Clinical and morphological features of endometrial pathologies during the perimenopausal period
- Authors: Aliyeva F.T.1, Bryunin D.V.1, Paramonova N.B.1, Bakhvalova A.A.1, Dzhibladze T.A.1, Zuev V.M.1, Aliyeva F.T.1
-
Affiliations:
- I.M. Sechenov First Moscow State Medical University (Sechenov University)
- Issue: Vol 9, No 4 (2022)
- Pages: 213-219
- Section: Original study articles
- Submitted: 24.12.2022
- Accepted: 24.12.2022
- Published: 24.12.2022
- URL: https://archivog.com/2313-8726/article/view/119928
- DOI: https://doi.org/10.17816/2313-8726-2022-9-4-213-219
- ID: 119928
Cite item
Full Text
Abstract
BACKGROUND: Disorders leading to pathological (most commonly, hyperplastic) processes in the endometrium often occur during the perimenopausal period, in addition to the natural changes associated with a physiological decrease in the function of hormone-producing and hormone-dependent organs.
AIM: This study aimed to investigate the clinical and morphological features of endometrial pathological processes during the perimenopausal period.
MATERIALS AND METHODS: We examined 73 perimenopausal women with various endometrial pathologies. The mean age of the examined patients was 47.8±0.3 (45–51) years. All patients with perimenopausal endometrial pathologies underwent clinical, functional, endoscopic, and morphological examination.
RESULTS: Endometrial polyps, endometrial hyperplasia, chronic endometritis, and endometrial adenocarcinoma were present in 54.8%, 30.1%, 12.4%, and 2.7% of perimenopausal patients examined, respectively.
The most common clinical manifestations of endometrial pathologies in the perimenopause were polymenorrhea, acyclic menorrhagia, and menorrhagia in 42.4%, 39.7%, and 27.4% of patients, respectively. Moreover, a glandular fibrous endometrial polyp was diagnosed in 61.3% of patients with polymenorrhea and 50% of patients with acyclic bloody discharge and menorrhagia.
CONCLUSIONS: The revealed variety of clinical signs, including their absence in some cases, as well as the diversity of hysteroscopic and morphological endometrial pathologies in perimenopausal women, up to the detection of endometrial cancer, confirmed the need for both ultrasound screening and mandatory hysteroscopy with separate diagnostic endometrial curettage in echo signs of intrauterine pathologies for timely diagnosis and adequate treatment.
Full Text
ВВЕДЕНИЕ
Пременопаузальный период ― переходный в жизни женщины, он характеризуется началом инволютивных изменений и нарушением гормональной регуляции женской репродуктивной системы, а также сопровождается многообразием нейровегетативных, психоэмоциональных, вазомоторных и обменно-эндокринных симптомов. Вместе с тем в пременопаузальном периоде наряду с закономерными изменениями, связанными с физиологическим снижением функции гормонопродуцирующих и гормонозависимых органов, достаточно часто возникают нарушения, приводящие к патологическим, чаще всего гиперпластическим, процессам в эндометрии, которые проявляются в первую очередь дисфункциональными маточными кровотечениями [1–3].
С учётом высокой частоты сопутствующих заболеваний и обменных нарушений у женщин, находящихся в пременопаузальном периоде, возрастает риск развития предраковых процессов, таких как атипическая гиперплазия эндометрия, и рака эндометрия, что также проявляется аномальными маточными кровотечениями [4–6].
Исследования, проведенные M.E. Pennant и соавт. [2], позволили установить, что в пременопаузе из 100 тыс. женщин 9 больны раком эндометрия, а наличие патологических маточных кровотечений в пременопаузе существенно увеличивает риск развития рака эндометрия.
Факторами риска развития рака эндометрия в пременопаузальном периоде являются гиперпластические процессы эндометрия, ожирение, синдром поликистозных яичников, ановуляция, наличие бесплодия в анамнезе, сахарный диабет 2-го типа [3, 4].
