Morphological pattern and misdiagnosis in polycystic ovarian syndrome
- Authors: Sosnova E.A.1, Gracheva T.S.1, Demura T.A.1, Krot M.A.1
-
Affiliations:
- I.M. Sechenov First Moscow State Medical University (Sechenov University)
- Issue: Vol 9, No 3 (2022)
- Pages: 143-151
- Section: Original study articles
- Submitted: 23.09.2022
- Accepted: 23.09.2022
- Published: 23.09.2022
- URL: https://archivog.com/2313-8726/article/view/111029
- DOI: https://doi.org/10.17816/2313-8726-2022-9-3-143-151
- ID: 111029
Cite item
Abstract
INTRODUCTION: Polycystic ovarian syndrome (PCOS) is currently one of the most common diseases in women. Ovarian dysfunction (irregular menstrual cycle and anovulation), hyperandrogenism, and polycystic ovarian morphology are the most frequent manifestations of the syndrome. Its main macroscopic sign is bilateral enlargement of the ovaries with multiple cystic and atretic follicles. Moreover, an ovarian biopsy is usually performed in addition to clinical examination allowing for an accurate diagnosis and management.
AIM: In this study, we sought to analyze the morphological verification of PCOS.
MATERIALS AND METHODS: We analyzed 121 patients admitted to Moscow hospitals for surgical treatment diagnosed of PCOS by pathologists. Initially, PCOS was diagnosed at the outpatient examination. Thus, 121 women of reproductive age were included in the study after excluding tubal-peritoneal factors, male infertility factors, and menstrual dysfunction. Intraoperatively, all patients (n=121) were sampled for histological examination.
The patients were referred to different gynecological hospitals: a municipal clinical hospital (group 1, n=54), a research center (group 2, n=48) and a commercial clinic (group 3, n=19). We processed data using parametric and non-parametric me thods in the STATISTICA Base software package. Arithmetic means, standard deviations, medians, and percentiles were equally determined. Confidence intervals for the arithmetic mean were determined using on the Student-t distribution. Moreover, we determined the 95% confidence intervals to the frequencies and the significance of differences in frequencies between the groups using binomial distribution and the Chi-square test, respectively.
Some indicators exhibited significantly different distributions from the norm; therefore, non-parametric Mann-Whitney (p2) and Wilcoxon criteria were further applied. Differences were considered significant at p <0.05.
RESULTS: Histological findings in 121 (100%) women of reproductive age with a clinical diagnosis of PCOS after surgical treatment were analyzed. After primary analysis, the clinical diagnosis was not confirmed in 78 (64%) patients, and histological findings of PCOS or PCOS that could not be excluded were obtained for only 43 (36%) women. Re-examination of histological samples from these 43 women let to the identifying of two groups of patients: group 1 with a typical histological pattern of PCOS (n=6, 14%) and group 2 with the so-called PCOS-like conditions (n=37, 86%).
CONCLUSIONS: Significant differences were found between the morphological pattern of true PCOS and PCOS-like conditions. Thus, the final diagnosis should made clinically and through imaging, as well as through mandatory morphological examination of ovarian biopsy specimens after surgical treatment.
Full Text
BACKGROUND
Polycystic ovarian syndrome (PCOS), or Stein–Leventhal syndrome, is a disease that affects the structure and function of the ovaries, characterized by ovarian hyperandrogenism with disruption of menstrual and generative functions. Currently, PCOS is one of the pressing problems of gynecological endocrinology and one of the main causes of infertility in women of reproductive age [1]. PCOS is reported in women of reproductive age, and the disease incidence is quite variable because of the heterogeneity of clinical and endocrinological manifestations and their ambiguous assessments. In the last decade, the number of patients without typical manifestations of PCOS has increased.
