-3-141-148
- Tabolova VK, Korneeva IE. Vliyanie khronicheskogo endometrita na iskhody programm vspomogatel’nykh reproduktivnykh tekhnologii: morfo-funktsional’nye i molekulyarno-geneticheskie osobennosti. Obstet Gynecol. 2013;(10):17–22. (In Russ).
- Simon C. Introduction: Do microbes in the female reproductive function matter? Fertil Steril. 2018;110(3):325–326. doi: 10.1016/j.fertnstert.2018.06.041
- Maged AM, Kamel AM, Abu-Hamila F, et al. The measurement of endometrial volume and sub-endometrial vascularity to replace the traditional endometrial thickness as predictors of in-vitro fertilization success. Gynecol Endocrinol. 2019;35(11):949–954. doi: 10.1080/09513590.2019.1604660
- Kavurmacı SA, Sahin G, Akdogan A, et al. Evaluating the role of endometrial colour Doppler dynamic tissue perfusion measurements in in vitro fertilisation success. J Obstet Gynaecol. 2022;42(5):1305–1311. doi: 10.1080/01443615.2021.1960292
- Abraham S, Sanjay G, Majiyd NA, et al. Encapsulated VEGF121-PLA microparticles promote angiogenesis in human endometrium stromal cells. J Genet Eng Biotechnol. 2021;19(1):23. doi: 10.1186/s43141-021-00118-1
- Wei Z, Han C, Li H, et al. Molecular Mechanism of Mesenchyme Homeobox 1 in Transforming Growth Factor β1-Induced P311 Gene Transcription in Fibrosis. Front Mol Biosci. 2020;(7):59. doi: 10.3389/fmolb.2020.00059
- Liu L, Yang H, Guo Ya, Yang G, Chen Yu. The impact of chronic endometritis on endometrial fibrosis and reproductive prognosis in patients with moderate and severe intrauterine adhesions: a prospective cohort study. Fertil Steril. 2019;111(5):1002–1010.e2. doi: 10.1016/j.fertnstert.2019.01.006
Supplementary files