В работе С.Я. Ярман и соавт. [7] на основании ретроспективного анализа 700 историй болезни представлена клинико-морфологическая характеристика женщин перименопаузального периода с маточными кровотечениями. Авторы считают, что маточные кровотечения в перименопаузе следует называть аномальными, и выделяют циклические аномальные маточные кровотечения — меноррагии и ациклические аномальные маточные кровотечения — метроррагии, а также их сочетание — менометроррагии. Дисфункциональное маточное кровотечение, по мнению авторов, можно определить как аномальное маточное кровотечение без признаков органической генитальной или экстрагенитальной патологии. В работе показано, что наиболее часто (45,9%) аномальные маточные кровотечения возникают у женщин в возрасте от 46 до 50 лет (46,7±0,1 года); при этом у пациенток с аномальным маточным кровотечением в перименопаузе ожирение встречается чаще (26,5%), чем у здоровых женщин, и частота его прогрессивно увеличивается с возрастом. При гистологическом исследовании эндометрия в 59,7% случаев выявляется гиперплазия эндометрия без атипии, в 22,4% случаев ― полипы эндометрия, в 1,4% случаев ― атипические изменения эндометрия.
S. Sharma и соавт. [8] провели исследование по определению типов и частоты различных патологий эндометрия у 100 пациенток с аномальными маточными кровотечениями. Авторы выделили две категории пациенток с маточными кровотечениями в зависимости от гистологических изменений эндометрия.
К первой категории отнесли женщин, у которых маточные кровотечения наблюдались на фоне так называемых неорганических причин, к которым относятся:
- секреторный эндометрий;
- пролиферативный эндометрий;
- слабопролиферативный эндометрий;
- децидуальная реакция эндометрия.
Вторую категорию составили женщины с маточными кровотечениями на фоне органических изменений эндометрия, у которых при гистологическом исследовании выявлялись такие патологические процессы, как эндометрит, карцинома эндометрия, гиперплазия эндометрия, полип эндометрия, а также изменения эндометрия, связанные с беременностью.
Результаты исследования показали, что в 61% случаев аномальные маточные кровотечения были вызваны неорганическими причинами с наиболее частыми гистопатологическими находками в виде пролиферативного эндометрия.
Часть случаев (27%) аномальных маточных кровотечений были вызваны органическими причинами, при этом состояния, связанные с беременностью, встречались наиболее часто и были обнаружены у 59,2% пациенток.
Следует отметить, что среди 100 обследованных женщин выявили только по 1 случаю полипа эндометрия, гиперплазии эндометрия и аденокарциномы эндометрия, при этом все три пациентки находились в постменопаузальном периоде.
Таким образом, в современных научных исследованиях имеются противоречивые данные о частоте и характере структурных изменений и патологических процессов в эндометрии у женщин пременопаузального периода, что определило цель данного научного исследования.
Целью данного исследования стало изучение клинико-морфологических особенностей патологических процессов эндометрия в пременопаузальном периоде.
МАТЕРИАЛЫ И МЕТОДЫ
Исходя из цели исследования, были обследованы 73 женщины с различной патологией эндометрия в пременопаузальном возрасте. Средний возраст обследованных больных составил 47,8±0,3 (45–51) года. Изучение менструальной и репродуктивной функций позволило установить, что менархе у данной группы пациенток отмечалось в среднем в 11,0±0,2 (11–17) года, длительность менструального цикла была в пределах 27,2±0,5 (21–45) дня, длительность менструаций ― 5,1±0,1 (3–8) дня. Половая жизнь отмечалась с 19,5±0,6 (16–31) года. Количество беременностей составило в среднем 5,2±0,02 (1–10), родов ― 1,7±0,1 (1–4), абортов ― 1,6±0,1 (0–4), самопроизвольных выкидышей ― 1,9±0,3 (0–4).
У всех больных с патологией эндометрия, находящихся в пременопаузальном возрасте, провели клинические, функциональные, эндоскопические и морфологические исследования.
Трансвагинальное ультразвуковое исследование (УЗИ) осуществляли на ультразвуковом аппарате Toshiba SSH–140A (Япония) с трансвагинальным конвексным датчиком с частотой 6,5 МГц. Оценивали размеры матки, структуру миометрия, толщину и эхоструктуру эндометрия, структуру и размеры яичников.