PCOS causes 55–91% of cases of anovulatory infertility, which represents an important problem for women and society [2]. The first histological description of polycystic ovaries was made in 1721 by the Italian physician Antonio Vallisneri (1661–730). In 1893, the Russian obstetrician-gynecologist Kronid Fedorovich Slavyansky (1847–1898) first described the clinical presentation of PCOS [3]. In patients with PCOS, the morphofunctional characteristics of the ovaries have some features that represent a serious obstacle to the implementation of reproductive function in women of childbearing age. With PCOS, folliculogenesis is disrupted, the formation of follicles at the antral stage is delayed, and the number of primordial follicles remains intact. In addition, the dominant follicle is not stimulated, which is manifested by impaired ovulation and changes in the morphological structure and increased volume of the ovary [4]. Microscopically, numerous cystic-atretic follicles with hyperplasia of the theca interna are present under the thickened, fibrotic surface layer of the cortex, and the corpora lutea and corpora albicans are absent [5].
This study aimed to analyze the coincidence of the morphological verification of the diagnosis of PCOS with its clinical manifestation.
MATERIALS AND METHODS
The clinical interpretation of the diagnosis of PCOS by pathologists was analyzed using a cohort of 121 patients admitted for surgical treatment in Moscow hospitals.
Initially, the diagnosis of PCOS was made at the outpatient examination stage. This study included 121 women of reproductive age with an initial diagnosis of PCOS, excluding other factors of infertility. The inclusion criteria were PCOS as a diagnosis upon admission for hospitalization and ruled out salpingian peritoneal factor of infertility and male factor of infertility.
At the preoperative stage, all patients underwent general clinical, clinical, laboratory, and instrumental (ultrasound [US]) examinations. All patients underwent surgical intervention after obtaining informed voluntary consent to participate in the study. Intraoperatively, material was collected from all patients (n = 121) for histological examination of the ovaries.
Group 1 included 54 female patients aged 21–37 (average age, 28.74 ± 3.75) years who were referred to a city clinical hospital, group 2 included 48 female patients aged 22–42 (average age, 28.81 ± 3.67) years who were referred to the research center, and group 3 included 19 patients aged 25–41 (average age, 32.89 ± 3.69) years, who were referred for treatment to a commercial clinic. Statistical data processing was performed using the STATISTICA software package utilizing parametric and nonparametric methods. Arithmetic means, standard deviations, medians, and percentiles of the indicators were calculated. Confidence limits for the arithmetic mean were calculated based on the Student distribution. The exact 95% confidence limits for frequencies were calculated based on binomial distribution, and the significance of differences in frequencies in groups was calculated using the chi-square test.
Because some of the studied indicators had distributions significantly different from normal, nonparametric Mann–Whitney (p2) and Wilcoxon tests were also used. Differences were considered statistically significant at p <0.05.
This study was approved by the Local Ethics Committee of the I.M. Sechenov First Moscow State Medical University (extract from the LEC protocol dated December 17, 2021, No. 2321). All patients signed an informed consent to participate in the study and publish their medical data.
RESULTS
The results of histological examination of ovarian tissues obtained from women of reproductive age diagnosed with PCOS after surgical treatment were analyzed. At the prehospital stage, in all patients (n = 121), the diagnosis of PCOS was confirmed using US criteria. Histological studies were performed in 121 patients. After analyzing the histological findings, the diagnosis of PCOS was not confirmed in 78 (64%) patients, and histological findings in the form of “PCOS” or “PCOS cannot be ruled out” were obtained only in 43 (36%) women.
Morphological macroscopic signs of PCOS included enlarged ovaries, grayish color, smooth surface, and high density. The section showed cystic cavities (atretic follicles). Significant thickening of the tunica albuginea, dystrophic and atrophic changes in the follicles, a decrease in the number of primordial and an increase in the number of cystic-atretic follicles, and the absence of mature follicles and corpora luteum were microscopically noted. Follicles of varying degrees of maturity were identified [6–7]. Sclerotic changes were obvious in the cortex, medulla, and vessels of the ovaries, as well as hyperplasia of the cells of the inner lining of the follicles. In each ovary, changes typical of Stein–Leventhal syndrome may be heterogeneous. In Stein–Leventhal syndrome, the size of the uterus is slightly smaller than normal, and various changes are noted in the endometrium, from atrophy to hyperplastic processes [8–9].
The authors and pathologists reviewed and analyzed 43 slides containing histological materials from patients with a conditionally confirmed diagnosis of PCOS. After a repeated review of the histological material (slides), two groups were identified. Group 1 included patients with typical histological signs of PCOS (n=6, or 14%), and group 2 included patients with PCOS-like conditions (n=37, or 86%). Histological description of specimens from patients with PCOS-like conditions showed no typical signs of PCOS. The histological picture was represented by follicular cysts without epithelial lining, hyperplasia, sclerosis and fibrosis of the stroma, numerous sclerotic vessels, corpus albicans, a cyst without epithelial lining, corpus luteum with hemorrhage, dystrophically altered granulosa cells, and numerous follicles of varying degrees of maturity.
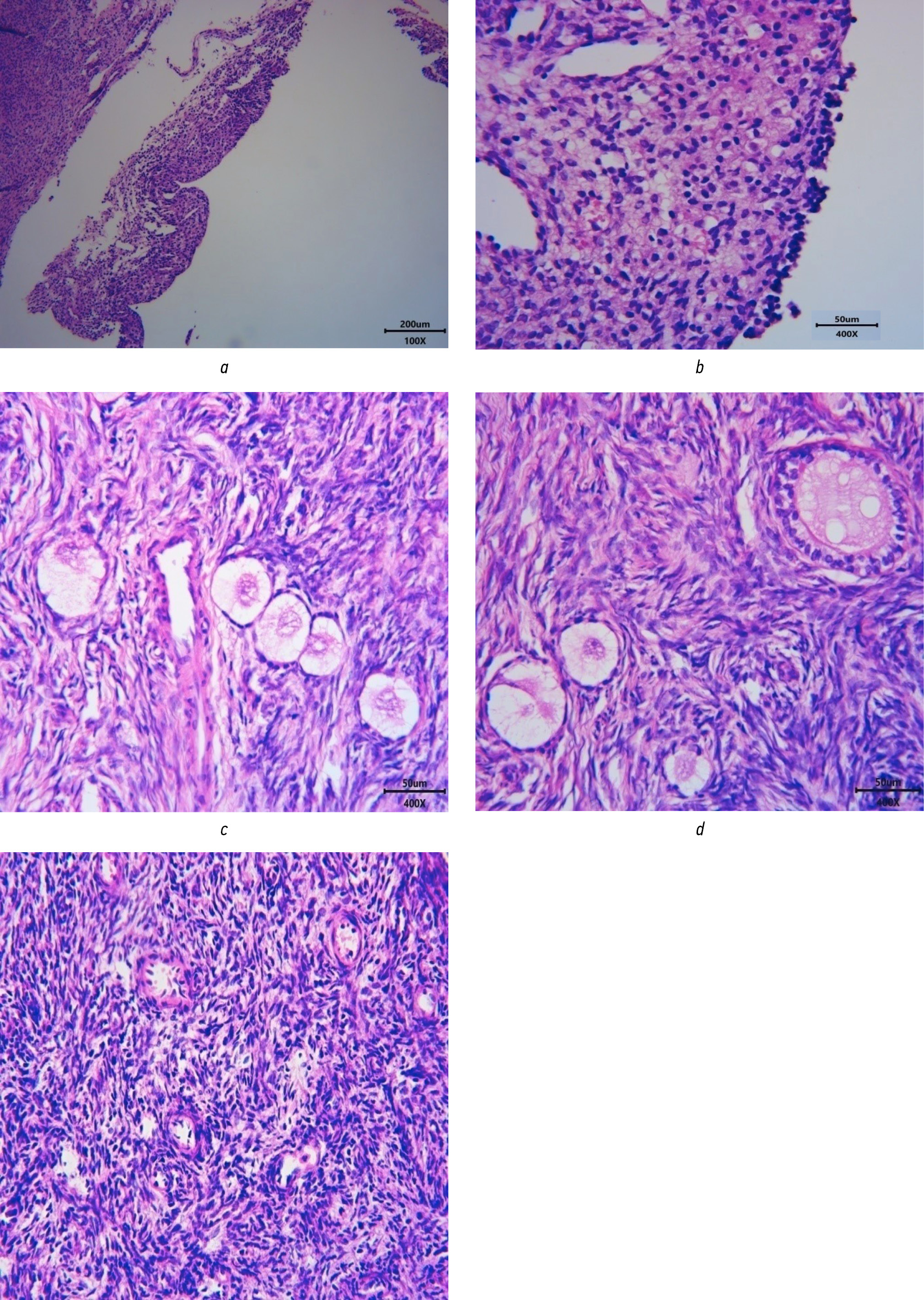
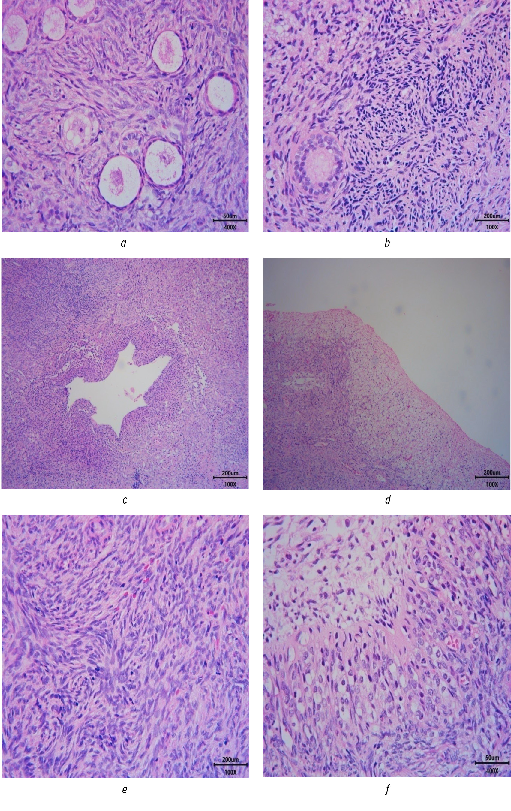
Figures 1–5 present histological images of slides from patients with PCOS-like conditions.
Fig. 1. Microscopic examination of an ovarian biopsy: a ― cyst without epithelial lining; b ― yellow body with hemorrhage; c ― pronounced hypercellularity and stroma hyperplasia.
Fig. 2. Microscopic examination of an ovarian biopsy: a ― follicular cyst without epithelial lining; b ― hyperplasia and sclerosis of the stroma with numerous sclerosed vessels; c ― white body.