При гистероскопии использовали гистероскоп фирмы «Karl Storz» (Германия) с наружным диаметром дистальной части 5,5 мм.
Взятие биопсийного материала у пациенток выполняли во время гистероскопического/гистерорезектоскопического исследования. Все пациентки, участвующие в исследовании, в соответствии с законами РФ подписали необходимые документы о добровольном информированном согласии на медицинское вмешательство и публикацию полученных данных (без идентификации личности).
Материал для проведения гистологического исследования (соскоб эндометрия) фиксировали в 10% забуференном растворе формалина. Изучали серийные парафиновые срезы толщиной 4 мкм. Срезы окрашивали гематоксилином и эозином, пикрофуксином по Ван Гизону, проводили PAS-реакцию по общепринятым методикам.
Полученные результаты подвергали статистической обработке с применением стандартных компьютерных программ Statgraph, предназначенных для параметрических и непараметрических методов расчёта средних значений.
РЕЗУЛЬТАТЫ
В результате проведённого исследования установлена частота различных клинических проявлений патологии эндометрия в пременопаузальном периоде. Особенности клинических проявлений у обследованных пациенток представлены в таблице 1.
Таблица 1. Особенности клинических проявлений патологии эндометрия в пременопаузальном периоде (n=73)
Table 1. Features of clinical manifestations of endometrial pathology in the premenopausal period (n=73)
Клинические проявления патологии эндометрия в пременопаузальном периоде | Абс. | % |
Полименорея | 31 | 42,4 |
Ациклические кровянистые выделения | 29 | 39,7 |
Меноррагия | 20 | 27,4 |
Опсоменорея | 14 | 19,2 |
Боли в пояснице и внизу живота | 12 | 16,4 |
Пройоменорея | 9 | 12,3 |
Отсутствие клинических проявлений | 4 | 5,5 |
Как видно из таблицы 1, к наиболее частым клиническим проявлениям патологии эндометрия в пременопаузе относятся полименорея (42,4%), ациклические кровянистые выделения (39,7%) и меноррагия (27,4,0%). Реже встречались такие клинические проявления, как опсоменорея (19,2%), боли в пояснице и внизу живота (16,4%), пройоменорея (12,3%). Следует отметить, что всего у 4 больных из 73 (5,5%), у которых патологию эндометрия заподозрили при плановом трансвагинальном УЗИ, клинические проявления отсутствовали.
При трансвагинальном УЗИ у пациенток с патологией эндометрия в пременопаузальном периоде выявили также низкие эхографические показатели длины (56,6±0,2 мм) и ширины матки (41,0±0,3 мм), размеров яичников, существенное увеличение переднезаднего размера матки (54,0±0,3 мм) и толщины эндометрия (10,1±0,1 мм) (p <0,05).
У 37 пациенток при трансвагинальном УЗИ обнаружены эхопризнаки полипа эндометрия, у 26 пациенток ― гиперплазии эндометрия, у 4 ― полип цервикального канала, у 6 пациенток ― сочетание полипа и гиперплазии эндометрия.
Следует отметить, что у 17 пациенток из 37 полип эндометрия сочетался с миомой матки, у 4 ― с аденомиозом, у 3 ― и с миомой, и с аденомиозом. У 9 из 26 пациенток гиперплазия эндометрия сочеталась с миомой матки, у 5 ― с аденомиозом, у 6 ― как с миомой, так и с аденомиозом.
По данным трансвагинального УЗИ полип эндометрия характеризовался повышенной эхогенностью, неоднородной структурой эндометрия с гиперэхогенными включениями.
При гистероскопии у 33 пациенток диагностировали гиперплазию эндометрия, у 40 пациенток ― полип эндометрия.
По данным гистероскопии гиперплазия эндометрия отличалась неравномерным диффузным утолщением эндометрия с выраженной складчатостью.