Fig. 3. Microscopic examination of an ovarian biopsy: a, b ― a large follicular cyst with signs of luteinization, exiled by dystrophically altered granulosa cells; c, d ― numerous follicles of varying degrees of maturity; e ― numerous vessels with sclerosed and thickened wall, as well as stroma sclerosis.
Fig. 4. Microscopic examination of the ovarian biopsy: a, b ― several large follicular cysts lined with granulosa cells with dystrophic changes; c ― cystic-atresized follicles, some with signs of dystrophy and calcification; d, e ― hypercellularity and numerous vessels of the stroma.
Fig. 5. Microscopic examination of the ovarian biopsy: a, b ― numerous primordial follicles are detected; c ― cystic-atresized follicle lined with granulose cells in several layers; d ― yellow body; e, f ― stroma fibrosis.
CONCLUSION
The analysis of correspondence between the clinical diagnosis of PCOS and its morphofunctional manifestations revealed pronounced differences between true PCOS and PCOS-like conditions. Clinical and US criteria for PCOS do not always enable correct interpretation of the existing manifestations. Apparently, in the final interpretation of the diagnosis of PCOS, if possible, a morphological study of ovarian biopsies is recommended, which will significantly reduce the frequency of unjustified surgical interventions.
ADDITIONAL INFO
Author contribution. All the authors made a substantial contribution to the conception of the work, acquisition, analysis, interpretation of data for the work, drafting and revising the work, final approval of the version to be published and agree to be accountable for all aspects of the work.
Funding source. This study was not supported by any external sources of funding.
Competing interests. The authors declares that there are no obvious and potential conflicts of interest associated with the publication of this article.
ДОПОЛНИТЕЛЬНАЯ ИНФОРМАЦИЯ
Вклад авторов. Все авторы внесли существенный вклад в разработку концепции, проведение исследования и подготовку статьи, прочли и одобрили финальную версию перед публикацией.
Финансирование. Авторы заявляют об отсутствии внешнего финансирования при проведении исследования.
Конфликт интересов. Авторы декларируют отсутствие явных и потенциальных конфликтов интересов, связанных с публикацией настоящей статьи.
About the authors
Elena A. Sosnova
I.M. Sechenov First Moscow State Medical University (Sechenov University)
Author for correspondence.
Email: sosnova-elena@inbox.ru
ORCID iD: 0000-0002-1732-6870
SPIN-code: 6313-9959
MD, Dr. Sci. (Med.), Professor
Russian Federation, 2, build. 4, B. Pirogovskaya str., Moscow, 119991Tat’yana S. Gracheva
I.M. Sechenov First Moscow State Medical University (Sechenov University)
Email: gracheva_91@mail.ru
ORCID iD: 0000-0001-5102-5310
graduate student
Russian Federation, MoscowTat’yana A. Demura
I.M. Sechenov First Moscow State Medical University (Sechenov University)
Email: demura-t@yandex.ru
ORCID iD: 0000-0002-6946-6146
MD, Dr. Sci. (Med.), Professor
Russian Federation, MoscowMarina A. Krot
I.M. Sechenov First Moscow State Medical University (Sechenov University)
Email: masolomahina@yandex.ru
ORCID iD: 0000-0002-5852-913X
MD, Cand. Sci. (Med.), Assistant Professor
Russian Federation, MoscowReferences
- Savel’yeva GM, Sukhikh GT, Manukhin IB, editors. Gynecology. National leadership. Short Edition. Moscow: GEOTAR-Media; 2013. (In Russ).
- Gevorkyan MA, Blinov DV, Smirnova SO. Combined oral contraceptives in treatment of patients with polycystic ovary syndrome. Obstetrics, Gynecology and Reproduction. 2012;6(1):39–49. (In Russ).
- Balen AH, Conway GS, Homburg R, Legro RS. Polycystic Ovary Syndrome. A Guide to Clinical Management. London: CRC Press; 2006. 240 p. doi: 10.3109/9780203506158
- Guriev TD. Polycystic ovarian syndrome. Obstetrics, Gynecology and Reproduction. 2010;4(2):10–15. (In Russ).
- Pal’tsev MA, editor. Lectures on General Pathological Anatomy. Study Guide. Moscow: Moscow Medical Academy named after I.M. Sechenov; 2003. 254 p. (In Russ).
- Blesmanovich AE, Petrov YuA, Alekhina AG. Syndrom of polycystic ovaries: classics and contemporary nuances. Health and Education millennium. 2018;20(4):33–37. (In Russ). doi: 10.26787/nydha-2226-7425-2018-20-4-33-37
- Hughesdon PE. Morphology and morphogenesis of the Stein-Leventhal ovary and of so-called “hyperthecosis”. Obstet Gynecol Surv. 1982;37(2):59–77. doi: 10.1097/00006254-198202000-00001
- Jonard S, Robert Ya, Ardaens Y, Dewailly D. Ovarian Histology, Morphology, and Ultrasonography in the Polycystic Ovary Syndrome. Chapter 16. In: Azziz R, Nestler JE, Dewailly D, editors. Androgen Excess Disorders in Women. Contemporary Endocrinology. Totowa, NJ: Humana Press; 2007. P. 183–193. doi: 10.1007/978-1-59745-179-6_16
- Shepel’kevich AP, Barsukov AN, Mantachik MV. Modern approaches to the diagnosis and treatment of polycystic ovary syndrome. ARS MEDICA. 2012;(15):98–105. (In Russ).
Supplementary files