Полипы эндометрия белого цвета, с мягкой консистенцией, диаметром от 3 до 20 мм были выявлены у 40 пациенток: по передней стенке у 20 (50%) больных, по правой и левой боковой стенке матки на широком основании ― у 18 (45%) больных, по задней стенке матки ― у 2 (5%) больных. У 3 больных с полипом эндометрия обнаружили внутриматочные синехии, при которых отмечалась деформация полости матки за счёт фиброзных сращений.
Сосудистый рисунок не был выражен у 53 (72,6%) больных. У 20 (27,4%) пациенток отмечалась выраженность сосудистого рисунка.
У 7 (9,6%) больных гиперплазия эндометрия сочеталась с субмукозной лейомиомой, которая проявлялась деформацией полости матки за счёт образования на широком основании, плотной консистенции, белого цвета, с сосудистой сетью.
Результаты гистологического исследования соскобов эндометрия у больных с патологией эндометрия в пременопаузальном периоде представлены в таблице 2.
Таблица 2. Патологические процессы эндометрия в пременопаузальном периоде по данным гистологического исследования (n=73)
Table 2. Pathological processes of the endometrium in the premenopausal period according to histological examination (n=73)
Результаты гистологического исследования | Абс. | % |
Полип эндометрия: · железисто-фиброзный · железисто-фиброзный с очаговым аденоматозом | 40 39 1 | 54,8 53,4 1,4 |
Гиперплазия эндометрия: · без атипии · атипическая | 22 21 1 | 30,1 28,7 1,4 |
Хронический эндометрит | 9 | 12,4 |
Аденокарцинома эндометрия | 2 | 2,7 |
Как видно из таблицы 2, при гистологическом исследовании соскобов эндометрия у пациенток с различными клиническими, функциональными и эндоскопическими проявлениями патологии эндометрия в пременопаузальном периоде были диагностированы:
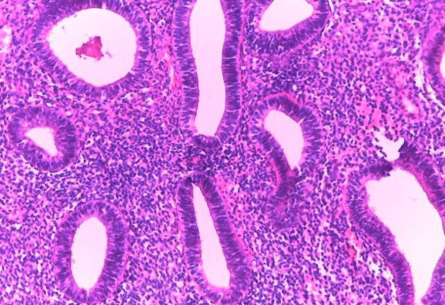
1) полип эндометрия ― у 40 (54,8%) больных, из них:
- железисто-фиброзный полип ― у 39 (53,4%) женщин (рис. 1);
- железисто-фиброзный полип с очаговым аденоматозом ― у 1 (1,4%) женщины.
Рис. 1. Железисто-фиброзный полип эндометрия (окраска гематоксилином и эозином, ×200).
2) гиперплазия эндометрия ― у 22 (30,1%) больных, из них:
- гиперплазия эндометрия без атипии ― у 21 (28,7%) женщины (рис. 2); при этом у 7 пациенток гиперплазия эндометрия без атипии сочеталась с субмукозной лейомиомой;
- атипическая гиперплазия ― у 1 (1,4 %) женщины;
Рис. 2. Железистая гиперплазия без атипии (окраска гематоксилином и эозином, ×200).
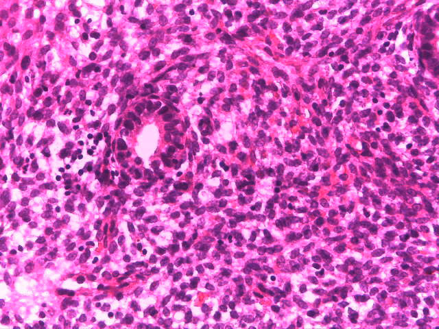
3) хронический эндометрит ― у 9 (12,4%) больных (рис. 3).
Рис. 3. Хронический эндометрит (окраска гематоксилином и эозином, ×400).
4) аденокарцинома эндометрия ― у 2 (2,7%) больных.
Гистологически хронический эндометрит и аденокарцинома выявлены у женщин с гистероскопической картиной гиперплазии эндометрия.
Таким образом, по данным нашего исследования, наиболее частой патологией эндометрия у женщин пременопаузального возраста является полип эндометрия, который диагностирован в 40 (54,8%) случаях. При этом у одной (1,4%) пациентки в ткани полипа обнаружили предраковые изменения ― участки атипической гиперплазии (очаговый аденоматоз). В 22 (30,1%) случаях диагностирована гиперплазия эндометрия, в 1 (1,4%) из них выявлена атипическая гиперплазия. В 7 (31,8%) случаях у женщин с гиперплазией эндометрия в соскобах также визуализировали фрагменты подслизистой лейомиомы. В 9 (12,4%) случаях больным поставили диагноз хронического эндометрита, у 2 (2,7%) пациенток диагностировали аденокарциному эндометрия.
При сопоставлении клинических данных с данными гистологического исследования установлено, что у больных с полименореей чаще всего диагностировали железисто-фиброзный полип эндометрия (61,3%), реже отмечалась гиперплазия эндометрия без атипии (22,6%) и хронический эндометрит (6,4%). У пациенток, основными клиническими симптомами у которых были ациклические кровянистые выделения и меноррагия, при морфологическом исследовании также наиболее часто диагностировали железисто-фиброзный полип эндометрия (50%) и гиперплазию эндометрия без атипии (35%).
У женщин с предраковыми процессами (атипической гиперплазией и аденоматозным полипом) и раком эндометрия основными клиническими проявлениями были ациклические кровянистые выделения в сочетании с меноррагией и нарушением менструального цикла по типу пройоменореи.
Таким образом, в результате проведённого нами исследования установлено, что наиболее частыми клиническими проявлениями патологии эндометрия у женщин в пременопаузальном периоде являлись полименорея (42,4%), ациклические кровянистые выделения (39,7%) и меноррагия (27,4%), и всего в 5,5% случаев клинические симптомы отсутствовали.
Наиболее частыми гистологическими находками при патологии эндометрия у женщин в пременопаузальном периоде были полипы эндометрия ― 54,8%, из них 97,5% имели строение железисто-фиброзных полипов, а также гиперплазия эндометрия ― 30,1% (при этом 95,5% составила гиперплазия эндометрия без атипии). В пременопаузальном периоде предраковые процессы в эндометрии выявили у 2,7% женщин (полип эндометрия с очаговой атипической гиперплазией и атипическая гиперплазия эндометрия), в таком же числе случаев (2,7%) диагностировали рак эндометрия (аденокарциному).
Аденокарциному эндометрия при гистероскопическом исследовании визуализировали в виде диффузной гиперплазии эндометрия, что не позволяет диагностировать неопластический процесс эндометрия по данным гистероскопии и требует обязательного проведения морфологического исследования соскоба эндометрия у всех больных с патологией эндометрия.
ЗАКЛЮЧЕНИЕ
Выявленное многообразие клинических симптомов, а также отсутствие их в ряде случаев, многообразие гистероскопических и морфологических вариантов патологии эндометрия у женщин в пременопаузальном периоде, вплоть до обнаружения рака эндометрия, позволили в очередной раз подтвердить необходимость как скринингового УЗИ, так и обязательного вмешательства в объёме гистероскопии и раздельного диагностического выскабливания эндометрия при эхопризнаках внутриматочной патологии для своевременной диагностики и адекватного лечения в первую очередь предрака и рака эндометрия.
ДОПОЛНИТЕЛЬНАЯ ИНФОРМАЦИЯ / ADDITIONAL INFO
Вклад авторов. Все авторы внесли существенный вклад в разработку концепции, проведение исследования и подготовку статьи, прочли и одобрили финальную версию перед публикацией.
Author contribution. All authors made a substantial contribution to the conception of the work, acquisition, analysis, interpretation of data for the work, drafting and revising the work, final approval of the version to be published and agree to be accountable for all aspects of the work.
Финансирование. Авторы заявляют об отсутствии внешнего финансирования при проведении исследования.
Funding source. This study was not supported by any external sources of funding.
Конфликт интересов. Авторы декларируют отсутствие явных и потенциальных конфликтов интересов, связанных с публикацией настоящей статьи.
Competing interests. The authors declares that there are no obvious and potential conflicts of interest associated with the publication of this article.
About the authors
Fidan T. Aliyeva
I.M. Sechenov First Moscow State Medical University (Sechenov University)
Author for correspondence.
Email: fidan.alieva.95@mail.ru
ORCID iD: 0000-0001-6274-6834
post-graduate student
Russian Federation, MoscowDmitry V. Bryunin
I.M. Sechenov First Moscow State Medical University (Sechenov University)
Email: bryun777@mail.ru
ORCID iD: 0000-0002-5969-4217
MD, Dr. Sci. (Med.), Professor
Russian Federation, MoscowNina B. Paramonova
I.M. Sechenov First Moscow State Medical University (Sechenov University)
Email: paramonova_nina@mail.ru
ORCID iD: 0000-0001-5380-7113
MD, Cand. Sci. (Med.)
Russian Federation, MoscowAlla A. Bakhvalova
I.M. Sechenov First Moscow State Medical University (Sechenov University)
Email: allbak0202@yandex.ru
ORCID iD: 0000-0002-3966-3296
MD, Cand. Sci. (Med.), obstetrician-gynecologist
Russian Federation, MoscowTea A. Dzhibladze
I.M. Sechenov First Moscow State Medical University (Sechenov University)
Email: djiba@bk.ru
ORCID iD: 0000-0003-1540-5628
MD, Dr. Sci. (Med.), Professor
Russian Federation, MoscowVladimir M. Zuev
I.M. Sechenov First Moscow State Medical University (Sechenov University)
Email: vlzuev@bk.ru
ORCID iD: 0000-0001-8715-2020
MD, Dr. Sci. (Med.), Professor
Russian Federation, MoscowFarakh T. Aliyeva
I.M. Sechenov First Moscow State Medical University (Sechenov University)
Email: fereh.alieva.95@mail.ru
ORCID iD: 0000-0003-1789-9182
postgraduate student
Russian Federation, MoscowReferences
- Rosengarten AM. Perimenopausal Bleeding: How to Investigate and Treat. The Canadian Journal of Diagnosis. 2012;29(8):37–40.
- Pennant ME, Mehta R, Moody P, et al. Premenopausal abnormal uterine bleeding and risk of endometrial cancer. BJOG. 2017;124(3):404–411. doi: 10.1111/1471-0528.14385
- Giannella L, Cerami LB, Setti T, Bergamini E. Prediction of Endometrial Hyperplasia and Cancer among Premenopausal Women with Abnormal Uterine Bleeding. Biomed Res Int. 2019;2019:8598152. doi: 10.1155/2019/8598152
- Colombo N, Preti E, Landoni F, Carinelli S, Colombo A. Endometrial cancer: ESMO Clinical Practice Guideines for diagnosis, treatment and follow-up. Ann Oncol. 2013;24 Suppl. 6:vi33–38. doi: 10.1093/annonc/mdt353
- Khan A, Khandelwal R, Arya S, Pant H. Study of endometrial pathology in abnormal uterine bleeding. Int J Biomed Advance Research. 2017;8(2):38–43. doi: 10.7439/ijbar.v8i2.3916
- Mahapatra M, Mishra P. Clinicopathological evalution of abnormal uterine bleeding. J Health Research Reveiws. 2015;2(2):45–49. doi: 10.4103/2394-2010.160904
- Yarman SA, Abashin VG. Women with abnormal uterine bleeding in perimenopausal period clinical morphological characteristics. Journal of Obstetrics and Womens Diseases. 2007;LVI(3):86–91. (In Russ)
- Sharma S, Makaju R, Shrestha S, Shrestha A. Histopathological Findings of Endometrial Samples and its Correlation Between the Premenopausal and Postmenopausal Women in Abnormal Uterine Bleeding. Kathmandu Univ Med J. 2014;12(48):275–278. doi: 10.3126/kumj.v12i4.13734
Supplementary files






